product summary
Loading...
company name :
HUABIO
product type :
antibody
product name :
Iba1
catalog :
ER1802-20
quantity :
100μl
price :
330 USD
clonality :
polyclonal
host :
domestic rabbit
conjugate :
nonconjugated
reactivity :
human, mouse
application :
immunohistochemistry - paraffin section
more info or order :
image
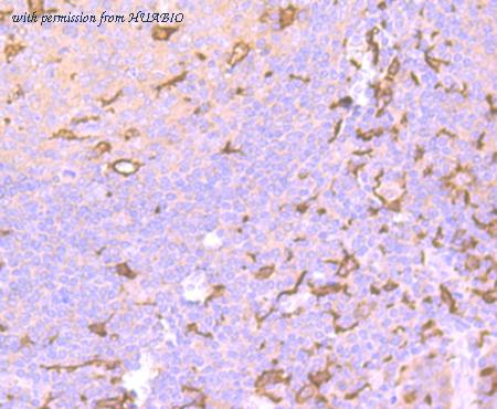
image 1 :

Immunohistochemical analysis of paraffin-embedded human tonsil tissue using anti-Iba1 antibody. Counter stained with hematoxylin.
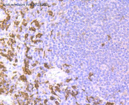
image 2 :

Immunohistochemical analysis of paraffin-embedded human spleen tissue using anti-Iba1 antibody. Counter stained with hematoxylin.
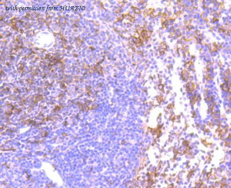
image 3 :

Immunohistochemical analysis of paraffin-embedded mouse spleen tissue using anti-Iba1 antibody. Counter stained with hematoxylin.
product information
SKU :
ER1802-20
Target name :
Iba1
Species reactivity :
Human,Mouse
Applications :
IHC-P
Conjugate :
Non-conjugated
Immunogen :
Synthetic peptide within C-terminal human Iba1.
Uniprot id :
P55008>SwissProt: P55008 Human;SwissProt: O70200 Mouse
Host :
Rabbit
Isotype :
IgG
Size :
100μl
List Price :
330 USD
Storage Buffer :
1*PBS (pH7.4), 0.2% BSA, 50% Glycerol. Preservative: 0.05% Sodium Azide.
Form :
Liquid
Storage Instruction :
Shipped at 4℃. Store at +4℃ short term (1-2 weeks). It is recommended to aliquot into single-use upon delivery. Store at -20℃ long term.
Purity :
Immunogen affinity purified.
Product type :
Rabbit polyclonal Antibody
Positive control :
Human tonsil tissue, human spleen tissue, mouse spleen tissue.
Molecular wt :
17/10/15 kDa
Subcellular location :
Plasma membrane. Cytoskeleton.
Concentration :
1 mg/mL.
Recommended dilutions :
IHC-P: 1:50-1:200
more info or order :
company information

HUABIO
Founded in 2007, HUABIO is dedicated to developing high-quality antibodies that advance innovation. We are passionate about the accuracy, efficiency, and consistency of our products. That is why we have invested in new production platforms, like recombinant rabbit monoclonals, alpaca nanobodies, and adopted aggressive QA standards to deliver cutting-edge antibodies with uncompromised quality.
We hope to see you at your next discovery!
We hope to see you at your next discovery!
related products
browse more products
questions and comments
