product summary
Loading...
company name :
HUABIO
product type :
antibody
product name :
Alkaline Phosphatase
catalog :
ET1601-21-50UL
quantity :
50μl
price :
205.00 USD
clonality :
monoclonal
host :
domestic rabbit
conjugate :
nonconjugated
clone name :
SA40-00
reactivity :
human, mouse, rat
application :
western blot, immunohistochemistry - paraffin section
more info or order :
image
image 1 :

Western blot analysis of Alkaline Phosphatase on different lysates with Rabbit anti-Alkaline Phosphatase antibody (ET1601-21) at 1/5,000 dilution.
Lane 1: Saos-2 cell lysate (15 µg/Lane)
Lane 2: HeLa cell lysate (15 µg/Lane)
Lane 3: A549 cell lysate (15 µg/Lane)
Lane 4: Mouse liver tissue lysate (20 µg/Lane)
Lane 5: Rat liver tissue lysate (20 µg/Lane)
Predicted band size: 57 kDa
Observed band size: 75 kDa
Exposure time: 24 seconds; ECL: K1801;
4-20% SDS-PAGE gel.
Proteins were transferred to a PVDF membrane and blocked with 5% NFDM/TBST for 1 hour at room temperature. The primary antibody (ET1601-21) at 1/5,000 dilution was used in 5% NFDM/TBST at 4℃ overnight. Goat Anti-Rabbit IgG - HRP Secondary Antibody (HA1001) at 1:50,000 dilution was used for 1 hour at room temperature.
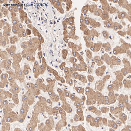
image 2 :

Immunohistochemical analysis of paraffin-embedded human liver tissue with Rabbit anti-Alkaline Phosphatase antibody (ET1601-21) at 1/8,000 dilution.
The section was pre-treated using heat mediated antigen retrieval with Tris-EDTA buffer (pH 9.0) for 20 minutes. The tissues were blocked in 1% BSA for 20 minutes at room temperature, washed with ddH2O and PBS, and then probed with the primary antibody (ET1601-21) at 1/8,000 dilution for 1 hour at room temperature. The detection was performed using an HRP conjugated compact polymer system. DAB was used as the chromogen. Tissues were counterstained with hematoxylin and mounted with DPX.
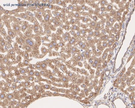
image 3 :

Immunohistochemical analysis of paraffin-embedded mouse liver tissue with Rabbit anti-Alkaline Phosphatase antibody (ET1601-21) at 1/8,000 dilution.
The section was pre-treated using heat mediated antigen retrieval with Tris-EDTA buffer (pH 9.0) for 20 minutes. The tissues were blocked in 1% BSA for 20 minutes at room temperature, washed with ddH2O and PBS, and then probed with the primary antibody (ET1601-21) at 1/8,000 dilution for 1 hour at room temperature. The detection was performed using an HRP conjugated compact polymer system. DAB was used as the chromogen. Tissues were counterstained with hematoxylin and mounted with DPX.
product information
SKU :
ET1601-21-50UL
Target name :
Alkaline Phosphatase
Species reactivity :
Human,Mouse,Rat
Applications :
WB,IHC-P,IF-Tissue
Conjugate :
Non-conjugated
Immunogen :
Synthetic peptide within human Alkaline Phosphatase aa 18-50.
Uniprot id :
P05186>SwissProt: P05186 Human;SwissProt: P09242 Mouse;SwissProt: P08289 Rat
Host :
Rabbit
Clone number :
SA40-00
Isotype :
IgG
Size :
50μl
List Price :
205.00 USD
Storage Buffer :
1*TBS (pH7.4), 0.05% BSA, 40% Glycerol. Preservative: 0.05% Sodium Azide.
Form :
Liquid
Storage Instruction :
Shipped at 4℃. Store at +4℃ short term (1-2 weeks). It is recommended to aliquot into single-use upon delivery. Store at -20℃ long term.
Purity :
Protein A affinity purified.
Product type :
Recombinant Rabbit monoclonal Antibody
Positive control :
Saos-2 cell lysate, HeLa cell lysate, A549 cell lysate, Mouse liver tissue lysate, Rat liver tissue lysate, HepG2, SW480, mouse kidney tissue, mouse jawbone tissue, rat liver tissue, mouse liver tissue, Hela.
Molecular wt :
Predicted band size: 57 kDa
Subcellular location :
Cell membrane, Mitochondrion membrane, Mitochondrion intermembrane space, Extracellular vesicle membrane.
Concentration :
1 mg/mL.
Recommended dilutions :
WB: 1:5,000
;IHC-P: 1:1,000-1:8,000
;IF-Tissue: 1:200
Pic img4 :
https://storage.huabio.cn/huabio/productImg/ET1601-21_4.jpg
Pic legend4 :
Immunohistochemical analysis of paraffin-embedded rat liver tissue with Rabbit anti-Alkaline Phosphatase antibody (ET1601-21) at 1/8,000 dilution.
The section was pre-treated using heat mediated antigen retrieval with Tris-EDTA buffer (pH 9.0) for 20 minutes. The tissues were blocked in 1% BSA for 20 minutes at room temperature, washed with ddH2O and PBS, and then probed with the primary antibody (ET1601-21) at 1/8,000 dilution for 1 hour at room temperature. The detection was performed using an HRP conjugated compact polymer system. DAB was used as the chromogen. Tissues were counterstained with hematoxylin and mounted with DPX.
Pic img5 :
https://storage.huabio.cn/huabio/productImg/ET1601-21_5.jpg
Pic legend5 :
Immunohistochemical analysis of paraffin-embedded mouse jawbone tissue with Rabbit anti-Alkaline Phosphatase antibody (ET1601-21) at 1/200 dilution.
The section was pre-treated using heat mediated antigen retrieval with Tris-EDTA buffer (pH 9.0) for 20 minutes. The tissues were blocked in 1% BSA for 20 minutes at room temperature, washed with ddH2O and PBS, and then probed with the primary antibody (ET1601-21) at 1/200 dilution for 1 hour at room temperature. The detection was performed using an HRP conjugated compact polymer system. DAB was used as the chromogen. Tissues were counterstained with hematoxylin and mounted with DPX.
Pic img6 :
https://storage.huabio.cn/huabio/productImg/ET1601-21_6.jpg
Pic legend6 :
Application: IF-Tissue
Species: Human
Site: liver
Sample: Paraffin-embedded section
Antibody concentration: 1/200
Pic img7 :
https://storage.huabio.cn/huabio/productImg/ET1601-21_7.jpg
Pic legend7 :
Application: IF-Tissue
Species: Mouse
Site: bone
Sample: Paraffin-embedded section
Antibody concentration: 1/200
Pic img8 :
https://storage.huabio.cn/huabio/productImg/ET1601-21_8.jpg
Pic legend8 :
Application: IF-Tissue
Species: Mouse
Site: bone
Sample: Paraffin-embedded section
Antibody concentration: 1/200
more info or order :
company information

HUABIO
Founded in 2007, HUABIO is dedicated to developing high-quality antibodies that advance innovation. We are passionate about the accuracy, efficiency, and consistency of our products. That is why we have invested in new production platforms, like recombinant rabbit monoclonals, alpaca nanobodies, and adopted aggressive QA standards to deliver cutting-edge antibodies with uncompromised quality.
We hope to see you at your next discovery!
We hope to see you at your next discovery!
related products
browse more products
questions and comments
