product summary
Loading...
company name :
HUABIO
product type :
antibody
product name :
Stanniocalcin 1 / STC
catalog :
ER61893
quantity :
100μl
price :
330 USD
clonality :
polyclonal
host :
domestic rabbit
conjugate :
nonconjugated
reactivity :
human, mouse, rat
application :
western blot, flow cytometry, immunohistochemistry - paraffin section
more info or order :
image
image 1 :

Western blot analysis of Stanniocalcin 1 / STC on different lysates with Rabbit anti-Stanniocalcin 1 / STC antibody (ER61893) at 1/5,000 dilution.
Lane 1: SK-OV-3 cell lysate
Lane 2: U-87 MG cell lysate
Lane 3: Mouse brain tissue lysate
Lane 4: Mouse small intestine tissue lysate
Lane 5: Mouse pancreas tissue lysate
Lane 6: Rat brain tissue lysate
Lane 7: Rat colon tissue lysate
Lysates/proteins at 15 µg/Lane.
Predicted band size: 28 kDa
Observed band size: 28 kDa
Exposure time: 14 seconds; ECL: K1801;
4-20% SDS-PAGE gel.
Proteins were transferred to a PVDF membrane and blocked with 5% NFDM/TBST for 1 hour at room temperature. The primary antibody (ER61893) at 1/5,000 dilution was used in primary antibody dilution (K1803) at 4℃ overnight. Goat Anti-Rabbit IgG - HRP Secondary Antibody (HA1001) at 1/50,000 dilution was used for 1 hour at room temperature.
image 2 :

Immunocytochemistry analysis of U-87 MG cells labeling Stanniocalcin 1 / STC with Rabbit anti-Stanniocalcin 1 / STC antibody (ER61893) at 1/50 dilution.
Cells were fixed in 4% paraformaldehyde for 15 minutes at room temperature, permeabilized with 0.1% Triton X-100 in PBS for 15 minutes at room temperature, then blocked with 1% BSA in 10% negative goat serum for 1 hour at room temperature. Cells were then incubated with Rabbit anti-Stanniocalcin 1 / STC antibody (ER61893) at 1/50 dilution in 1% BSA in PBST overnight at 4 ℃. Goat Anti-Rabbit IgG H&L (iFluor™ 488, HA1121) was used as the secondary antibody at 1/1,000 dilution. PBS instead of the primary antibody was used as the secondary antibody only control. Nuclear DNA was labelled in blue with DAPI.
Beta tubulin (HA601187, red) was stained at 1/100 dilution overnight at +4℃. Goat Anti-Mouse IgG H&L (iFluor™ 594, HA1126) was used as the secondary antibody at 1/1,000 dilution.
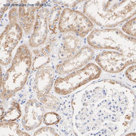
image 3 :

Immunohistochemical analysis of paraffin-embedded human kidney tissue with Rabbit anti-Stanniocalcin 1 / STC antibody (ER61893) at 1/1,000 dilution.
The section was pre-treated using heat mediated antigen retrieval with Tris-EDTA buffer (pH 9.0) for 20 minutes. The tissues were blocked in 1% BSA for 20 minutes at room temperature, washed with ddH2O and PBS, and then probed with the primary antibody (ER61893) at 1/1,000 dilution for 1 hour at room temperature. The detection was performed using an HRP conjugated compact polymer system. DAB was used as the chromogen. Tissues were counterstained with hematoxylin and mounted with DPX.
product information
SKU :
ER61893
Target name :
Stanniocalcin 1 / STC
Species reactivity :
Human,Mouse,Rat
Applications :
WB,IF-Cell,IHC-P,FC
Conjugate :
Non-conjugated
Immunogen :
Synthetic peptide within human Stanniocalcin 1 aa 181-230.
Uniprot id :
P52823>SwissProt: P52823 Human;SwissProt: O55183 Mouse;SwissProt: P97574 Rat
Host :
Rabbit
Isotype :
IgG
Size :
100μl
List Price :
330 USD
Storage Buffer :
PBS (pH7.4), 0.1% BSA, 40% Glycerol. Preservative: 0.05% Sodium Azide.
Form :
Liquid
Storage Instruction :
Shipped at 4℃. Store at +4℃ short term (1-2 weeks). It is recommended to aliquot into single-use upon delivery. Store at -20℃ long term.
Purity :
Immunogen affinity purified.
Product type :
Rabbit polyclonal Antibody
Positive control :
SK-OV-3 cell lysate, U-87 MG cell lysate, Mouse brain tissue lysate, Mouse small intestine tissue lysate, Mouse pancreas tissue lysate, Rat brain tissue lysate, Rat colon tissue lysate, U-87 MG, human kidney tissue, human pancreas tissue, mouse pancreas tissue, rat pancreas tissue.
Molecular wt :
Predicted band size: 28 kDa
Subcellular location :
Secreted.
Concentration :
2 mg/mL.
Recommended dilutions :
WB: 1:5,000
;IF-Cell: 1:50
;IHC-P: 1:200-1:1,000
;FC: 1:1,000
Pic img4 :
https://storage.huabio.cn/huabio/productImg/ER61893_4.jpg
Pic legend4 :
Immunohistochemical analysis of paraffin-embedded human pancreas tissue with Rabbit anti-Stanniocalcin 1 / STC antibody (ER61893) at 1/200 dilution.
The section was pre-treated using heat mediated antigen retrieval with Tris-EDTA buffer (pH 9.0) for 20 minutes. The tissues were blocked in 1% BSA for 20 minutes at room temperature, washed with ddH2O and PBS, and then probed with the primary antibody (ER61893) at 1/200 dilution for 1 hour at room temperature. The detection was performed using an HRP conjugated compact polymer system. DAB was used as the chromogen. Tissues were counterstained with hematoxylin and mounted with DPX.
Pic img5 :
https://storage.huabio.cn/huabio/productImg/ER61893_5.jpg
Pic legend5 :
Immunohistochemical analysis of paraffin-embedded mouse pancreas tissue with Rabbit anti-Stanniocalcin 1 / STC antibody (ER61893) at 1/1,000 dilution.
The section was pre-treated using heat mediated antigen retrieval with Tris-EDTA buffer (pH 9.0) for 20 minutes. The tissues were blocked in 1% BSA for 20 minutes at room temperature, washed with ddH2O and PBS, and then probed with the primary antibody (ER61893) at 1/1,000 dilution for 1 hour at room temperature. The detection was performed using an HRP conjugated compact polymer system. DAB was used as the chromogen. Tissues were counterstained with hematoxylin and mounted with DPX.
Pic img6 :
https://storage.huabio.cn/huabio/productImg/ER61893_6.jpg
Pic legend6 :
Immunohistochemical analysis of paraffin-embedded rat pancreas tissue with Rabbit anti-Stanniocalcin 1 / STC antibody (ER61893) at 1/1,000 dilution.
The section was pre-treated using heat mediated antigen retrieval with Tris-EDTA buffer (pH 9.0) for 20 minutes. The tissues were blocked in 1% BSA for 20 minutes at room temperature, washed with ddH2O and PBS, and then probed with the primary antibody (ER61893) at 1/1,000 dilution for 1 hour at room temperature. The detection was performed using an HRP conjugated compact polymer system. DAB was used as the chromogen. Tissues were counterstained with hematoxylin and mounted with DPX.
Pic img7 :
https://storage.huabio.cn/huabio/productImg/ER61893_7.jpg
Pic legend7 :
Flow cytometric analysis of U-87 MG cells labeling Stanniocalcin 1 / STC.
Cells were fixed and permeabilized. Then stained with the primary antibody (ER61893, 1/1,000) (red) compared with Rabbit IgG Isotype Control (green). After incubation of the primary antibody at +4℃ for an hour, the cells were stained with a iFluor™ 488 conjugate-Goat anti-Rabbit IgG Secondary antibody (HA1121) at 1/1,000 dilution for 30 minutes at +4℃. Unlabelled sample was used as a control (cells without incubation with primary antibody; black).
more info or order :
company information

HUABIO
Founded in 2007, HUABIO is dedicated to developing high-quality antibodies that advance innovation. We are passionate about the accuracy, efficiency, and consistency of our products. That is why we have invested in new production platforms, like recombinant rabbit monoclonals, alpaca nanobodies, and adopted aggressive QA standards to deliver cutting-edge antibodies with uncompromised quality.
We hope to see you at your next discovery!
We hope to see you at your next discovery!
browse more products
questions and comments
