product summary
Loading...
company name :
HUABIO
product type :
antibody
product name :
Gasdermin D (N terminal)
catalog :
ER1901-37
quantity :
100μl
price :
330 USD
clonality :
polyclonal
host :
domestic rabbit
conjugate :
nonconjugated
reactivity :
human, mouse, rat
application :
western blot, flow cytometry, immunohistochemistry - paraffin section
more info or order :
image
image 1 :

Western blot analysis of Gasdermin D (N terminal) on different lysates with Rabbit anti-Gasdermin D (N terminal) antibody (ER1901-37) at 1/1,000 dilution.
Lane 1: SiHa cell lysate (10 µg/Lane)
Lane 2: PC-3 cell lysate (10 µg/Lane)
Lane 3: Jurkat cell lysate (10 µg/Lane)
Lane 4: THP-1 cell lysate (10 µg/Lane)
Lane 5: Human kidney tissue lysate (20 µg/Lane)
Predicted band size: 53 kDa
Observed band size: 53 kDa
Exposure time: 2 minutes;
12% SDS-PAGE gel.
Proteins were transferred to a PVDF membrane and blocked with 5% NFDM/TBST for 1 hour at room temperature. The primary antibody (ER1901-37) at 1/1,000 dilution was used in 5% NFDM/TBST at room temperature for 2 hours. Goat Anti-Rabbit IgG - HRP Secondary Antibody (HA1001) at 1:300,000 dilution was used for 1 hour at room temperature.
image 2 :

Western blot analysis of Gasdermin D (N terminal) on THP-1 cell lysates with Rabbit anti-Gasdermin D (N terminal) antibody (ER1901-37) at 1/1,000 dilution.
Lysates/proteins at 20 µg/Lane.
Predicted band size: 53 kDa
Observed band size: 53/35 kDa
Exposure time: 25 seconds; ECL: K1801;
4-20% SDS-PAGE gel.
Proteins were transferred to a PVDF membrane and blocked with 5% NFDM/TBST for 1 hour at room temperature. The primary antibody (ER1901-37) at 1/1,000 dilution was used in 5% NFDM/TBST at 4℃ overnight. Goat Anti-Rabbit IgG - HRP Secondary Antibody (HA1001) at 1/50,000 dilution was used for 1 hour at room temperature.
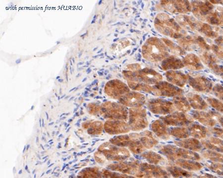
image 3 :

Immunohistochemical analysis of paraffin-embedded rat stomach tissue using anti-Gasdermin D (N terminal) antibody. The section was pre-treated using heat mediated antigen retrieval with sodium citrate buffer (pH 6.0) (high pressure) for 2 minutes. The tissues were blocked in 5% BSA for 30 minutes at room temperature, washed with ddH2O and PBS, and then probed with the primary antibody (ER1901-37, 1/200) for 30 minutes at room temperature. The detection was performed using an HRP conjugated compact polymer system. DAB was used as the chromogen. Tissues were counterstained with hematoxylin and mounted with DPX.
product information
SKU :
ER1901-37
Target name :
Gasdermin D (N terminal)
Species reactivity :
Human,Mouse,Rat
Applications :
WB,IHC-P,FC,IF-Cell
Conjugate :
Non-conjugated
Immunogen :
Recombinant protein within human Gasdermin D aa 100-300.
Uniprot id :
P57764>SwissProt: P57764 Human;SwissProt: Q9D8T2 Mouse;Entrez Gene: 315084 Rat
Host :
Rabbit
Isotype :
IgG
Size :
100μl
List Price :
330 USD
Storage Buffer :
1*PBS (pH7.4), 0.2% BSA, 50% Glycerol. Preservative: 0.05% Sodium Azide.
Form :
Liquid
Storage Instruction :
Shipped at 4℃. Store at +4℃ short term (1-2 weeks). It is recommended to aliquot into single-use upon delivery. Store at -20℃ long term.
Purity :
Immunogen affinity purified.
Product type :
Rabbit polyclonal Antibody
Positive control :
SiHa cell lysate, PC-3 cell lysate, Jurkat cell lysate, THP-1 cell lysate, human kidney tissue lysate, SiHa, rat stomach tissue, human tonsil tissue, human prostate carcinoma tissue, human esophagus tissue, mouse colon tissue, mouse intestine tissue, SiHa, PC-3M, RAW264.7, L6.
Molecular wt :
Predicted band size: 53 kDa
Subcellular location :
Cytosol. Secreted. Plasma membrane.
Concentration :
1 mg/mL.
Recommended dilutions :
WB: 1:1,000-1:2,000
;IHC-P: 1:50-1:1,000
;FC: 1:1,000
;IF-Cell: 1:100
Pic img4 :
https://storage.huabio.cn/huabio/productImg/ER1901-37_4.jpg
Pic legend4 :
Immunohistochemical analysis of paraffin-embedded human tonsil tissue using anti-Gasdermin D (N terminal) antibody. The section was pre-treated using heat mediated antigen retrieval with sodium citrate buffer (pH 6.0) (high pressure) for 2 minutes. The tissues were blocked in 5% BSA for 30 minutes at room temperature, washed with ddH2O and PBS, and then probed with the primary antibody (ER1901-37, 1/50) for 30 minutes at room temperature. The detection was performed using an HRP conjugated compact polymer system. DAB was used as the chromogen. Tissues were counterstained with hematoxylin and mounted with DPX.
Pic img5 :
https://storage.huabio.cn/huabio/productImg/ER1901-37_5.jpg
Pic legend5 :
Immunohistochemical analysis of paraffin-embedded human prostate carcinoma tissue using anti-Gasdermin D (N terminal) antibody. The section was pre-treated using heat mediated antigen retrieval with sodium citrate buffer (pH 6.0) (high pressure) for 2 minutes. The tissues were blocked in 5% BSA for 30 minutes at room temperature, washed with ddH2O and PBS, and then probed with the primary antibody (ER1901-37, 1/50) for 30 minutes at room temperature. The detection was performed using an HRP conjugated compact polymer system. DAB was used as the chromogen. Tissues were counterstained with hematoxylin and mounted with DPX.
Pic img6 :
https://storage.huabio.cn/huabio/productImg/ER1901-37_6.jpg
Pic legend6 :
Immunohistochemical analysis of paraffin-embedded human esophagus tissue using anti-Gasdermin D (N terminal) antibody. The section was pre-treated using heat mediated antigen retrieval with sodium citrate buffer (pH 6.0) (high pressure) for 2 minutes. The tissues were blocked in 5% BSA for 30 minutes at room temperature, washed with ddH2O and PBS, and then probed with the primary antibody (ER1901-37, 1/200) for 30 minutes at room temperature. The detection was performed using an HRP conjugated compact polymer system. DAB was used as the chromogen. Tissues were counterstained with hematoxylin and mounted with DPX.
Pic img7 :
https://storage.huabio.cn/huabio/productImg/ER1901-37_7.jpg
Pic legend7 :
Immunohistochemical analysis of paraffin-embedded Mouse colon tissue using anti-Gasdermin D (N terminal) antibody. The section was pre-treated using heat mediated antigen retrieval with sodium citrate buffer (pH 6.0) (high pressure) for 2 minutes. The tissues were blocked in 5% BSA for 30 minutes at room temperature, washed with ddH2O and PBS, and then probed with the primary antibody (ER1901-37, 1/200) for 30 minutes at room temperature. The detection was performed using an HRP conjugated compact polymer system. DAB was used as the chromogen. Tissues were counterstained with hematoxylin and mounted with DPX.
Pic img8 :
https://storage.huabio.cn/huabio/productImg/ER1901-37_8.jpg
Pic legend8 :
Immunohistochemical analysis of paraffin-embedded mouse intestine tissue with Rabbit anti-Gasdermin D (N terminal) antibody (ER1901-37) at 1/1,000 dilution.
The section was pre-treated using heat mediated antigen retrieval with Tris-EDTA buffer (pH 9.0) for 20 minutes. The tissues were blocked in 1% BSA for 20 minutes at room temperature, washed with ddH2O and PBS, and then probed with the primary antibody (ER1901-37) at 1/1,000 dilution for 1 hour at room temperature. The detection was performed using an HRP conjugated compact polymer system. DAB was used as the chromogen. Tissues were counterstained with hematoxylin and mounted with DPX.
Pic img9 :
https://storage.huabio.cn/huabio/productImg/ER1901-37_9.jpg
Pic legend9 :
Immunocytochemistry analysis of PC-3M cells labeling Gasdermin D (N terminal) with Rabbit anti-Gasdermin D (N terminal) antibody (ER1901-37) at 1/100 dilution.
Cells were fixed in 4% paraformaldehyde for 20 minutes at room temperature, permeabilized with 0.1% Triton X-100 in PBS for 5 minutes at room temperature, then blocked with 1% BSA in 10% negative goat serum for 1 hour at room temperature. Cells were then incubated with Rabbit anti-Gasdermin D (N terminal) antibody (ER1901-37) at 1/100 dilution in 1% BSA in PBST overnight at 4 ℃. Goat Anti-Rabbit IgG H&L (iFluor™ 488, HA1121) was used as the secondary antibody at 1/1,000 dilution. PBS instead of the primary antibody was used as the secondary antibody only control. Nuclear DNA was labelled in blue with DAPI.
Beta tubulin (M1305-2, red) was stained at 1/100 dilution overnight at +4℃. Goat Anti-Mouse IgG H&L (iFluor™ 594, HA1126) was used as the secondary antibody at 1/1,000 dilution.
Pic img10 :
https://storage.huabio.cn/huabio/productImg/ER1901-37_10.jpg
Pic legend10 :
Immunocytochemistry analysis of RAW264.7 cells labeling Gasdermin D (N terminal) with Rabbit anti-Gasdermin D (N terminal) antibody (ER1901-37) at 1/100 dilution.
Cells were fixed in 4% paraformaldehyde for 20 minutes at room temperature, permeabilized with 0.1% Triton X-100 in PBS for 5 minutes at room temperature, then blocked with 1% BSA in 10% negative goat serum for 1 hour at room temperature. Cells were then incubated with Rabbit anti-Gasdermin D (N terminal) antibody (ER1901-37) at 1/100 dilution in 1% BSA in PBST overnight at 4 ℃. Goat Anti-Rabbit IgG H&L (iFluor™ 488, HA1121) was used as the secondary antibody at 1/1,000 dilution. PBS instead of the primary antibody was used as the secondary antibody only control. Nuclear DNA was labelled in blue with DAPI.
Beta tubulin (M1305-2, red) was stained at 1/100 dilution overnight at +4℃. Goat Anti-Mouse IgG H&L (iFluor™ 594, HA1126) was used as the secondary antibody at 1/1,000 dilution.
Pic img11 :
https://storage.huabio.cn/huabio/productImg/ER1901-37_11.jpg
Pic legend11 :
Immunocytochemistry analysis of L6 cells labeling Gasdermin D (N terminal) with Rabbit anti-Gasdermin D (N terminal) antibody (ER1901-37) at 1/100 dilution.
Cells were fixed in 4% paraformaldehyde for 20 minutes at room temperature, permeabilized with 0.1% Triton X-100 in PBS for 5 minutes at room temperature, then blocked with 1% BSA in 10% negative goat serum for 1 hour at room temperature. Cells were then incubated with Rabbit anti-Gasdermin D (N terminal) antibody (ER1901-37) at 1/100 dilution in 1% BSA in PBST overnight at 4 ℃. Goat Anti-Rabbit IgG H&L (iFluor™ 488, HA1121) was used as the secondary antibody at 1/1,000 dilution. PBS instead of the primary antibody was used as the secondary antibody only control. Nuclear DNA was labelled in blue with DAPI.
Beta tubulin (M1305-2, red) was stained at 1/100 dilution overnight at +4℃. Goat Anti-Mouse IgG H&L (iFluor™ 594, HA1126) was used as the secondary antibody at 1/1,000 dilution.
Pic img12 :
https://storage.huabio.cn/huabio/productImg/ER1901-37_12.jpg
Pic legend12 :
Flow cytometric analysis of Gasdermin D (N terminal) was done on SiHa cells. The cells were fixed, permeabilized and stained with the primary antibody (ER1901-37, 1/50) (red). After incubation of the primary antibody at room temperature for an hour, the cells were stained with a Alexa Fluor 488-conjugated Goat anti-Rabbit IgG Secondary antibody at 1/1000 dilution for 30 minutes.Unlabelled sample was used as a control (cells without incubation with primary antibody; black).
more info or order :
company information

HUABIO
Founded in 2007, HUABIO is dedicated to developing high-quality antibodies that advance innovation. We are passionate about the accuracy, efficiency, and consistency of our products. That is why we have invested in new production platforms, like recombinant rabbit monoclonals, alpaca nanobodies, and adopted aggressive QA standards to deliver cutting-edge antibodies with uncompromised quality.
We hope to see you at your next discovery!
We hope to see you at your next discovery!
related products
browse more products
questions and comments
