product summary
Loading...
company name :
HUABIO
product type :
antibody
product name :
MMP-2
catalog :
ET1606-4
quantity :
100μl
price :
385.00 USD
clonality :
monoclonal
host :
domestic rabbit
conjugate :
nonconjugated
clone name :
SI15-04
reactivity :
human, mouse, rat
application :
western blot, immunoprecipitation, immunohistochemistry - paraffin section
more info or order :
image
image 1 :

Western blot analysis of MMP-2 on different lysates with Rabbit anti-MMP-2 antibody (ET1606-4) at 1/2,000 dilution.
Lane 1: U-87 MG cell lysate
Lane 2: L6 cell lysate
Lysates/proteins at 15 µg/Lane.
Predicted band size: 74 kDa
Observed band size: 70 kDa
Exposure time: 3 minutes 30 seconds;
4-20% SDS-PAGE gel.
Proteins were transferred to a PVDF membrane and blocked with 5% NFDM/TBST for 1 hour at room temperature. The primary antibody (ET1606-4) at 1/2,000 dilution was used in 5% NFDM/TBST at 4℃ overnight. Goat Anti-Rabbit IgG - HRP Secondary Antibody (HA1001) at 1:50,000 dilution was used for 1 hour at room temperature.
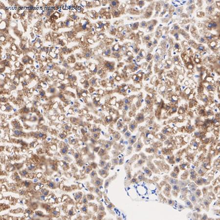
image 2 :

Immunohistochemical analysis of paraffin-embedded mouse liver tissue with Rabbit anti-MMP-2 antibody (ET1606-4) at 1/2,000 dilution.
The section was pre-treated using heat mediated antigen retrieval with Tris-EDTA buffer (pH 9.0) for 20 minutes. The tissues were blocked in 1% BSA for 20 minutes at room temperature, washed with ddH2O and PBS, and then probed with the primary antibody (ET1606-4) at 1/2,000 dilution for 1 hour at room temperature. The detection was performed using an HRP conjugated compact polymer system. DAB was used as the chromogen. Tissues were counterstained with hematoxylin and mounted with DPX.
image 3 :

MMP-2 was immunoprecipitated from 0.2 mg U-87 MG cell lysate with ET1606-4 at 2 µg/10 µl beads. Western blot was performed from the immunoprecipitate using ET1606-4 at 1/1,000 dilution. HRP Conjugated Anti-Rabbit IgG for IP Nano-secondary antibody at 1/5,000 dilution was used for 1 hour at room temperature.
Lane 1: U-87 MG cell lysate (input)
Lane 2: ET1606-4 IP in U-87 MG cell lysate
Lane 3: Rabbit IgG instead of ET1606-4 in U-87 MG cell lysate
Blocking/Dilution buffer: 5% NFDM/TBST
Exposure time: 59 seconds; ECL: K1801
product information
SKU :
ET1606-4
Target name :
MMP-2
Species reactivity :
Human,Mouse,Rat
Applications :
WB,IHC-P,IP,IF-Tissue
Conjugate :
Non-conjugated
Immunogen :
Synthetic peptide within Human MMP2 aa 101-150 / 660.
Uniprot id :
P08253>SwissProt: P08253 Human;SwissProt: P33434 Mouse;SwissProt: P33436 Rat
Host :
Rabbit
Clone number :
SI15-04
Isotype :
IgG
Size :
100μl
List Price :
385.00 USD
Storage Buffer :
1*TBS (pH7.4), 0.05% BSA, 40% Glycerol. Preservative: 0.05% Sodium Azide.
Form :
Liquid
Storage Instruction :
Shipped at 4℃. Store at +4℃ short term (1-2 weeks). It is recommended to aliquot into single-use upon delivery. Store at -20℃ long term.
Purity :
Protein A affinity purified.
Product type :
Recombinant Rabbit monoclonal Antibody
Positive control :
U-87 MG cell lysate, L6 cell lysate, mouse liver tissue.
Molecular wt :
Predicted band size: 74 kDa
Subcellular location :
Secreted, extracellular space, extracellular matrixm Membrane, Nucleus; Cytoplasm, Mitochondrion.
Concentration :
1 mg/mL.
Recommended dilutions :
WB: 1:2,000
;IHC-P: 1:2,000
;IP: 1-2μg/sample
;IF-Tissue: 1:1,000
Pic img4 :
https://storage.huabio.cn/huabio/productImg/ET1606-4_4.jpg
Pic legend4 :
Application: IF-Tissue
Species: Mouse
Site: liver
Sample: Paraffin-embedded section
Antibody concentration: 1/1,000
more info or order :
company information

HUABIO
Founded in 2007, HUABIO is dedicated to developing high-quality antibodies that advance innovation. We are passionate about the accuracy, efficiency, and consistency of our products. That is why we have invested in new production platforms, like recombinant rabbit monoclonals, alpaca nanobodies, and adopted aggressive QA standards to deliver cutting-edge antibodies with uncompromised quality.
We hope to see you at your next discovery!
We hope to see you at your next discovery!
browse more products
questions and comments
