product summary
Loading...
company name :
HUABIO
product type :
antibody
product name :
ASK1
catalog :
ET1608-54
quantity :
100μl
price :
385.00 USD
clonality :
monoclonal
host :
domestic rabbit
conjugate :
nonconjugated
clone name :
SU36-06
reactivity :
human, mouse
application :
western blot, immunohistochemistry - paraffin section
more info or order :
image
image 1 :

Western blot analysis of ASK1 on different lysates with Rabbit anti-ASK1 antibody (ET1608-54) at 1/1,000 dilution.
Lane 1: BxPC-3 cell lysate
Lane 2: Neuro-2a cell lysate
Lane 3: Human brain tissue lysate
Lane 4: Mouse brain tissue lysate
Lysates/proteins at 20 µg/Lane.
Predicted band size: 155 kDa
Observed band size: 150 kDa
Exposure time: 3 minutes; ECL: K1801;
4-20% SDS-PAGE gel.
Proteins were transferred to a PVDF membrane and blocked with 5% NFDM/TBST for 1 hour at room temperature. The primary antibody (ET1608-54) at 1/1,000 dilution was used in 5% NFDM/TBST at 4℃ overnight. Goat Anti-Rabbit IgG - HRP Secondary Antibody (HA1001) at 1/50,000 dilution was used for 1 hour at room temperature.
image 2 :

Immunohistochemical analysis of paraffin-embedded human lung carcinoma tissue using anti-ASK1 antibody. The section was pre-treated using heat mediated antigen retrieval with Tris-EDTA buffer (pH 8.0-8.4) for 20 minutes.The tissues were blocked in 5% BSA for 30 minutes at room temperature, washed with ddH2O and PBS, and then probed with the primary antibody (ET1608-54, 1/50) for 30 minutes at room temperature. The detection was performed using an HRP conjugated compact polymer system. DAB was used as the chromogen. Tissues were counterstained with hematoxylin and mounted with DPX.
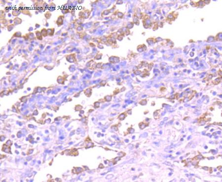
image 3 :

Immunohistochemical analysis of paraffin-embedded human pancreas tissue using anti-ASK1 antibody. The section was pre-treated using heat mediated antigen retrieval with Tris-EDTA buffer (pH 8.0-8.4) for 20 minutes.The tissues were blocked in 5% BSA for 30 minutes at room temperature, washed with ddH2O and PBS, and then probed with the primary antibody (ET1608-54, 1/50) for 30 minutes at room temperature. The detection was performed using an HRP conjugated compact polymer system. DAB was used as the chromogen. Tissues were counterstained with hematoxylin and mounted with DPX.
product information
SKU :
ET1608-54
Target name :
ASK1
Species reactivity :
Human,Mouse
Applications :
WB,IF-Tissue,IHC-P
Conjugate :
Non-conjugated
Immunogen :
Synthetic peptide within N-terminal human ASK1.
Uniprot id :
Q99683>SwissProt: Q99683 Human;SwissProt: O35099 Mouse
Host :
Rabbit
Clone number :
SU36-06
Isotype :
IgG
Size :
100μl
List Price :
385.00 USD
Storage Buffer :
1*TBS (pH7.4), 0.05% BSA, 40% Glycerol. Preservative: 0.05% Sodium Azide.
Form :
Liquid
Storage Instruction :
Shipped at 4℃. Store at +4℃ short term (1-2 weeks). It is recommended to aliquot into single-use upon delivery. Store at -20℃ long term.
Purity :
Protein A affinity purified.
Product type :
Recombinant Rabbit monoclonal Antibody
Positive control :
BxPC-3 cell lysate, Neuro-2a cell lysate, human brain tissue lysate, mouse brain tissue lysate, human lung carcinoma tissue, human pancreas tissue, mouse pancreas tissue, human breast carcinoma tissue.
Molecular wt :
Predicted band size: 155 kDa
Subcellular location :
Endoplasmic reticulum, Cytoplasm.
Concentration :
1 mg/mL.
Recommended dilutions :
WB: 1:500-1:2,000
;IF-Tissue: 1:50-1:200
;IHC-P: 1:50-1:200
Pic img4 :
https://storage.huabio.cn/huabio/productImg/ET1608-54_4.jpg
Pic legend4 :
Immunohistochemical analysis of paraffin-embedded mouse pancreas tissue using anti-ASK1 antibody. The section was pre-treated using heat mediated antigen retrieval with Tris-EDTA buffer (pH 8.0-8.4) for 20 minutes.The tissues were blocked in 5% BSA for 30 minutes at room temperature, washed with ddH2O and PBS, and then probed with the primary antibody (ET1608-54, 1/50) for 30 minutes at room temperature. The detection was performed using an HRP conjugated compact polymer system. DAB was used as the chromogen. Tissues were counterstained with hematoxylin and mounted with DPX.
Pic img5 :
https://storage.huabio.cn/huabio/productImg/ET1608-54_5.jpg
Pic legend5 :
Immunohistochemical analysis of paraffin-embedded human breast carcinoma tissue using anti-ASK1 antibody. The section was pre-treated using heat mediated antigen retrieval with Tris-EDTA buffer (pH 8.0-8.4) for 20 minutes.The tissues were blocked in 5% BSA for 30 minutes at room temperature, washed with ddH2O and PBS, and then probed with the primary antibody (ET1608-54, 1/50) for 30 minutes at room temperature. The detection was performed using an HRP conjugated compact polymer system. DAB was used as the chromogen. Tissues were counterstained with hematoxylin and mounted with DPX.
more info or order :
company information

HUABIO
Founded in 2007, HUABIO is dedicated to developing high-quality antibodies that advance innovation. We are passionate about the accuracy, efficiency, and consistency of our products. That is why we have invested in new production platforms, like recombinant rabbit monoclonals, alpaca nanobodies, and adopted aggressive QA standards to deliver cutting-edge antibodies with uncompromised quality.
We hope to see you at your next discovery!
We hope to see you at your next discovery!
related products
browse more products
questions and comments
