product summary
Loading...
company name :
HUABIO
product type :
antibody
product name :
ZBTB48
catalog :
ER1706-82
quantity :
100μl
price :
330 USD
clonality :
polyclonal
host :
domestic rabbit
conjugate :
nonconjugated
reactivity :
human, mouse, rat
application :
immunohistochemistry - paraffin section
more info or order :
image
image 1 :

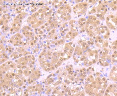
Immunohistochemical analysis of paraffin-embedded human liver cancer tissue using anti-ZBTB48 antibody. Counter stained with hematoxylin.
image 2 :

Immunohistochemical analysis of paraffin-embedded mouse kidney tissue using anti-ZBTB48 antibody. Counter stained with hematoxylin.
image 3 :

Immunohistochemical analysis of paraffin-embedded human kidney tissue using anti-ZBTB48 antibody. Counter stained with hematoxylin.
product information
SKU :
ER1706-82
Target name :
ZBTB48
Species reactivity :
Human,Mouse,Rat
Applications :
IHC-P
Conjugate :
Non-conjugated
Immunogen :
Synthetic peptide within Human ZBTB48 aa 584-633 / 688.
Uniprot id :
P10074>SwissProt: P10074 Human;SwissProt: Q1H9T6 Mouse;Entrez Gene: 362668 Rat
Host :
Rabbit
Isotype :
IgG
Size :
100μl
List Price :
330 USD
Storage Buffer :
1*PBS (pH7.4), 0.2% BSA, 50% Glycerol. Preservative: 0.05% Sodium Azide.
Form :
Liquid
Storage Instruction :
Shipped at 4℃. Store at +4℃ short term (1-2 weeks). It is recommended to aliquot into single-use upon delivery. Store at -20℃ long term.
Purity :
Immunogen affinity purified.
Product type :
Rabbit polyclonal Antibody
Positive control :
human liver cancer tissue, human kidney tissue, mouse kidney tissue, rat kidney tissue.
Molecular wt :
Predicted band size: 77 kDa
Subcellular location :
Nucleus.
Concentration :
1 mg/mL.
Recommended dilutions :
IHC-P: 1:50-1:200
Pic img4 :
https://storage.huabio.cn/huabio/productImg/ER1706-82_4.jpg
Pic legend4 :
Immunohistochemical analysis of paraffin-embedded rat kidney tissue using anti-ZBTB48 antibody. Counter stained with hematoxylin.
more info or order :
company information

HUABIO
Founded in 2007, HUABIO is dedicated to developing high-quality antibodies that advance innovation. We are passionate about the accuracy, efficiency, and consistency of our products. That is why we have invested in new production platforms, like recombinant rabbit monoclonals, alpaca nanobodies, and adopted aggressive QA standards to deliver cutting-edge antibodies with uncompromised quality.
We hope to see you at your next discovery!
We hope to see you at your next discovery!
browse more products
questions and comments
