product summary
Loading...
company name :
HUABIO
product type :
antibody
product name :
KCNK1
catalog :
ER1803-39
quantity :
100μl
price :
330 USD
clonality :
polyclonal
host :
domestic rabbit
conjugate :
nonconjugated
reactivity :
human, mouse, rat
application :
western blot, flow cytometry, immunohistochemistry - paraffin section
more info or order :
image
image 1 :

Western blot analysis of KCNK1 on different cell lysate using anti-KCNK1 antibody at 1/500 dilution.
Positive control:
Lane 1: Human placenta
Lane 2: Human liver
image 2 :

Immunohistochemical analysis of paraffin-embedded rat cerebellum tissue using anti-KCNK1 antibody. Counter stained with hematoxylin.
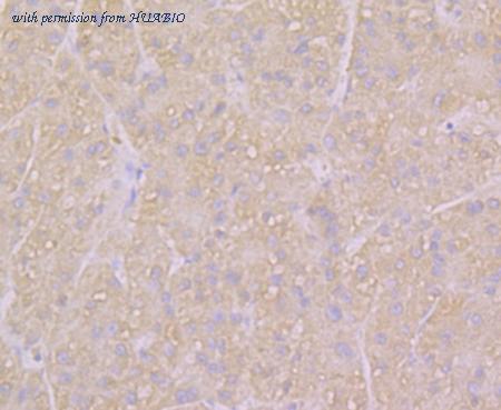
image 3 :

Immunohistochemical analysis of paraffin-embedded human liver tissue using anti-KCNK1 antibody. Counter stained with hematoxylin.
product information
SKU :
ER1803-39
Target name :
KCNK1
Species reactivity :
Human,Mouse,Rat
Applications :
WB,IHC-P,FC
Conjugate :
Non-conjugated
Immunogen :
Synthetic peptide within human KCNK1 aa 40-100.
Uniprot id :
O00180>SwissProt: O00180 Human;SwissProt: O08581 Mouse;SwissProt: Q9Z2T2 Rat
Host :
Rabbit
Isotype :
IgG
Size :
100μl
List Price :
330 USD
Storage Buffer :
1*PBS (pH7.4), 0.2% BSA, 50% Glycerol. Preservative: 0.05% Sodium Azide.
Form :
Liquid
Storage Instruction :
Shipped at 4℃. Store at +4℃ short term (1-2 weeks). It is recommended to aliquot into single-use upon delivery. Store at -20℃ long term.
Purity :
Immunogen affinity purified.
Product type :
Rabbit polyclonal Antibody
Positive control :
Human placenta tissue, human liver tissue, rat cerebellum tissue, human kidney tissue, mouse brain tissue, SH-SY5Y.
Molecular wt :
Predicted band size: 38 kDa
Subcellular location :
Cell membrane, Recycling endosome, Synaptic cell membrane, Cytoplasmic vesicle, Perikaryon, Cell projection, dendrite, Apical cell membrane.
Concentration :
1 mg/mL.
Recommended dilutions :
WB: 1:500
;IHC-P: 1:50-1:200
;FC: 1ug/mL
Pic img4 :
https://storage.huabio.cn/huabio/productImg/ER1803-39_4.jpg
Pic legend4 :
Immunohistochemical analysis of paraffin-embedded human kidney tissue using anti-KCNK1 antibody. Counter stained with hematoxylin.
Pic img5 :
https://storage.huabio.cn/huabio/productImg/ER1803-39_5.jpg
Pic legend5 :
Immunohistochemical analysis of paraffin-embedded human placenta tissue using anti-KCNK1 antibody. Counter stained with hematoxylin.
Pic img6 :
https://storage.huabio.cn/huabio/productImg/ER1803-39_6.jpg
Pic legend6 :
Immunohistochemical analysis of paraffin-embedded mouse brain tissue using anti-KCNK1 antibody. Counter stained with hematoxylin.
Pic img7 :
https://storage.huabio.cn/huabio/productImg/ER1803-39_7.jpg
Pic legend7 :
Flow cytometric analysis of SH-SY5Y cells labeling KCNK1.
Cells were fixed and permeabilized. Then stained with the primary antibody (ER1803-39, 1ug/ml) (red) compared with Rabbit IgG Isotype Control (green). After incubation of the primary antibody at +4℃ for an hour, the cells were stained with a iFluor™ 488 conjugate-Goat anti-Rabbit IgG Secondary antibody (HA1121) at 1/1,000 dilution for 30 minutes at +4℃. Unlabelled sample was used as a control (cells without incubation with primary antibody; black).
more info or order :
company information

HUABIO
Founded in 2007, HUABIO is dedicated to developing high-quality antibodies that advance innovation. We are passionate about the accuracy, efficiency, and consistency of our products. That is why we have invested in new production platforms, like recombinant rabbit monoclonals, alpaca nanobodies, and adopted aggressive QA standards to deliver cutting-edge antibodies with uncompromised quality.
We hope to see you at your next discovery!
We hope to see you at your next discovery!
browse more products
questions and comments
