product summary
Loading...
company name :
HUABIO
product type :
antibody
product name :
Orai1
catalog :
ER1803-11
quantity :
100μl
price :
330 USD
clonality :
polyclonal
host :
domestic rabbit
conjugate :
nonconjugated
reactivity :
human, mouse
application :
western blot, immunohistochemistry - paraffin section
more info or order :
image
image 1 :

Western blot analysis of Orai1 on different lysates with Rabbit anti-Orai1 antibody (ER1803-11) at 1/1,000 dilution.
Lane 1: HeLa cell lysate
Lane 2: C2C12 cell lysate
Lysates/proteins at 20 µg/Lane.
Predicted band size: 33 kDa
Observed band size: 50 kDa
Exposure time: 59 seconds; ECL: K1801;
4-20% SDS-PAGE gel.
Proteins were transferred to a PVDF membrane and blocked with 5% NFDM/TBST for 1 hour at room temperature. The primary antibody (ER1803-11) at 1/1,000 dilution was used in 5% NFDM/TBST at 4℃ overnight. Goat Anti-Rabbit IgG - HRP Secondary Antibody (HA1001) at 1/50,000 dilution was used for 1 hour at room temperature.
image 2 :

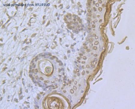
Immunohistochemical analysis of paraffin-embedded human skin tissue using anti- Orai1 antibody. Counter stained with hematoxylin.
image 3 :

Immunohistochemical analysis of paraffin-embedded human esophagus tissue using anti-Orai1 antibody. Counter stained with hematoxylin.
product information
SKU :
ER1803-11
Target name :
Orai1
Species reactivity :
Human,Mouse
Applications :
WB,IHC-P
Conjugate :
Non-conjugated
Immunogen :
Synthetic peptide within mouse Orai1 aa 181-230 / 304.
Uniprot id :
Q96D31>SwissProt: Q96D31 Human;SwissProt: Q8BWG9 Mouse
Host :
Rabbit
Isotype :
IgG
Size :
100μl
List Price :
330 USD
Storage Buffer :
1*PBS (pH7.4), 0.2% BSA, 50% Glycerol. Preservative: 0.05% Sodium Azide.
Form :
Liquid
Storage Instruction :
Shipped at 4℃. Store at +4℃ short term (1-2 weeks). It is recommended to aliquot into single-use upon delivery. Store at -20℃ long term.
Purity :
Immunogen affinity purified.
Product type :
Rabbit polyclonal Antibody
Positive control :
human skin tissue, human esophagus tissue.
Molecular wt :
Predicted band size: 33 kDa
Subcellular location :
Cell membrane
Concentration :
1 mg/mL.
Recommended dilutions :
WB: 1:500-1:2,000
;IHC-P: 1:50-1:200
more info or order :
company information

HUABIO
Founded in 2007, HUABIO is dedicated to developing high-quality antibodies that advance innovation. We are passionate about the accuracy, efficiency, and consistency of our products. That is why we have invested in new production platforms, like recombinant rabbit monoclonals, alpaca nanobodies, and adopted aggressive QA standards to deliver cutting-edge antibodies with uncompromised quality.
We hope to see you at your next discovery!
We hope to see you at your next discovery!
browse more products
questions and comments
