product summary
Loading...
company name :
HUABIO
product type :
antibody
product name :
Cathepsin D
catalog :
ET1608-49-50UL
quantity :
50μl
price :
205.00 USD
clonality :
monoclonal
host :
domestic rabbit
conjugate :
nonconjugated
clone name :
SU0360
reactivity :
human, mouse, rat
application :
western blot, immunoprecipitation, immunohistochemistry - paraffin section
more info or order :
image
image 1 :

Western blot analysis of Cathepsin D on different lysates with Rabbit anti-Cathepsin D antibody (ET1608-49) at 1/2,000 dilution.
Lane 1: HepG2 cell lysate (15 µg/Lane)
Lane 2: MCF7 cell lysate (15 µg/Lane)
Lane 3: Neuro-2a cell lysate (15 µg/Lane)
Lane 4: Mouse brain tissue lysate (20 µg/Lane)
Predicted band size: 45/28 kDa
Observed band size: 45/28 kDa
Exposure time: 3 minutes; ECL: K1801;
4-20% SDS-PAGE gel.
Proteins were transferred to a PVDF membrane and blocked with 5% NFDM/TBST for 1 hour at room temperature. The primary antibody (ET1608-49) at 1/2,000 dilution was used in 5% NFDM/TBST at 4℃ overnight. Goat Anti-Rabbit IgG - HRP Secondary Antibody (HA1001) at 1/50,000 dilution was used for 1 hour at room temperature.
image 2 :

Western blot analysis of Cathepsin D on different lysates with Rabbit anti-Cathepsin D antibody (ET1608-49) at 1/1,000 dilution.
Lane 1: C6 cell lysate (20 µg/Lane)
Lane 2: Mouse brain tissue lysate (20 µg/Lane)
Lane 3: Rat brain tissue lysate (20 µg/Lane)
Predicted band size: 45/28 kDa
Observed band size: 45/28 kDa
Exposure time: 6 seconds; ECL: K1801;
4-20% SDS-PAGE gel.
Proteins were transferred to a PVDF membrane and blocked with 5% NFDM/TBST for 1 hour at room temperature. The primary antibody (ET1608-49) at 1/1,000 dilution was used in 5% NFDM/TBST at 4℃ overnight. Goat Anti-Rabbit IgG - HRP Secondary Antibody (HA1001) at 1/50,000 dilution was used for 1 hour at room temperature.
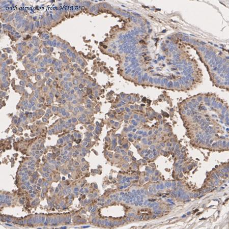
image 3 :

Immunohistochemical analysis of paraffin-embedded human breast cancer tissue with Rabbit anti-Cathepsin D antibody (ET1608-49) at 1/3,000 dilution.
The section was pre-treated using heat mediated antigen retrieval with Tris-EDTA buffer (pH 9.0) for 20 minutes. The tissues were blocked in 1% BSA for 20 minutes at room temperature, washed with ddH2O and PBS, and then probed with the primary antibody (ET1608-49) at 1/3,000 dilution for 1 hour at room temperature. The detection was performed using an HRP conjugated compact polymer system. DAB was used as the chromogen. Tissues were counterstained with hematoxylin and mounted with DPX.
product information
SKU :
ET1608-49-50UL
Target name :
Cathepsin D
Species reactivity :
Human,Mouse,Rat
Applications :
WB,IF-Cell,IHC-P,IP
Conjugate :
Non-conjugated
Immunogen :
Synthetic peptide within Human Cathepsin D aa 363-412 / 412.
Uniprot id :
P07339>SwissProt: P07339 Human;SwissProt: P18242 Mouse;SwissProt: P24268 Rat
Host :
Rabbit
Clone number :
SU0360
Isotype :
IgG
Size :
50μl
List Price :
205.00 USD
Storage Buffer :
1*TBS (pH7.4), 0.05% BSA, 40% Glycerol. Preservative: 0.05% Sodium Azide.
Form :
Liquid
Storage Instruction :
Shipped at 4℃. Store at +4℃ short term (1-2 weeks). It is recommended to aliquot into single-use upon delivery. Store at -20℃ long term.
Purity :
Protein A affinity purified.
Product type :
Recombinant Rabbit monoclonal Antibody
Positive control :
HepG2 cell lysate, MCF7 cell lysate, Neuro-2a cell lysate, Mouse brain tissue lysate, C6 cell lysate, Rat brain tissue lysate, human breast cancer tissue, human pancreas tissue, PANC-1, AGS.
Molecular wt :
Predicted band size: 45/28 kDa
Subcellular location :
Extracellular space, Lysosome, Melanosome.
Concentration :
1 mg/mL.
Recommended dilutions :
WB: 1:1,000-1:2,000
;IF-Cell: 1:100-1:500
;IHC-P: 1:3,000
;IP: Use at an assay dependent concentration.
Pic img4 :
https://storage.huabio.cn/huabio/productImg/ET1608-49_4.jpg
Pic legend4 :
Immunohistochemical analysis of paraffin-embedded human pancreas tissue with Rabbit anti-Cathepsin D antibody (ET1608-49) at 1/3,000 dilution.
The section was pre-treated using heat mediated antigen retrieval with Tris-EDTA buffer (pH 9.0) for 20 minutes. The tissues were blocked in 1% BSA for 20 minutes at room temperature, washed with ddH2O and PBS, and then probed with the primary antibody (ET1608-49) at 1/3,000 dilution for 1 hour at room temperature. The detection was performed using an HRP conjugated compact polymer system. DAB was used as the chromogen. Tissues were counterstained with hematoxylin and mounted with DPX.
Pic img5 :
https://storage.huabio.cn/huabio/productImg/ET1608-49_5.jpg
Pic legend5 :
ICC staining of Cathepsin D in PANC-1 cells (green). Formalin fixed cells were permeabilized with 0.1% Triton X-100 in TBS for 10 minutes at room temperature and blocked with 1% Blocker BSA for 15 minutes at room temperature. Cells were probed with the primary antibody (ET1608-49, 1/50) for 1 hour at room temperature, washed with PBS. Alexa Fluor®488 Goat anti-Rabbit IgG was used as the secondary antibody at 1/1,000 dilution. The nuclear counter stain is DAPI (blue).
Pic img6 :
https://storage.huabio.cn/huabio/productImg/ET1608-49_6.jpg
Pic legend6 :
ICC staining of Cathepsin D in AGS cells (green). Formalin fixed cells were permeabilized with 0.1% Triton X-100 in TBS for 10 minutes at room temperature and blocked with 1% Blocker BSA for 15 minutes at room temperature. Cells were probed with the primary antibody (ET1608-49, 1/50) for 1 hour at room temperature, washed with PBS. Alexa Fluor®488 Goat anti-Rabbit IgG was used as the secondary antibody at 1/1,000 dilution. The nuclear counter stain is DAPI (blue).
more info or order :
company information

HUABIO
Founded in 2007, HUABIO is dedicated to developing high-quality antibodies that advance innovation. We are passionate about the accuracy, efficiency, and consistency of our products. That is why we have invested in new production platforms, like recombinant rabbit monoclonals, alpaca nanobodies, and adopted aggressive QA standards to deliver cutting-edge antibodies with uncompromised quality.
We hope to see you at your next discovery!
We hope to see you at your next discovery!
related products
browse more products
questions and comments
