product summary
Loading...
company name :
HUABIO
product type :
antibody
product name :
IDO
catalog :
ER1706-94
quantity :
100μl
price :
330 USD
clonality :
polyclonal
host :
domestic rabbit
conjugate :
nonconjugated
reactivity :
human, mouse
application :
western blot, flow cytometry, immunohistochemistry - paraffin section
more info or order :
image
image 1 :

Western blot analysis of IDO on different lysates with Rabbit anti-IDO antibody (ER1706-94) at 1/5,000 dilution.
Lane 1: A549 cell lysate
Lane 2: A549 treated with 50ng/mL IFN-gamma for 24 hours cell lysate
Lysates/proteins at 20 µg/Lane.
Predicted band size: 45 kDa
Observed band size: 45 kDa
Exposure time: 20 seconds; ECL: K1801;
4-20% SDS-PAGE gel.
Proteins were transferred to a PVDF membrane and blocked with 5% NFDM/TBST for 1 hour at room temperature. The primary antibody (ER1706-94) at 1/1,000 dilution was used in 5% NFDM/TBST at 4℃ overnight. Goat Anti-Rabbit IgG - HRP Secondary Antibody (HA1001) at 1/50,000 dilution was used for 1 hour at room temperature.
image 2 :

Immunocytochemistry analysis of A549 cells untreated / treated with 50ng/mL IFN-gamma for 24 hours labeling IDO with Rabbit anti-IDO antibody (ER1706-94) at 1/2,000 dilution.
Cells were fixed in 4% paraformaldehyde for 15 minutes at room temperature, permeabilized with 0.1% Triton X-100 in PBS for 15 minutes at room temperature, then blocked with 1% BSA in 10% negative goat serum for 1 hour at room temperature. Cells were then incubated with Rabbit anti-IDO antibody (ER1706-94) at 1/2,000 dilution in 1% BSA in PBST overnight at 4 ℃. Goat Anti-Rabbit IgG H&L (iFluor™ 488, HA1121) was used as the secondary antibody at 1/1,000 dilution. PBS instead of the primary antibody was used as the secondary antibody only control. Nuclear DNA was labelled in blue with DAPI.
Beta tubulin (HA601187, red) was stained at 1/100 dilution overnight at +4℃. Goat Anti-Mouse IgG H&L (iFluor™ 594, HA1126) was used as the secondary antibody at 1/1,000 dilution.
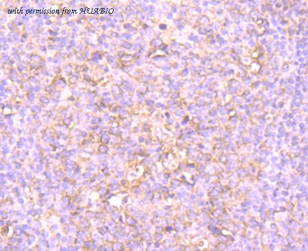
image 3 :

Immunohistochemical analysis of paraffin-embedded human tonsil tissue using anti-IDO antibody. Counter stained with hematoxylin.
product information
SKU :
ER1706-94
Target name :
IDO
Species reactivity :
Human,Mouse
Applications :
WB,IF-Cell,IHC-P,FC
Conjugate :
Non-conjugated
Immunogen :
Recombinant protein within human IDO aa 176-342.
Uniprot id :
P14902>SwissProt: P14902 Human;SwissProt: P28776 Mouse
Host :
Rabbit
Isotype :
IgG
Size :
100μl
List Price :
330 USD
Storage Buffer :
1*PBS (pH7.4), 0.2% BSA, 50% Glycerol. Preservative: 0.05% Sodium Azide.
Form :
Liquid
Storage Instruction :
Shipped at 4℃. Store at +4℃ short term (1-2 weeks). It is recommended to aliquot into single-use upon delivery. Store at -20℃ long term.
Purity :
Immunogen affinity purified.
Product type :
Rabbit polyclonal Antibody
Positive control :
A549 treated with 50ng/mL IFN-gamma for 24 hours cell lysate, A549 cells treated with 50ng/mL IFN-gamma for 24 hours, human tonsil tissue, human spleen tissue.
Molecular wt :
Predicted band size: 45 kDa
Subcellular location :
Cytoplasm
Concentration :
1 mg/mL.
Recommended dilutions :
WB: 1:5,000
;IF-Cell: 1:2,000
;IHC-P: 1:50-1:200
;FC: 1:50-1:100
Pic img4 :
https://storage.huabio.cn/huabio/productImg/ER1706-94_4.jpg
Pic legend4 :
Immunohistochemical analysis of paraffin-embedded human spleen tissue using anti-IDO antibody. Counter stained with hematoxylin.
Pic img5 :
https://storage.huabio.cn/huabio/productImg/ER1706-94_5.jpg
Pic legend5 :
Flow cytometric analysis of HUVEC cells with IDO antibody at 1/100 dilution (red) compared with an unlabelled control (cells without incubation with primary antibody; black).
more info or order :
company information

HUABIO
Founded in 2007, HUABIO is dedicated to developing high-quality antibodies that advance innovation. We are passionate about the accuracy, efficiency, and consistency of our products. That is why we have invested in new production platforms, like recombinant rabbit monoclonals, alpaca nanobodies, and adopted aggressive QA standards to deliver cutting-edge antibodies with uncompromised quality.
We hope to see you at your next discovery!
We hope to see you at your next discovery!
related products
browse more products
questions and comments
