product summary
Loading...
company name :
HUABIO
product type :
antibody
product name :
Tenascin C
catalog :
ET1608-50
quantity :
100μl
price :
385.00 USD
clonality :
monoclonal
host :
domestic rabbit
conjugate :
nonconjugated
clone name :
SU36-01
reactivity :
human, mouse, rat
application :
western blot, immunohistochemistry - paraffin section, immunohistochemistry - frozen section
more info or order :
image
image 1 :

Application: IHC-Fr
Species: Mouse
Site: Cerebellum
Sample: Frozen section
Antibody concentration: 1:500
Antigen retrieval: Recommend. The section was pre-treated using heat mediated antigen retrieval with sodium citrate buffer (pH 6.0) for about 2 minutes in microwave oven.
image 2 :

Application: IF-tissue
Species: Mouse
Site: Cerebellum
Sample: Paraffin-embedded section
Antibody concentration: 1:500
image 3 :

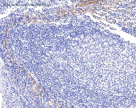
Immunohistochemical analysis of paraffin-embedded human tonsil tissue with Rabbit anti-Tenascin C antibody (ET1608-50) at 1/400 dilution.
The section was pre-treated using heat mediated antigen retrieval with Tris-EDTA buffer (pH 9.0) for 20 minutes. The tissues were blocked in 1% BSA for 20 minutes at room temperature, washed with ddH2O and PBS, and then probed with the primary antibody (ET1608-50) at 1/400 dilution for 1 hour at room temperature. The detection was performed using an HRP conjugated compact polymer system. DAB was used as the chromogen. Tissues were counterstained with hematoxylin and mounted with DPX.
product information
SKU :
ET1608-50
Target name :
Tenascin C
Species reactivity :
Human,Mouse,Rat,Cynomolgus monkey,Pig
Applications :
WB,IHC-P,IHC-Fr,IF-Tissue
Conjugate :
Non-conjugated
Immunogen :
Synthetic peptide within Human Tenascin C aa 2,152-2,201 / 2,201.
Uniprot id :
P24821>SwissProt: P24821 Human;SwissProt: Q80YX1 Mouse;Entrez Gene: 116640 Rat
Host :
Rabbit
Clone number :
SU36-01
Isotype :
IgG
Size :
100μl
List Price :
385.00 USD
Storage Buffer :
1*TBS (pH7.4), 0.05% BSA, 40% Glycerol. Preservative: 0.05% Sodium Azide.
Form :
Liquid
Storage Instruction :
Shipped at 4℃. Store at +4℃ short term (1-2 weeks). It is recommended to aliquot into single-use upon delivery. Store at -20℃ long term.
Purity :
Protein A affinity purified.
Product type :
Recombinant Rabbit monoclonal Antibody
Positive control :
Human tonsil tissue, mouse embryonic cartilage tissue, mouse cerebellum tissue, rat cerebellum tissue, U-87 MG cell lysates.
Molecular wt :
Predicted band size: 241 kDa
Subcellular location :
Extracellular matrix
Concentration :
1 mg/mL.
Recommended dilutions :
WB: 1:2,000
;IHC-P: 1:200-1:500
;IHC-Fr: 1:200
;IF-Tissue: 1:500
Pic img4 :
https://storage.huabio.cn/huabio/productImg/ET1608-50_4.jpg
Pic legend4 :
Immunohistochemical analysis of paraffin-embedded mouse embryonic cartilage tissue with Rabbit anti-Tenascin C antibody (ET1608-50) at 1/500 dilution.
The section was pre-treated using heat mediated antigen retrieval with Tris-EDTA buffer (pH 9.0) for 20 minutes. The tissues were blocked in 1% BSA for 20 minutes at room temperature, washed with ddH2O and PBS, and then probed with the primary antibody (ET1608-50) at 1/500 dilution for 1 hour at room temperature. The detection was performed using an HRP conjugated compact polymer system. DAB was used as the chromogen. Tissues were counterstained with hematoxylin and mounted with DPX.
Pic img5 :
https://storage.huabio.cn/huabio/productImg/ET1608-50_5.jpg
Pic legend5 :
Immunohistochemical analysis of paraffin-embedded mouse cerebellum tissue with Rabbit anti-Tenascin C antibody (ET1608-50) at 1/500 dilution.
The section was pre-treated using heat mediated antigen retrieval with Tris-EDTA buffer (pH 9.0) for 20 minutes. The tissues were blocked in 1% BSA for 20 minutes at room temperature, washed with ddH2O and PBS, and then probed with the primary antibody (ET1608-50) at 1/500 dilution for 1 hour at room temperature. The detection was performed using an HRP conjugated compact polymer system. DAB was used as the chromogen. Tissues were counterstained with hematoxylin and mounted with DPX.
Pic img6 :
https://storage.huabio.cn/huabio/productImg/ET1608-50_6.jpg
Pic legend6 :
Immunohistochemical analysis of paraffin-embedded rat cerebellum tissue with Rabbit anti-Tenascin C antibody (ET1608-50) at 1/500 dilution.
The section was pre-treated using heat mediated antigen retrieval with Tris-EDTA buffer (pH 9.0) for 20 minutes. The tissues were blocked in 1% BSA for 20 minutes at room temperature, washed with ddH2O and PBS, and then probed with the primary antibody (ET1608-50) at 1/500 dilution for 1 hour at room temperature. The detection was performed using an HRP conjugated compact polymer system. DAB was used as the chromogen. Tissues were counterstained with hematoxylin and mounted with DPX.
Pic img7 :
https://storage.huabio.cn/huabio/productImg/ET1608-50_7.jpg
Pic legend7 :
Western blot analysis of Tenascin C on U-87 MG cell lysates with Rabbit anti-Tenascin C antibody (ET1608-50) at 1/2,000 dilution.
Lysates/proteins at 20 µg/Lane.
Predicted band size: 241 kDa
Observed band size: 241-350 kDa
Exposure time: 3 minutes; ECL: K1802;
4-20% SDS-PAGE gel.
Proteins were transferred to a PVDF membrane and blocked with 5% NFDM/TBST for 1 hour at room temperature. The primary antibody (ET1608-50) at 1/2,000 dilution was used in 5% NFDM/TBST at 4℃ overnight. Goat Anti-Rabbit IgG - HRP Secondary Antibody (HA1001) at 1/50,000 dilution was used for 1 hour at room temperature.
more info or order :
company information

HUABIO
Founded in 2007, HUABIO is dedicated to developing high-quality antibodies that advance innovation. We are passionate about the accuracy, efficiency, and consistency of our products. That is why we have invested in new production platforms, like recombinant rabbit monoclonals, alpaca nanobodies, and adopted aggressive QA standards to deliver cutting-edge antibodies with uncompromised quality.
We hope to see you at your next discovery!
We hope to see you at your next discovery!
browse more products
questions and comments
