product summary
Loading...
company name :
HUABIO
product type :
antibody
product name :
Cullin-3
catalog :
ER1706-70
quantity :
100μl
price :
330 USD
clonality :
polyclonal
host :
domestic rabbit
conjugate :
nonconjugated
reactivity :
human, mouse
application :
western blot, flow cytometry, immunohistochemistry - paraffin section
more info or order :
image
image 1 :

Western blot analysis of Cullin 3 on different lysates using anti-Cullin 3 antibody at 1/1,000 dilution.
Positive control:
Lane 1: SH-SY5Y Lane 2: 293T
Lane 3: Mouse testis tissue
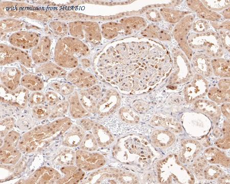
image 2 :

Immunohistochemical analysis of paraffin-embedded human kidney tissue with Rabbit anti-Cullin-3 antibody (ER1706-70) at 1/500 dilution.
The section was pre-treated using heat mediated antigen retrieval with sodium citrate buffer (pH 6.0) (high pressure) for 2 minutes. The tissues were blocked in 1% BSA for 20 minutes at room temperature, washed with ddH2O and PBS, and then probed with the primary antibody (ER1706-70) at 1/500 dilution for 1 hour at room temperature. The detection was performed using an HRP conjugated compact polymer system. DAB was used as the chromogen. Tissues were counterstained with hematoxylin and mounted with DPX.
image 3 :

Immunohistochemical analysis of paraffin-embedded human placenta tissue using anti-Cullin-3 antibody. Counter stained with hematoxylin.
product information
SKU :
ER1706-70
Target name :
Cullin-3
Species reactivity :
Human,Mouse
Applications :
WB,IHC-P,FC
Conjugate :
Non-conjugated
Immunogen :
Synthetic peptide within human Cullin-3 aa 724-768.
Uniprot id :
Q13618>SwissProt: Q13618 Human;SwissProt: Q9JLV5 Mouse
Host :
Rabbit
Isotype :
IgG
Size :
100μl
List Price :
330 USD
Storage Buffer :
1*PBS (pH7.4), 0.2% BSA, 50% Glycerol. Preservative: 0.05% Sodium Azide.
Form :
Liquid
Storage Instruction :
Shipped at 4℃. Store at +4℃ short term (1-2 weeks). It is recommended to aliquot into single-use upon delivery. Store at -20℃ long term.
Purity :
Immunogen affinity purified.
Product type :
Rabbit polyclonal Antibody
Positive control :
SH-SY5Y, 293T, mouse testis tissue lysate, human kidney tissue, human placenta tissue.
Molecular wt :
Predicted band size: 89 kDa
Subcellular location :
Golgi apparatus. Nucleus.
Concentration :
1 mg/mL.
Recommended dilutions :
WB: 1:500-1:2,000
;IHC-P: 1:50-1:500
;FC: 1:50-1:100
Pic img4 :
https://storage.huabio.cn/huabio/productImg/ER1706-70_4.jpg
Pic legend4 :
Flow cytometric analysis of SH-SY5Y cells with Cullin 3 antibody at 1/100 dilution (red) compared with an unlabelled control (cells without incubation with primary antibody; black). Alexa Fluor 488-conjugated goat anti-rabbit IgG was used as the secondary antibody.
Pic img5 :
https://storage.huabio.cn/huabio/productImg/ER1706-70_5.jpg
Pic legend5 :
Western blot analysis of Cullin-3 on mouse testis tissue lysates with Rabbit anti-Cullin-3 antibody (ER1706-70) at 1/2,000 dilution.
Lysates/proteins at 20 µg/Lane.
Predicted band size: 89 kDa
Observed band size: 80 kDa
Exposure time: 2 minutes;
8% SDS-PAGE gel.
Proteins were transferred to a PVDF membrane and blocked with 5% NFDM/TBST for 1 hour at room temperature. The primary antibody (ER1706-70) at 1/2,000 dilution was used in 5% NFDM/TBST at room temperature for 2 hours. Goat Anti-Rabbit IgG - HRP Secondary Antibody (HA1001) at 1:300,000 dilution was used for 1 hour at room temperature.
more info or order :
company information

HUABIO
Founded in 2007, HUABIO is dedicated to developing high-quality antibodies that advance innovation. We are passionate about the accuracy, efficiency, and consistency of our products. That is why we have invested in new production platforms, like recombinant rabbit monoclonals, alpaca nanobodies, and adopted aggressive QA standards to deliver cutting-edge antibodies with uncompromised quality.
We hope to see you at your next discovery!
We hope to see you at your next discovery!
browse more products
questions and comments
