product summary
Loading...
company name :
HUABIO
product type :
antibody
product name :
SAP97
catalog :
ER2001-07
quantity :
100μl
price :
330 USD
clonality :
polyclonal
host :
domestic rabbit
conjugate :
nonconjugated
reactivity :
human, mouse, rat
application :
western blot, flow cytometry, immunohistochemistry - paraffin section
more info or order :
image
image 1 :

Western blot analysis of SAP97 on different lysates. Proteins were transferred to a PVDF membrane and blocked with 5% BSA in PBS for 1 hour at room temperature. The primary antibody (ER2001-07, 1/500) was used in 5% BSA at room temperature for 2 hours. Goat Anti-Rabbit IgG - HRP Secondary Antibody (HA1001) at 1:5,000 dilution was used for 1 hour at room temperature.
Positive control:
Lane 1: Siha cell lysate
Lane 2: A431 cell lysate
image 2 :

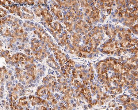
Immunohistochemical analysis of paraffin-embedded human liver carcinoma tissue using anti-SAP97 antibody. The section was pre-treated using heat mediated antigen retrieval with Tris-EDTA buffer (pH 8.0-8.4) for 20 minutes.The tissues were blocked in 5% BSA for 30 minutes at room temperature, washed with ddH2O and PBS, and then probed with the primary antibody (ER2001-07, 1/50) for 30 minutes at room temperature. The detection was performed using an HRP conjugated compact polymer system. DAB was used as the chromogen. Tissues were counterstained with hematoxylin and mounted with DPX.
image 3 :

Immunohistochemical analysis of paraffin-embedded mouse colon tissue using anti-SAP97 antibody. The section was pre-treated using heat mediated antigen retrieval with Tris-EDTA buffer (pH 8.0-8.4) for 20 minutes.The tissues were blocked in 5% BSA for 30 minutes at room temperature, washed with ddH2O and PBS, and then probed with the primary antibody (ER2001-07, 1/50) for 30 minutes at room temperature. The detection was performed using an HRP conjugated compact polymer system. DAB was used as the chromogen. Tissues were counterstained with hematoxylin and mounted with DPX.
product information
SKU :
ER2001-07
Target name :
SAP97
Species reactivity :
Human,Mouse
Applications :
WB,IHC-P,FC
Conjugate :
Non-conjugated
Immunogen :
Synthetic peptide within human aa 1-100.
Uniprot id :
Q12959>SwissProt: Q12959 Human;SwissProt: Q811D0 Mouse;SwissProt:Q62696 Rat
Host :
Rabbit
Isotype :
IgG
Size :
100μl
List Price :
330 USD
Storage Buffer :
1*TBS (pH7.4), 1%BSA, 50%Glycerol. Preservative: 0.05% Sodium Azide.
Form :
Liquid
Storage Instruction :
Shipped at 4℃. Store at +4℃ short term (1-2 weeks). It is recommended to aliquot into single-use upon delivery. Store at -20℃ long term.
Purity :
Immunogen affinity purified.
Product type :
Rabbit polyclonal Antibody
Positive control :
Siha cell lysate, A431 cell lysate, human liver carcinoma tissue, mouse colon tissue, A431.
Molecular wt :
Predicted band size: 100 kDa.
Subcellular location :
Cell junction, Cell membrane, Cytoplasm, Endoplasmic reticulum, Membrane, Synapse.
Concentration :
1mg/mL
Recommended dilutions :
WB: 1:500
;IHC-P:1:50-1:200
;FC:1:50-1:100
Pic img4 :
https://storage.huabio.cn/huabio/productImg/ER2001-07_4.jpg
Pic legend4 :
Flow cytometric analysis of SAP97 was done on A431 cells. The cells were fixed, permeabilized and stained with the primary antibody (ER2001-07, 1/50) (red). After incubation of the primary antibody at room temperature for an hour, the cells were stained with a Alexa Fluor 488-conjugated Goat anti-Rabbit IgG Secondary antibody at 1/1000 dilution for 30 minutes.Unlabelled sample was used as a control (cells without incubation with primary antibody; black).
more info or order :
company information

HUABIO
Founded in 2007, HUABIO is dedicated to developing high-quality antibodies that advance innovation. We are passionate about the accuracy, efficiency, and consistency of our products. That is why we have invested in new production platforms, like recombinant rabbit monoclonals, alpaca nanobodies, and adopted aggressive QA standards to deliver cutting-edge antibodies with uncompromised quality.
We hope to see you at your next discovery!
We hope to see you at your next discovery!
related products
browse more products
questions and comments
