product summary
Loading...
company name :
HUABIO
product type :
antibody
product name :
Caveolin-3
catalog :
ET1607-16
quantity :
100μl
price :
385.00 USD
clonality :
monoclonal
host :
domestic rabbit
conjugate :
nonconjugated
clone name :
SY22-06
reactivity :
human, mouse, rat
application :
western blot, immunoprecipitation, immunohistochemistry - paraffin section
more info or order :
image
image 1 :

Western blot analysis of Caveolin-3 on different lysates using anti-Caveolin-3 antibody at 1/1,000 dilution.
Positive control: Lane 1: Mouse heart tissue lysates
Lane 2: Mouse skeletal muscle tissue lysates
image 2 :

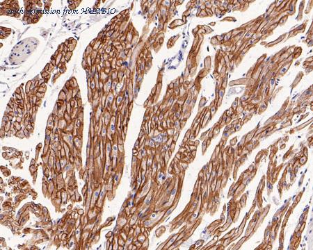
Immunohistochemical analysis of paraffin-embedded rat heart tissue with Rabbit anti-Caveolin-3 antibody (ET1607-16) at 1/1,000 dilution.
The section was pre-treated using heat mediated antigen retrieval with Tris-EDTA buffer (pH 9.0) for 20 minutes. The tissues were blocked in 1% BSA for 20 minutes at room temperature, washed with ddH2O and PBS, and then probed with the primary antibody (ET1607-16) at 1/1,000 dilution for 1 hour at room temperature. The detection was performed using an HRP conjugated compact polymer system. DAB was used as the chromogen. Tissues were counterstained with hematoxylin and mounted with DPX.
image 3 :

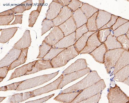
Immunohistochemical analysis of paraffin-embedded human striated muscle tissue with Rabbit anti-Caveolin-3 antibody (ET1607-16) at 1/1,000 dilution.
The section was pre-treated using heat mediated antigen retrieval with Tris-EDTA buffer (pH 9.0) for 20 minutes. The tissues were blocked in 1% BSA for 20 minutes at room temperature, washed with ddH2O and PBS, and then probed with the primary antibody (ET1607-16) at 1/1,000 dilution for 1 hour at room temperature. The detection was performed using an HRP conjugated compact polymer system. DAB was used as the chromogen. Tissues were counterstained with hematoxylin and mounted with DPX.
product information
SKU :
ET1607-16
Target name :
Caveolin-3
Species reactivity :
Human,Mouse,Rat
Applications :
WB,IP,IHC-P
Conjugate :
Non-conjugated
Immunogen :
Recombinant protein within Human Caveolin-3 aa 1-125 / 151.
Uniprot id :
P56539>SwissProt: P56539 Human;SwissProt: P51637 Mouse;SwissProt: P51638 Rat
Host :
Rabbit
Clone number :
SY22-06
Isotype :
IgG
Size :
100μl
List Price :
385.00 USD
Storage Buffer :
1*TBS (pH7.4), 0.05% BSA, 40% Glycerol. Preservative: 0.05% Sodium Azide.
Form :
Liquid
Storage Instruction :
Shipped at 4℃. Store at +4℃ short term (1-2 weeks). It is recommended to aliquot into single-use upon delivery. Store at -20℃ long term.
Purity :
Protein A affinity purified.
Product type :
Recombinant Rabbit monoclonal Antibody
Positive control :
Mouse heart tissue lysate, mouse skeletal muscle tissue lysate, rat heart tissue, human striated muscle tissue.
Molecular wt :
17 kDa
Subcellular location :
Golgi apparatus membrane, Cell membrane, Membrane.
Concentration :
1 mg/mL.
Recommended dilutions :
WB: 1:1,000-1:5,000
;IHC-P: 1:1,000
more info or order :
company information

HUABIO
Founded in 2007, HUABIO is dedicated to developing high-quality antibodies that advance innovation. We are passionate about the accuracy, efficiency, and consistency of our products. That is why we have invested in new production platforms, like recombinant rabbit monoclonals, alpaca nanobodies, and adopted aggressive QA standards to deliver cutting-edge antibodies with uncompromised quality.
We hope to see you at your next discovery!
We hope to see you at your next discovery!
browse more products
questions and comments
