product summary
Loading...
company name :
HUABIO
product type :
antibody
product name :
GOT1
catalog :
ER1802-48
quantity :
100μl
price :
330 USD
clonality :
polyclonal
host :
domestic rabbit
conjugate :
nonconjugated
reactivity :
human
application :
western blot, flow cytometry, immunohistochemistry - paraffin section
more info or order :
image
image 1 :

Western blot analysis of GOT1 on different lysates with Rabbit anti-GOT1 antibody (ER1802-48) at 1/1,000 dilution.
Lane 1: HAP1-parental cell lysate
Lane 2: HAP1-GOT1 KD cell lysate
Lysates/proteins at 10 µg/Lane.
Predicted band size: 43 kDa
Observed band size: 43 kDa
Exposure time: 2 seconds; ECL: K1801;
4-20% SDS-PAGE gel.
Proteins were transferred to a PVDF membrane and blocked with 5% NFDM/TBST for 1 hour at room temperature. The primary antibody (ER1802-48) at 1/1,000 dilution was used in K1803 at 4℃ overnight. Goat Anti-Rabbit IgG - HRP Secondary Antibody (HA1001) at 1/50,000 dilution was used for 1 hour at room temperature.
image 2 :

Western blot analysis of GOT1 on K562 cell lysate using anti-GOT1 antibody at 1/500 dilution.
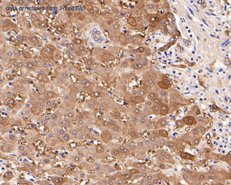
image 3 :

Immunohistochemical analysis of paraffin-embedded human liver tissue using anti-GOT1 antibody. Counter stained with hematoxylin.
product information
SKU :
ER1802-48
Target name :
GOT1
Species reactivity :
Human
Applications :
WB,IHC-P,FC
Conjugate :
Non-conjugated
Immunogen :
Recombinant protein within N-terminal Human GOT1.
Uniprot id :
P17174>SwissProt: P17174 Human
Host :
Rabbit
Isotype :
IgG
Size :
100μl
List Price :
330 USD
Storage Buffer :
1*PBS (pH7.4), 0.2% BSA, 50% Glycerol. Preservative: 0.05% Sodium Azide.
Form :
Liquid
Storage Instruction :
Shipped at 4℃. Store at +4℃ short term (1-2 weeks). It is recommended to aliquot into single-use upon delivery. Store at -20℃ long term.
Purity :
Immunogen affinity purified.
Product type :
Rabbit polyclonal Antibody
Positive control :
K562, human liver tissue, human colon tissue, human heart tissue.
Molecular wt :
Predicted band size: 46 kDa
Subcellular location :
Cytoplasm
Concentration :
1 mg/mL.
Recommended dilutions :
WB: 1:500
;IHC-P: 1:50-1:200
;FC: 1:50-1:100
Advanced Validation :
Knockdown (KD)
Pic img4 :
https://storage.huabio.cn/huabio/productImg/ER1802-48_4.png
Pic legend4 :
Immunohistochemical analysis of paraffin-embedded human colon tissue using anti-GOT1 antibody. Counter stained with hematoxylin.
Pic img5 :
https://storage.huabio.cn/huabio/productImg/ER1802-48_5.jpg
Pic legend5 :
Immunohistochemical analysis of paraffin-embedded human heart tissue using anti-GOT1 antibody. Counter stained with hematoxylin.
Pic img6 :
https://storage.huabio.cn/huabio/productImg/ER1802-48_6.jpg
Pic legend6 :
Flow cytometric analysis of HepG2 cells with GOT1 antibody at 1/100 dilution (red) compared with an unlabelled control (cells without incubation with primary antibody; black). Alexa Fluor 488-conjugated goat anti-rabbit IgG was used as the secondary antibody.
more info or order :
company information

HUABIO
Founded in 2007, HUABIO is dedicated to developing high-quality antibodies that advance innovation. We are passionate about the accuracy, efficiency, and consistency of our products. That is why we have invested in new production platforms, like recombinant rabbit monoclonals, alpaca nanobodies, and adopted aggressive QA standards to deliver cutting-edge antibodies with uncompromised quality.
We hope to see you at your next discovery!
We hope to see you at your next discovery!
related products
browse more products
questions and comments
