product summary
Loading...
company name :
HUABIO
product type :
antibody
product name :
NLRC3
catalog :
ER1706-45
quantity :
100μl
price :
330 USD
clonality :
polyclonal
host :
domestic rabbit
conjugate :
nonconjugated
reactivity :
human, mouse
application :
western blot, flow cytometry, immunohistochemistry - paraffin section
more info or order :
image
image 1 :

Western blot analysis of NLRC3 on human thymus tissue lysates using anti-NLRC3 antibody at 1/500 dilution.
image 2 :

Immunocytochemistry analysis of Raji cells labeling NLRC3 with Rabbit anti-NLRC3 antibody (ER1706-45) at 1/200 dilution.
Cells were fixed in 4% paraformaldehyde for 15 minutes at room temperature, permeabilized with 0.1% Triton X-100 in PBS for 15 minutes at room temperature, then blocked with 1% BSA in 10% negative goat serum for 1 hour at room temperature. Cells were then incubated with Rabbit anti-NLRC3 antibody (ER1706-45) at 1/200 dilution in 1% BSA in PBST overnight at 4 ℃. Goat Anti-Rabbit IgG H&L (iFluor™ 488, HA1121) was used as the secondary antibody at 1/1,000 dilution. PBS instead of the primary antibody was used as the secondary antibody only control. Nuclear DNA was labelled in blue with DAPI.
Beta tubulin (HA601187, red) was stained at 1/100 dilution overnight at +4℃. Goat Anti-Mouse IgG H&L (iFluor™ 594, HA1126) was used as the secondary antibody at 1/1,000 dilution.
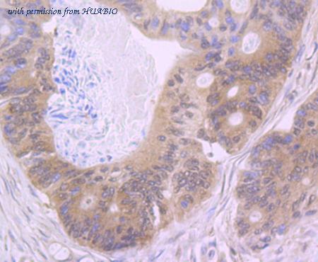
image 3 :

Immunohistochemical analysis of paraffin-embedded human colon cancer tissue using anti-NLRC3 antibody. Counter stained with hematoxylin.
product information
SKU :
ER1706-45
Target name :
NLRC3
Species reactivity :
Human,Mouse
Applications :
WB,IF-Cell,IHC-P,FC
Conjugate :
Non-conjugated
Immunogen :
Synthetic peptide within Human NLRC3 aa 1-50 / 1,065.
Uniprot id :
Q7RTR2>SwissProt: Q7RTR2 Human;SwissProt: Q5DU56 Mouse
Host :
Rabbit
Isotype :
IgG
Size :
100μl
List Price :
330 USD
Storage Buffer :
1*PBS (pH7.4), 0.2% BSA, 50% Glycerol. Preservative: 0.05% Sodium Azide.
Form :
Liquid
Storage Instruction :
Shipped at 4℃. Store at +4℃ short term (1-2 weeks). It is recommended to aliquot into single-use upon delivery. Store at -20℃ long term.
Purity :
Immunogen affinity purified.
Product type :
Rabbit polyclonal Antibody
Positive control :
Human thymus tissue lysates, Raji, human tonsil tissue, human colon cancer tissue, human spleen tissue, mouse colon tissue.
Molecular wt :
Predicted band size: 120 kDa
Subcellular location :
Cytoplasm. Cytoskeleton.
Concentration :
1 mg/mL.
Recommended dilutions :
WB: 1:500
;IF-Cell: 1:50-1:200
;IHC-P: 1:50-1:200
;FC: 1:1,000
Pic img4 :
https://storage.huabio.cn/huabio/productImg/ER1706-45_4.jpg
Pic legend4 :
Immunohistochemical analysis of paraffin-embedded human spleen tissue using anti-NLRC3 antibody. Counter stained with hematoxylin.
Pic img5 :
https://storage.huabio.cn/huabio/productImg/ER1706-45_5.jpg
Pic legend5 :
Immunohistochemical analysis of paraffin-embedded human tonsil tissue using anti-NLRC3 antibody. Counter stained with hematoxylin.
Pic img6 :
https://storage.huabio.cn/huabio/productImg/ER1706-45_6.jpg
Pic legend6 :
Immunohistochemical analysis of paraffin-embedded mouse colon tissue using anti-NLRC3 antibody. Counter stained with hematoxylin.
Pic img7 :
https://storage.huabio.cn/huabio/productImg/ER1706-45_7.jpg
Pic legend7 :
Flow cytometric analysis of Raji cells labeling NLRC3.
Cells were fixed and permeabilized. Then stained with the primary antibody (ER1706-45, 1/1,000) (red) compared with Rabbit IgG Isotype Control (green). After incubation of the primary antibody at +4℃ for an hour, the cells were stained with a iFluor™ 488 conjugate-Goat anti-Rabbit IgG Secondary antibody (HA1121) at 1/1,000 dilution for 30 minutes at +4℃. Unlabelled sample was used as a control (cells without incubation with primary antibody; black).
more info or order :
company information

HUABIO
Founded in 2007, HUABIO is dedicated to developing high-quality antibodies that advance innovation. We are passionate about the accuracy, efficiency, and consistency of our products. That is why we have invested in new production platforms, like recombinant rabbit monoclonals, alpaca nanobodies, and adopted aggressive QA standards to deliver cutting-edge antibodies with uncompromised quality.
We hope to see you at your next discovery!
We hope to see you at your next discovery!
related products
browse more products
questions and comments
