product summary
Loading...
company name :
HUABIO
product type :
antibody
product name :
Phospho-JAK2 (Y1007 + Y1008)
catalog :
ET1607-34
quantity :
100μl
price :
385.00 USD
clonality :
monoclonal
host :
domestic rabbit
conjugate :
nonconjugated
clone name :
SY24-03
reactivity :
human, mouse, rat
application :
western blot, immunoprecipitation, immunohistochemistry - paraffin section
more info or order :
image
image 1 :

Western blot analysis of Phospho-JAK2 (Y1007 + Y1008) on different lysates with Rabbit anti-Phospho-JAK2 (Y1007 + Y1008) antibody (ET1607-34) at 1/1,000 dilution.
Lane 1: HeLa cell lysate
Lane 2: HeLa treated with 1mM sodium orthovanadate for 30 minutes cell lysate
Lysates/proteins at 20 µg/Lane.
Predicted band size: 131 kDa
Observed band size: 120 kDa
Exposure time: 3 minute; ECL: K1801;
4-20% SDS-PAGE gel.
Proteins were transferred to a PVDF membrane and blocked with 5% NFDM/TBST for 1 hour at room temperature. The primary antibody (ET1607-34) at 1/1,000 dilution was used in 5% NFDM/TBST at 4℃ overnight. Goat Anti-Rabbit IgG - HRP Secondary Antibody (HA1001) at 1/50,000 dilution was used for 1 hour at room temperature.
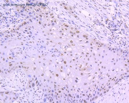
image 2 :

Immunohistochemical analysis of paraffin-embedded human lung carcinoma tissue using anti-Phospho-JAK2 (Y1007 + Y1008) antibody. The section was pre-treated using heat mediated antigen retrieval with Tris-EDTA buffer (pH 8.0-8.4) for 20 minutes.The tissues were blocked in 5% BSA for 30 minutes at room temperature, washed with ddH2O and PBS, and then probed with the primary antibody (ET1607-34, 1/200) for 30 minutes at room temperature. The detection was performed using an HRP conjugated compact polymer system. DAB was used as the chromogen. Tissues were counterstained with hematoxylin and mounted with DPX.
product information
SKU :
ET1607-34
Target name :
Phospho-JAK2 (Y1007 + Y1008)
Species reactivity :
Human,Mouse,Rat
Applications :
WB,IF-Cell,IHC-P,IP
Conjugate :
Non-conjugated
Immunogen :
Synthetic phospho-peptide corresponding to residues surrounding Tyr1007 and 1008 of human JAK2.
Uniprot id :
O60674>SwissProt: O60674 Human;SwissProt: Q62120 Mouse;SwissProt: Q62689 Rat
Host :
Rabbit
Clone number :
SY24-03
Isotype :
IgG
Size :
100μl
List Price :
385.00 USD
Storage Buffer :
1*TBS (pH7.4), 0.05% BSA, 40% Glycerol. Preservative: 0.05% Sodium Azide.
Form :
Liquid
Storage Instruction :
Shipped at 4℃. Store at +4℃ short term (1-2 weeks). It is recommended to aliquot into single-use upon delivery. Store at -20℃ long term.
Purity :
Protein A affinity purified.
Product type :
Recombinant Rabbit monoclonal Antibody
Positive control :
HeLa treated with 1mM sodium orthovanadate for 30 minutes cell lysate, human lung carcinoma tissue, human tonsil tissue, human kidney tissue, rat kidney tissue, mouse kidney tissue.
Molecular wt :
Predicted band size: 131 kDa
Subcellular location :
Nucleus, Endomembrane system, Cytoplasm.
Concentration :
1 mg/mL.
Recommended dilutions :
WB: 1:1,000
;IF-Cell: 1:50-1:200
;IHC-P: 1:200-1:500
;IP: Use at an assay dependent concentration.
Advanced Validation :
Cell treatment (CT)
Pic img4 :
https://storage.huabio.cn/huabio/productImg/ET1607-34_4.jpg
Pic legend4 :
Immunohistochemical analysis of paraffin-embedded human tonsil tissue with Rabbit anti-Phospho-JAK2 (Y1007 + Y1008) antibody (ET1607-34) at 1/500 dilution.
The section was pre-treated using heat mediated antigen retrieval with sodium citrate buffer (pH 6.0) (high pressure) for 2 minutes. The tissues were blocked in 1% BSA for 20 minutes at room temperature, washed with ddH2O and PBS, and then probed with the primary antibody (ET1607-34) at 1/500 dilution for 1 hour at room temperature. The detection was performed using an HRP conjugated compact polymer system. DAB was used as the chromogen. Tissues were counterstained with hematoxylin and mounted with DPX.
Pic img5 :
https://storage.huabio.cn/huabio/productImg/ET1607-34_5.jpg
Pic legend5 :
Immunohistochemical analysis of paraffin-embedded human kidney tissue with Rabbit anti-Phospho-JAK2 (Y1007 + Y1008) antibody (ET1607-34) at 1/500 dilution.
The section was pre-treated using heat mediated antigen retrieval with sodium citrate buffer (pH 6.0) (high pressure) for 2 minutes. The tissues were blocked in 1% BSA for 20 minutes at room temperature, washed with ddH2O and PBS, and then probed with the primary antibody (ET1607-34) at 1/500 dilution for 1 hour at room temperature. The detection was performed using an HRP conjugated compact polymer system. DAB was used as the chromogen. Tissues were counterstained with hematoxylin and mounted with DPX.
Pic img6 :
https://storage.huabio.cn/huabio/productImg/ET1607-34_6.jpg
Pic legend6 :
Immunohistochemical analysis of paraffin-embedded rat kidney tissue with Rabbit anti-Phospho-JAK2 (Y1007 + Y1008) antibody (ET1607-34) at 1/500 dilution.
The section was pre-treated using heat mediated antigen retrieval with sodium citrate buffer (pH 6.0) (high pressure) for 2 minutes. The tissues were blocked in 1% BSA for 20 minutes at room temperature, washed with ddH2O and PBS, and then probed with the primary antibody (ET1607-34) at 1/500 dilution for 1 hour at room temperature. The detection was performed using an HRP conjugated compact polymer system. DAB was used as the chromogen. Tissues were counterstained with hematoxylin and mounted with DPX.
Pic img7 :
https://storage.huabio.cn/huabio/productImg/ET1607-34_7.jpg
Pic legend7 :
Immunohistochemical analysis of paraffin-embedded mouse kidney tissue using anti-Phospho-JAK2 (Y1007 + Y1008) antibody. The section was pre-treated using heat mediated antigen retrieval with sodium citrate buffer (pH 6.0) (high pressure) for 2 minutes. The tissues were blocked in 5% BSA for 30 minutes at room temperature, washed with ddH2O and PBS, and then probed with the primary antibody (ET1607-34, 1/200) for 30 minutes at room temperature. The detection was performed using an HRP conjugated compact polymer system. DAB was used as the chromogen. Tissues were counterstained with hematoxylin and mounted with DPX.
more info or order :
company information

HUABIO
Founded in 2007, HUABIO is dedicated to developing high-quality antibodies that advance innovation. We are passionate about the accuracy, efficiency, and consistency of our products. That is why we have invested in new production platforms, like recombinant rabbit monoclonals, alpaca nanobodies, and adopted aggressive QA standards to deliver cutting-edge antibodies with uncompromised quality.
We hope to see you at your next discovery!
We hope to see you at your next discovery!
related products
browse more products
questions and comments
