product summary
Loading...
company name :
HUABIO
product type :
antibody
product name :
KIF3A
catalog :
ER1803-40
quantity :
100μl
price :
330 USD
clonality :
polyclonal
host :
domestic rabbit
conjugate :
nonconjugated
reactivity :
human, mouse, rat
application :
western blot, flow cytometry, immunohistochemistry - paraffin section
more info or order :
image
image 1 :

Western blot analysis of KIF3A on rat testis tissue (1) and Daudi cell (2) lysates using anti-KIF3A antibody at 1/500 dilution.
image 2 :

Immunohistochemical analysis of paraffin-embedded rat cerebellum tissue using anti-KIF3A antibody. Counter stained with hematoxylin.
image 3 :

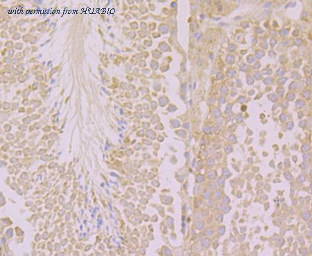
Immunohistochemical analysis of paraffin-embedded mouse testis tissue using anti-KIF3A antibody. Counter stained with hematoxylin.
product information
SKU :
ER1803-40
Target name :
KIF3A
Species reactivity :
Human,Mouse,Rat
Applications :
WB,IHC-P,FC
Conjugate :
Non-conjugated
Immunogen :
Recombinant protein within Human KIF3A aa 154-364 / 699.
Uniprot id :
Q9Y496>SwissProt: Q9Y496 Human;SwissProt: P28741 Mouse;Unigene: 47400 Rat
Host :
Rabbit
Isotype :
IgG
Size :
100μl
List Price :
330 USD
Storage Buffer :
1*PBS (pH7.4), 0.2% BSA, 50% Glycerol. Preservative: 0.05% Sodium Azide.
Form :
Liquid
Storage Instruction :
Shipped at 4℃. Store at +4℃ short term (1-2 weeks). It is recommended to aliquot into single-use upon delivery. Store at -20℃ long term.
Purity :
Immunogen affinity purified.
Product type :
Rabbit polyclonal Antibody
Positive control :
Rat testis tissue, Daudi, rat cerebellum tissue, mouse testis tissue, A549.
Molecular wt :
Predicted band size: 80 kDa
Subcellular location :
Cytoskeleton
Concentration :
1 mg/mL.
Recommended dilutions :
WB: 1:500-1:1,000
;IHC-P: 1:50-1:100
;FC: 1:50-1:100
Pic img4 :
https://storage.huabio.cn/huabio/productImg/ER1803-40_4.jpg
Pic legend4 :
Flow cytometric analysis of A549 cells with KIF3A antibody at 1/100 dilution (red) compared with an unlabelled control (cells without incubation with primary antibody; blue). Alexa Fluor 488-conjugated goat anti-rabbit IgG was used as the secondary antibody.
more info or order :
company information

HUABIO
Founded in 2007, HUABIO is dedicated to developing high-quality antibodies that advance innovation. We are passionate about the accuracy, efficiency, and consistency of our products. That is why we have invested in new production platforms, like recombinant rabbit monoclonals, alpaca nanobodies, and adopted aggressive QA standards to deliver cutting-edge antibodies with uncompromised quality.
We hope to see you at your next discovery!
We hope to see you at your next discovery!
related products
browse more products
questions and comments
