product summary
Loading...
company name :
HUABIO
product type :
antibody
product name :
PLGF
catalog :
ER1706-88
quantity :
100μl
price :
330 USD
clonality :
polyclonal
host :
domestic rabbit
conjugate :
nonconjugated
reactivity :
human, mouse
application :
flow cytometry, immunohistochemistry - paraffin section
more info or order :
image
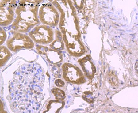
image 1 :

Immunohistochemical analysis of paraffin-embedded human kidney tissue using anti-PLGF antibody. Counter stained with hematoxylin.
image 2 :

Immunohistochemical analysis of paraffin-embedded mouse testis tissue using anti-PLGF antibody. Counter stained with hematoxylin.
image 3 :

Flow cytometric analysis of SH-SY5Y cells with PLGF antibody at 1/100 dilution (red) compared with an unlabelled control (cells without incubation with primary antibody; black). Alexa Fluor 488-conjugated goat anti rabbit IgG was used as the secondary antibody.
product information
SKU :
ER1706-88
Target name :
PLGF
Species reactivity :
Human,Mouse
Applications :
IHC-P,FC
Conjugate :
Non-conjugated
Immunogen :
Recombinant protein within Human PLGF aa 11-161 / 221.
Uniprot id :
P49763>SwissProt: P49763 Human;SwissProt: P49764 Mouse
Host :
Rabbit
Isotype :
IgG
Size :
100μl
List Price :
330 USD
Storage Buffer :
1*PBS (pH7.4), 0.2% BSA, 50% Glycerol. Preservative: 0.05% Sodium Azide.
Form :
Liquid
Storage Instruction :
Shipped at 4℃. Store at +4℃ short term (1-2 weeks). It is recommended to aliquot into single-use upon delivery. Store at -20℃ long term.
Purity :
Immunogen affinity purified.
Product type :
Rabbit polyclonal Antibody
Positive control :
Human kidney tissue, mouse testis tissue, SH-SY5Y.
Molecular wt :
Predicted band size: 25 kDa
Subcellular location :
Secreted.
Concentration :
1 mg/mL.
Recommended dilutions :
IHC-P: 1:50-1:200
;FC: 1:50-1:100
more info or order :
company information

HUABIO
Founded in 2007, HUABIO is dedicated to developing high-quality antibodies that advance innovation. We are passionate about the accuracy, efficiency, and consistency of our products. That is why we have invested in new production platforms, like recombinant rabbit monoclonals, alpaca nanobodies, and adopted aggressive QA standards to deliver cutting-edge antibodies with uncompromised quality.
We hope to see you at your next discovery!
We hope to see you at your next discovery!
related products
browse more products
questions and comments
