product summary
Loading...
company name :
HUABIO
product type :
antibody
product name :
ATG12
catalog :
ER1802-82
quantity :
100μl
price :
330 USD
clonality :
polyclonal
host :
domestic rabbit
conjugate :
nonconjugated
reactivity :
human
application :
western blot, immunohistochemistry - paraffin section
more info or order :
image
image 1 :

Western blot analysis of Atg12 on different lysates using anti-Atg12 antibody at 1/500 dilution.
Positive control:
Lane 1: A431 cell lysate
Lane 2: Human kidney tissue lysate
Lane 3: 293T cell lysate
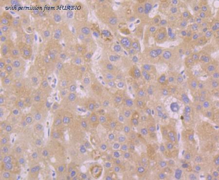
image 2 :

Immunohistochemical analysis of paraffin-embedded human liver cancer tissue using anti-Atg12 antibody. Counter stained with hematoxylin.
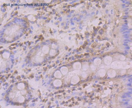
image 3 :

Immunohistochemical analysis of paraffin-embedded human colon tissue using anti-Atg12 antibody. Counter stained with hematoxylin.
product information
SKU :
ER1802-82
Target name :
ATG12
Species reactivity :
Human
Applications :
WB,IHC-P
Conjugate :
Non-conjugated
Immunogen :
Recombinant protein within human Atg12 aa 1-120.
Uniprot id :
O94817>SwissProt: O94817 Human
Host :
Rabbit
Isotype :
IgG
Size :
100μl
List Price :
330 USD
Storage Buffer :
1*PBS (pH7.4), 0.2% BSA, 50% Glycerol. Preservative: 0.05% Sodium Azide.
Form :
Liquid
Storage Instruction :
Shipped at 4℃. Store at +4℃ short term (1-2 weeks). It is recommended to aliquot into single-use upon delivery. Store at -20℃ long term.
Purity :
Immunogen affinity purified.
Product type :
Rabbit polyclonal Antibody
Positive control :
A431 cell lysate, human kidney tissue lysate, 293T cell lysate, human liver cancer tissue, human colon tissue.
Molecular wt :
Predicted band size: 15 kDa
Subcellular location :
Cytoplasm, Membrane.
Concentration :
1 mg/mL.
Recommended dilutions :
WB: 1:500-1:2,000
;IHC-P: 1:50-1:200
more info or order :
company information

HUABIO
Founded in 2007, HUABIO is dedicated to developing high-quality antibodies that advance innovation. We are passionate about the accuracy, efficiency, and consistency of our products. That is why we have invested in new production platforms, like recombinant rabbit monoclonals, alpaca nanobodies, and adopted aggressive QA standards to deliver cutting-edge antibodies with uncompromised quality.
We hope to see you at your next discovery!
We hope to see you at your next discovery!
related products
browse more products
questions and comments
