product summary
Loading...
company name :
HUABIO
product type :
antibody
product name :
NDRG2
catalog :
ER1802-94
quantity :
100μl
price :
330 USD
clonality :
polyclonal
host :
domestic rabbit
conjugate :
nonconjugated
reactivity :
human, mouse, rat
application :
western blot, flow cytometry, immunohistochemistry - paraffin section
more info or order :
image
image 1 :

Western blot analysis of NDRG2 on mouse brain (1) and mouse skeletal muscle (2) tissue lysate using anti-NDRG2 antibody at 1/1,000 dilution.
image 2 :

Immunohistochemical analysis of paraffin-embedded rat brain tissue using anti-NDRG2 antibody. Counter stained with hematoxylin.
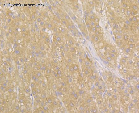
image 3 :

Immunohistochemical analysis of paraffin-embedded human liver tissue using anti-NDRG2 antibody. Counter stained with hematoxylin.
product information
SKU :
ER1802-94
Target name :
NDRG2
Species reactivity :
Human,Mouse,Rat
Applications :
WB,IHC-P,FC
Conjugate :
Non-conjugated
Immunogen :
Recombinant protein within Human NDRG2 aa 13-160 / 371.
Uniprot id :
Q9UN36>SwissProt: Q9UN36 Human;SwissProt: Q9QYG0 Mouse;SwissProt: Q8VBU2 Rat
Host :
Rabbit
Isotype :
IgG
Size :
100μl
List Price :
330 USD
Storage Buffer :
1*PBS (pH7.4), 0.2% BSA, 50% Glycerol. Preservative: 0.05% Sodium Azide.
Form :
Liquid
Storage Instruction :
Shipped at 4℃. Store at +4℃ short term (1-2 weeks). It is recommended to aliquot into single-use upon delivery. Store at -20℃ long term.
Purity :
Immunogen affinity purified.
Product type :
Rabbit polyclonal Antibody
Positive control :
Mouse brain tissue, mouse skeletal muscle tissue, rat brain tissue, human liver tissue, human prostate tissue.
Molecular wt :
41 kDa
Subcellular location :
Cytoplasm
Concentration :
1 mg/mL.
Recommended dilutions :
WB: 1:500-1:1,000
;IHC-P: 1:50-1:100
;FC: 1:50-1:100
Pic img4 :
https://storage.huabio.cn/huabio/productImg/ER1802-94_4.jpg
Pic legend4 :
Immunohistochemical analysis of paraffin-embedded human prostate tissue using anti-NDRG2 antibody. Counter stained with hematoxylin.
Pic img5 :
https://storage.huabio.cn/huabio/productImg/ER1802-94_5.jpg
Pic legend5 :
Immunohistochemical analysis of paraffin-embedded mouse brain tissue using anti-NDRG2 antibody. Counter stained with hematoxylin.
Pic img6 :
https://storage.huabio.cn/huabio/productImg/ER1802-94_6.jpg
Pic legend6 :
Flow cytometric analysis of HepG2 cells with NDRG2 antibody at 1/100 dilution (purple) compared with an unlabelled control (cells without incubation with primary antibody; yellow). Alexa Fluor 488-conjugated goat anti-rabbit IgG was used as the secondary antibody.
more info or order :
company information

HUABIO
Founded in 2007, HUABIO is dedicated to developing high-quality antibodies that advance innovation. We are passionate about the accuracy, efficiency, and consistency of our products. That is why we have invested in new production platforms, like recombinant rabbit monoclonals, alpaca nanobodies, and adopted aggressive QA standards to deliver cutting-edge antibodies with uncompromised quality.
We hope to see you at your next discovery!
We hope to see you at your next discovery!
browse more products
questions and comments
