product summary
Loading...
company name :
HUABIO
product type :
antibody
product name :
LSD1
catalog :
ER1802-12
quantity :
100μl
price :
330 USD
clonality :
polyclonal
host :
domestic rabbit
conjugate :
nonconjugated
reactivity :
human, mouse, rat
application :
western blot, flow cytometry, immunohistochemistry - paraffin section
more info or order :
image
image 1 :

Western blot analysis of LSD1 on different lysates with Rabbit anti-LSD1 antibody (ER1802-12) at 1/1,000 dilution.
Lane 1: PC-12 cell lysate
Lane 2: SiHa cell lysate
Lysates/proteins at 20 µg/Lane.
Predicted band size: 93 kDa
Observed band size: 100/80 kDa
Exposure time: 1 minute 30 seconds;
4-20% SDS-PAGE gel.
Proteins were transferred to a PVDF membrane and blocked with 5% NFDM/TBST for 1 hour at room temperature. The primary antibody (ER1802-12) at 1/1,000 dilution was used in 5% NFDM/TBST at room temperature for 2 hours. Goat Anti-Rabbit IgG - HRP Secondary Antibody (HA1001) at 1:200,000 dilution was used for 1 hour at room temperature.
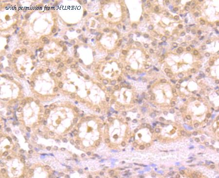
image 2 :

Immunohistochemical analysis of paraffin-embedded rat kidney tissue using anti-LSD1 antibody. Counter stained with hematoxylin.
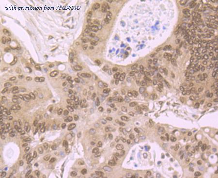
image 3 :

Immunohistochemical analysis of paraffin-embedded human colon cancer tissue using anti-LSD1 antibody. Counter stained with hematoxylin.
product information
SKU :
ER1802-12
Target name :
LSD1
Species reactivity :
Human,Mouse,Rat
Applications :
WB,IF-Cell,IHC-P,FC
Conjugate :
Non-conjugated
Immunogen :
Synthetic peptide within C-terminal human LSD1.
Uniprot id :
O60341>SwissProt: O60341 Human;SwissProt: Q6ZQ88 Mouse
Host :
Rabbit
Isotype :
IgG
Size :
100μl
List Price :
330 USD
Storage Buffer :
1*PBS (pH7.4), 0.2% BSA, 50% Glycerol. Preservative: 0.05% Sodium Azide.
Form :
Liquid
Storage Instruction :
Shipped at 4℃. Store at +4℃ short term (1-2 weeks). It is recommended to aliquot into single-use upon delivery. Store at -20℃ long term.
Purity :
Immunogen affinity purified.
Product type :
Rabbit polyclonal Antibody
Positive control :
PC-12 cell lysates, SiHa cell lysates, A431, HepG2, SH-SY-5Y, rat kidney tissue, human colon cancer tissue, human spleen tissue, human kidney tissue, mouse cerebellum tissue, K562.
Molecular wt :
Predicted band size: 93 kDa
Subcellular location :
Nucleus.
Concentration :
1 mg/mL.
Recommended dilutions :
WB: 1:500-1,000
;IF-Cell: 1:500-1:2,000
;IHC-P: 1:50-1:200
;FC: 1:50-1:100
Pic img4 :
https://storage.huabio.cn/huabio/productImg/ER1802-12_4.jpg
Pic legend4 :
Immunohistochemical analysis of paraffin-embedded human spleen tissue using anti-LSD1 antibody. Counter stained with hematoxylin.
Pic img5 :
https://storage.huabio.cn/huabio/productImg/ER1802-12_5.jpg
Pic legend5 :
Immunohistochemical analysis of paraffin-embedded human kidney tissue using anti-LSD1 antibody. Counter stained with hematoxylin.
Pic img6 :
https://storage.huabio.cn/huabio/productImg/ER1802-12_6.jpg
Pic legend6 :
Immunohistochemical analysis of paraffin-embedded mouse cerebellum tissue using anti-LSD1 antibody. Counter stained with hematoxylin.
Pic img7 :
https://storage.huabio.cn/huabio/productImg/ER1802-12_7.jpg
Pic legend7 :
ICC staining LSD1 in A431 cells (green). The nuclear counter stain is DAPI (blue). Cells were fixed in paraformaldehyde, permeabilised with 0.25% Triton X100/PBS.
Pic img8 :
https://storage.huabio.cn/huabio/productImg/ER1802-12_8.jpg
Pic legend8 :
ICC staining LSD1 in HepG2 cells (green). The nuclear counter stain is DAPI (blue). Cells were fixed in paraformaldehyde, permeabilised with 0.25% Triton X100/PBS.
Pic img9 :
https://storage.huabio.cn/huabio/productImg/ER1802-12_9.jpg
Pic legend9 :
ICC staining LSD1 in SH-SY-5Y cells (green). The nuclear counter stain is DAPI (blue). Cells were fixed in paraformaldehyde, permeabilised with 0.25% Triton X100/PBS.
Pic img10 :
https://storage.huabio.cn/huabio/productImg/ER1802-12_10.jpg
Pic legend10 :
Flow cytometric analysis of K562 cells with LSD1 antibody at 1/100 dilution (red) compared with an unlabelled control (cells without incubation with primary antibody; black).
more info or order :
company information

HUABIO
Founded in 2007, HUABIO is dedicated to developing high-quality antibodies that advance innovation. We are passionate about the accuracy, efficiency, and consistency of our products. That is why we have invested in new production platforms, like recombinant rabbit monoclonals, alpaca nanobodies, and adopted aggressive QA standards to deliver cutting-edge antibodies with uncompromised quality.
We hope to see you at your next discovery!
We hope to see you at your next discovery!
related products
browse more products
questions and comments
