product summary
Loading...
company name :
HUABIO
product type :
antibody
product name :
Histone H2A.Z
catalog :
ET1609-23
quantity :
100μl
price :
385.00 USD
clonality :
monoclonal
host :
domestic rabbit
conjugate :
nonconjugated
clone name :
ST46-09
reactivity :
human, mouse, rat
application :
western blot, chromatin immunoprecipitation, immunohistochemistry - paraffin section
more info or order :
image
image 1 :

Western blot analysis of Histone H2A.Z on different lysates with Rabbit anti-Histone H2A.Z antibody (ET1609-23) at 1/1,000 dilution.
Lane 1: HeLa cell lysate
Lane 2: NIH/3T3 cell lysate
Lane 3: C6 cell lysate
Lane 4: PC-12 cell lysate
Lysates/proteins at 20 µg/Lane.
Predicted band size: 14 kDa
Observed band size: 17/20 kDa
Exposure time: 2 minutes; ECL: K1801;
4-20% SDS-PAGE gel.
Proteins were transferred to a PVDF membrane and blocked with 5% NFDM/TBST for 1 hour at room temperature. The primary antibody (ET1609-23) at 1/1,000 dilution was used in 5% NFDM/TBST at 4℃ overnight. Goat Anti-Rabbit IgG - HRP Secondary Antibody (HA1001) at 1/50,000 dilution was used for 1 hour at room temperature.
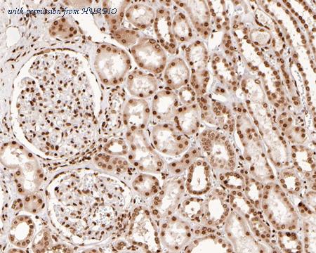
image 2 :

Immunohistochemical analysis of paraffin-embedded human kidney tissue with Rabbit anti-Histone H2A.Z antibody (ET1609-23) at 1/200 dilution.
The section was pre-treated using heat mediated antigen retrieval with sodium citrate buffer (pH 6.0) (high pressure) for 2 minutes. The tissues were blocked in 1% BSA for 20 minutes at room temperature, washed with ddH2O and PBS, and then probed with the primary antibody (ET1609-23) at 1/200 dilution for 1 hour at room temperature. The detection was performed using an HRP conjugated compact polymer system. DAB was used as the chromogen. Tissues were counterstained with hematoxylin and mounted with DPX.
image 3 :

Immunohistochemical analysis of paraffin-embedded human liver carcinoma tissue with Rabbit anti-Histone H2A.Z antibody (ET1609-23) at 1/200 dilution.
The section was pre-treated using heat mediated antigen retrieval with sodium citrate buffer (pH 6.0) (high pressure) for 2 minutes. The tissues were blocked in 1% BSA for 20 minutes at room temperature, washed with ddH2O and PBS, and then probed with the primary antibody (ET1609-23) at 1/200 dilution for 1 hour at room temperature. The detection was performed using an HRP conjugated compact polymer system. DAB was used as the chromogen. Tissues were counterstained with hematoxylin and mounted with DPX.
product information
SKU :
ET1609-23
Target name :
Histone H2A.Z
Species reactivity :
Human,Mouse,Rat
Applications :
WB,IHC-P,IF-Tissue,ChIP
Conjugate :
Non-conjugated
Immunogen :
Synthetic peptide within human Histone H2A.Z aa 1-50.
Uniprot id :
P0C0S5>SwissProt: P0C0S5 Human;SwissProt: P0C0S6 Mouse;SwissProt: P0C0S7 Rat
Host :
Rabbit
Clone number :
ST46-09
Isotype :
IgG
Size :
100μl
List Price :
385.00 USD
Storage Buffer :
1*TBS (pH7.4), 0.05% BSA, 40% Glycerol. Preservative: 0.05% Sodium Azide.
Form :
Liquid
Storage Instruction :
Shipped at 4℃. Store at +4℃ short term (1-2 weeks). It is recommended to aliquot into single-use upon delivery. Store at -20℃ long term.
Purity :
Protein A affinity purified.
Product type :
Recombinant Rabbit monoclonal Antibody
Positive control :
HeLa cell lysate, NIH/3T3 cell lysate, C6 cell lysate, PC-12 cell lysate, human kidney tissue, human liver carcinoma tissue, human liver tissue, human thyroid tissue, mouse colon tissue, mouse kidney tissue, rat colon tissue, rat kidney tissue.
Molecular wt :
Predicted band size: 14 kDa
Subcellular location :
Nucleus, Chromosome, Nucleosome core.
Concentration :
1 mg/mL.
Recommended dilutions :
WB: 1:500-1:1,000
;IF-Tissue: 1:50-1:200
;IHC-P: 1:200-1:1,000
;ChIP: Use 0.5~2 μg for 25 μg of chromatin.
Pic img4 :
https://storage.huabio.cn/huabio/productImg/ET1609-23_4.jpg
Pic legend4 :
Immunohistochemical analysis of paraffin-embedded human liver tissue with Rabbit anti-Histone H2A.Z antibody (ET1609-23) at 1/200 dilution.
The section was pre-treated using heat mediated antigen retrieval with sodium citrate buffer (pH 6.0) (high pressure) for 2 minutes. The tissues were blocked in 1% BSA for 20 minutes at room temperature, washed with ddH2O and PBS, and then probed with the primary antibody (ET1609-23) at 1/200 dilution for 1 hour at room temperature. The detection was performed using an HRP conjugated compact polymer system. DAB was used as the chromogen. Tissues were counterstained with hematoxylin and mounted with DPX.
Pic img5 :
https://storage.huabio.cn/huabio/productImg/ET1609-23_5.jpg
Pic legend5 :
Immunohistochemical analysis of paraffin-embedded human thyroid tissue with Rabbit anti-Histone H2A.Z antibody (ET1609-23) at 1/200 dilution.
The section was pre-treated using heat mediated antigen retrieval with sodium citrate buffer (pH 6.0) (high pressure) for 2 minutes. The tissues were blocked in 1% BSA for 20 minutes at room temperature, washed with ddH2O and PBS, and then probed with the primary antibody (ET1609-23) at 1/200 dilution for 1 hour at room temperature. The detection was performed using an HRP conjugated compact polymer system. DAB was used as the chromogen. Tissues were counterstained with hematoxylin and mounted with DPX.
Pic img6 :
https://storage.huabio.cn/huabio/productImg/ET1609-23_6.jpg
Pic legend6 :
Immunohistochemical analysis of paraffin-embedded mouse colon tissue with Rabbit anti-Histone H2A.Z antibody (ET1609-23) at 1/1,000 dilution.
The section was pre-treated using heat mediated antigen retrieval with sodium citrate buffer (pH 6.0) (high pressure) for 2 minutes. The tissues were blocked in 1% BSA for 20 minutes at room temperature, washed with ddH2O and PBS, and then probed with the primary antibody (ET1609-23) at 1/1,000 dilution for 1 hour at room temperature. The detection was performed using an HRP conjugated compact polymer system. DAB was used as the chromogen. Tissues were counterstained with hematoxylin and mounted with DPX.
Pic img7 :
https://storage.huabio.cn/huabio/productImg/ET1609-23_7.jpg
Pic legend7 :
Immunohistochemical analysis of paraffin-embedded mouse kidney tissue with Rabbit anti-Histone H2A.Z antibody (ET1609-23) at 1/1,000 dilution.
The section was pre-treated using heat mediated antigen retrieval with sodium citrate buffer (pH 6.0) (high pressure) for 2 minutes. The tissues were blocked in 1% BSA for 20 minutes at room temperature, washed with ddH2O and PBS, and then probed with the primary antibody (ET1609-23) at 1/1,000 dilution for 1 hour at room temperature. The detection was performed using an HRP conjugated compact polymer system. DAB was used as the chromogen. Tissues were counterstained with hematoxylin and mounted with DPX.
Pic img8 :
https://storage.huabio.cn/huabio/productImg/ET1609-23_8.jpg
Pic legend8 :
Immunohistochemical analysis of paraffin-embedded rat colon tissue with Rabbit anti-Histone H2A.Z antibody (ET1609-23) at 1/1,000 dilution.
The section was pre-treated using heat mediated antigen retrieval with sodium citrate buffer (pH 6.0) (high pressure) for 2 minutes. The tissues were blocked in 1% BSA for 20 minutes at room temperature, washed with ddH2O and PBS, and then probed with the primary antibody (ET1609-23) at 1/1,000 dilution for 1 hour at room temperature. The detection was performed using an HRP conjugated compact polymer system. DAB was used as the chromogen. Tissues were counterstained with hematoxylin and mounted with DPX.
Pic img9 :
https://storage.huabio.cn/huabio/productImg/ET1609-23_9.jpg
Pic legend9 :
Immunohistochemical analysis of paraffin-embedded rat kidney tissue with Rabbit anti-Histone H2A.Z antibody (ET1609-23) at 1/1,000 dilution.
The section was pre-treated using heat mediated antigen retrieval with sodium citrate buffer (pH 6.0) (high pressure) for 2 minutes. The tissues were blocked in 1% BSA for 20 minutes at room temperature, washed with ddH2O and PBS, and then probed with the primary antibody (ET1609-23) at 1/1,000 dilution for 1 hour at room temperature. The detection was performed using an HRP conjugated compact polymer system. DAB was used as the chromogen. Tissues were counterstained with hematoxylin and mounted with DPX.
Pic img10 :
https://storage.huabio.cn/huabio/productImg/ET1609-23_10.jpg
Pic legend10 :
Chromatin immunoprecipitations were performed with cross-linked chromatin from HeLa cells with Histone H2A.Z (ET1609-23) or Normal Rabbit IgG according to the ChIP protocol. The enriched DNA was quantified by real-time PCR using indicated primers. The amount of immunoprecipitated DNA in each sample is represented as signal relative to the total amount of input chromatin, which is equivalent to one.
more info or order :
company information

HUABIO
Founded in 2007, HUABIO is dedicated to developing high-quality antibodies that advance innovation. We are passionate about the accuracy, efficiency, and consistency of our products. That is why we have invested in new production platforms, like recombinant rabbit monoclonals, alpaca nanobodies, and adopted aggressive QA standards to deliver cutting-edge antibodies with uncompromised quality.
We hope to see you at your next discovery!
We hope to see you at your next discovery!
browse more products
questions and comments
