product summary
Loading...
company name :
HUABIO
product type :
antibody
product name :
Osteopontin
catalog :
ER1802-15
quantity :
100μl
price :
330 USD
clonality :
polyclonal
host :
domestic rabbit
conjugate :
nonconjugated
reactivity :
human, mouse
application :
ELISA, immunohistochemistry - paraffin section
more info or order :
image
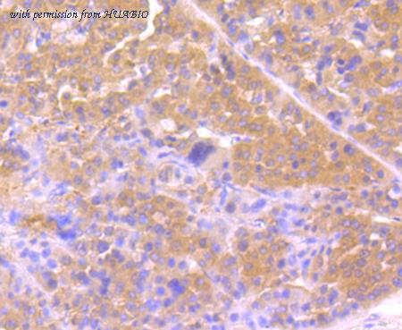
image 1 :

Immunohistochemical analysis of paraffin-embedded human liver cancer tissue using anti-Osteopontin antibody. Counter stained with hematoxylin.
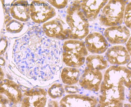
image 2 :

Immunohistochemical analysis of paraffin-embedded human kidney tissue using anti-Osteopontin antibody. Counter stained with hematoxylin.
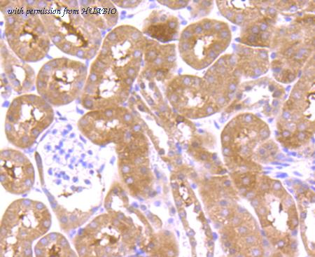
image 3 :

Immunohistochemical analysis of paraffin-embedded mouse kidney tissue using anti-Osteopontin antibody. Counter stained with hematoxylin.
product information
SKU :
ER1802-15
Target name :
Osteopontin
Species reactivity :
Human,Mouse
Applications :
IHC-P,ELISA
Conjugate :
Non-conjugated
Immunogen :
Synthetic peptide within mouse Osteopontin aa 100-180.
Uniprot id :
P10451>SwissProt: P10451 Human;SwissProt: P10923 Mouse
Host :
Rabbit
Isotype :
IgG
Size :
100μl
List Price :
330 USD
Storage Buffer :
1*PBS (pH7.4), 0.2% BSA, 50% Glycerol. Preservative: 0.05% Sodium Azide.
Form :
Liquid
Storage Instruction :
Shipped at 4℃. Store at +4℃ short term (1-2 weeks). It is recommended to aliquot into single-use upon delivery. Store at -20℃ long term.
Purity :
Immunogen affinity purified.
Product type :
Rabbit polyclonal Antibody
Positive control :
Human liver cancer tissue, human kidney tissue, mouse kidney tissue.
Molecular wt :
Predicted band size: 35 kDa
Subcellular location :
Secreted.
Concentration :
1 mg/mL.
Recommended dilutions :
IHC-P: 1:50-1:200
;ELISA: 1:5,000-1:10,000
more info or order :
company information

HUABIO
Founded in 2007, HUABIO is dedicated to developing high-quality antibodies that advance innovation. We are passionate about the accuracy, efficiency, and consistency of our products. That is why we have invested in new production platforms, like recombinant rabbit monoclonals, alpaca nanobodies, and adopted aggressive QA standards to deliver cutting-edge antibodies with uncompromised quality.
We hope to see you at your next discovery!
We hope to see you at your next discovery!
related products
browse more products
questions and comments
