product summary
Loading...
company name :
HUABIO
product type :
antibody
product name :
PFAS
catalog :
ER1706-96
quantity :
100μl
price :
330 USD
clonality :
polyclonal
host :
domestic rabbit
conjugate :
nonconjugated
reactivity :
human, mouse
application :
western blot, immunohistochemistry - paraffin section
more info or order :
image
image 1 :

Western blot analysis of PFAS on different lysates with Rabbit anti-PFAS antibody (ER1706-96) at 1/1,000 dilution.
Lane 1: 293T cell lysate
Lane 2: Jurkat cell lysate
Lane 3: NIH/3T3 cell lysate
Lane 4: Hela cell lysate
Lane 5: HepG2 cell lysate
Lane 6: A549 cell lysate
Lane 7: 293 cell lysate
Lysates/proteins at 10 µg/Lane.
Predicted band size: 145 kDa
Observed band size: 145 kDa
Exposure time: 1 minute;
6% SDS-PAGE gel.
Proteins were transferred to a PVDF membrane and blocked with 5% NFDM/TBST for 1 hour at room temperature. The primary antibody (ER1706-96) at 1/1,000 dilution was used in 5% NFDM/TBST at room temperature for 2 hours. Goat Anti-Rabbit IgG - HRP Secondary Antibody (HA1001) at 1:300,000 dilution was used for 1 hour at room temperature.
image 2 :

Immunohistochemical analysis of paraffin-embedded human tonsil tissue using anti-PFAS antibody. Counter stained with hematoxylin.
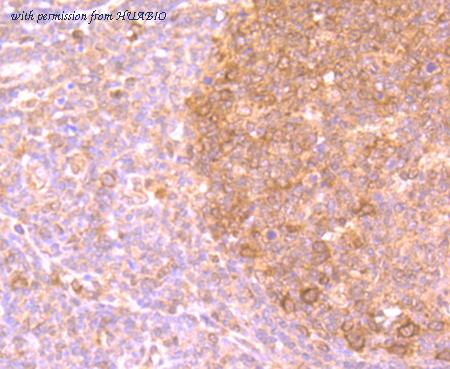
image 3 :

Immunohistochemical analysis of paraffin-embedded human spleen tissue using anti-PFAS antibody. Counter stained with hematoxylin.
product information
SKU :
ER1706-96
Target name :
PFAS
Species reactivity :
Human,Mouse
Applications :
WB,IHC-P
Conjugate :
Non-conjugated
Immunogen :
Recombinant protein within Human PURL aa 1,133-1,338 / 1,338.
Uniprot id :
O15067>SwissProt: O15067 Human;SwissProt: Q5SUR0 Mouse
Host :
Rabbit
Isotype :
IgG
Size :
100μl
List Price :
330 USD
Storage Buffer :
1*PBS (pH7.4), 0.2% BSA, 50% Glycerol. Preservative: 0.05% Sodium Azide.
Form :
Liquid
Storage Instruction :
Shipped at 4℃. Store at +4℃ short term (1-2 weeks). It is recommended to aliquot into single-use upon delivery. Store at -20℃ long term.
Purity :
Immunogen affinity purified.
Product type :
Rabbit polyclonal Antibody
Positive control :
293T cell lysate, Jurkat cell lysate, NIH/3T3 cell lysate, Hela cell lysate, HepG2 cell lysate, A549 cell lysate, 293 cell lysate, human tonsil tissue, human spleen tissue, human breast tissue, human kidney tissue.
Molecular wt :
Predicted band size: 145 kDa
Subcellular location :
Cytoplasm
Concentration :
1 mg/mL.
Recommended dilutions :
WB: 1:1,000
;IHC-P: 1:50-1:200
Pic img4 :
https://storage.huabio.cn/huabio/productImg/ER1706-96_4.jpg
Pic legend4 :
Immunohistochemical analysis of paraffin-embedded human breast tissue using anti-PFAS antibody. Counter stained with hematoxylin.
Pic img5 :
https://storage.huabio.cn/huabio/productImg/ER1706-96_5.jpg
Pic legend5 :
Immunohistochemical analysis of paraffin-embedded human kidney tissue using anti-PFAS antibody. Counter stained with hematoxylin.
more info or order :
company information

HUABIO
Founded in 2007, HUABIO is dedicated to developing high-quality antibodies that advance innovation. We are passionate about the accuracy, efficiency, and consistency of our products. That is why we have invested in new production platforms, like recombinant rabbit monoclonals, alpaca nanobodies, and adopted aggressive QA standards to deliver cutting-edge antibodies with uncompromised quality.
We hope to see you at your next discovery!
We hope to see you at your next discovery!
browse more products
questions and comments
