product summary
Loading...
company name :
HUABIO
product type :
antibody
product name :
KCNK4 / K2P4.1
catalog :
ER1803-07
quantity :
100μl
price :
330 USD
clonality :
polyclonal
host :
domestic rabbit
conjugate :
nonconjugated
reactivity :
human, mouse, rat
application :
western blot, immunohistochemistry - paraffin section
more info or order :
image
image 1 :

Western blot analysis of KCNK4 / K2P4.1 on different lysates with Rabbit anti-KCNK4 / K2P4.1 antibody (ER1803-07) at 1/2,000 dilution.
Lane 1: Mouse colon tissue lysate
Lane 2: Mouse brain tissue lysate
Lane 3: Rat colon tissue lysate
Lane 4: Rat brain tissue lysate
Lysates/proteins at 40 µg/Lane.
Predicted band size: 43 kDa
Observed band size: 50 kDa
Exposure time: 10 seconds; ECL: K1801;
4-20% SDS-PAGE gel.
Proteins were transferred to a PVDF membrane and blocked with 5% NFDM/TBST for 1 hour at room temperature. The primary antibody (ER1803-07) at 1/2,000 dilution was used in 5% NFDM/TBST at 4℃ overnight. Goat Anti-Rabbit IgG - HRP Secondary Antibody (HA1001) at 1/50,000 dilution was used for 1 hour at room temperature.
image 2 :

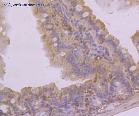
Immunohistochemical analysis of paraffin-embedded rat large intestine tissue using anti-K2P4.1 antibody. Counter stained with hematoxylin.
image 3 :

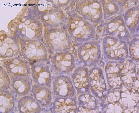
Immunohistochemical analysis of paraffin-embedded mouse colon tissue using anti-K2P4.1 antibody. Counter stained with hematoxylin.
product information
SKU :
ER1803-07
Target name :
KCNK4 / K2P4.1
Species reactivity :
Mouse,Rat
Applications :
WB,IHC-P
Conjugate :
Non-conjugated
Immunogen :
Synthetic peptide within Human K2P41 aa 326-375 / 393.
Uniprot id :
Q9NYG8>SwissProt: Q9NYG8 Human;SwissProt: O88454 Mouse;SwissProt: G3V8V5 Rat
Host :
Rabbit
Isotype :
IgG
Size :
100μl
List Price :
330 USD
Storage Buffer :
1*PBS (pH7.4), 0.2% BSA, 50% Glycerol. Preservative: 0.05% Sodium Azide.
Form :
Liquid
Storage Instruction :
Shipped at 4℃. Store at +4℃ short term (1-2 weeks). It is recommended to aliquot into single-use upon delivery. Store at -20℃ long term.
Purity :
Immunogen affinity purified.
Product type :
Rabbit polyclonal Antibody
Positive control :
Mouse colon tissue lysate, mouse brain tissue lysate, rat colon tissue lysate, rat brain tissue lysate, rat large intestine tissue, mouse colon tissue.
Molecular wt :
Predicted band size: 43 kDa
Subcellular location :
Cell membrane
Concentration :
1 mg/mL.
Recommended dilutions :
WB: 1:2,000
;IHC-P: 1:50-1:200
more info or order :
company information

HUABIO
Founded in 2007, HUABIO is dedicated to developing high-quality antibodies that advance innovation. We are passionate about the accuracy, efficiency, and consistency of our products. That is why we have invested in new production platforms, like recombinant rabbit monoclonals, alpaca nanobodies, and adopted aggressive QA standards to deliver cutting-edge antibodies with uncompromised quality.
We hope to see you at your next discovery!
We hope to see you at your next discovery!
browse more products
questions and comments
