product summary
Loading...
company name :
HUABIO
product type :
antibody
product name :
NF-kB p65
catalog :
ER0815
quantity :
100μl
price :
330 USD
clonality :
polyclonal
host :
domestic rabbit
conjugate :
nonconjugated
reactivity :
human, mouse, rat, zebrafish
application :
western blot, flow cytometry, immunohistochemistry - paraffin section
more info or order :
image
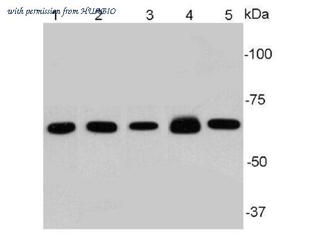
image 1 :

Western blot analysis of NF-κB p65 on different lysates using anti-NF-κB p65 antibody at 1/1,000 dilution.
Positive control:
Lane 1: Hela cell lysate
Lane 2: A549 cell lysate
Lane 3: PC12 cell lysate
Lane 4: Mouse embryonic stem cell lysate
Lane 5: NIH/3T3 cell lysate
image 2 :

Western blot analysis of NF-kB p65 on zebrafish lysates with Rabbit anti-NF-kB p65 antibody (ER0815) at 1/2,000 dilution.
Lysates at 20 µg/Lane.
Predicted band size: 60kDa
Observed band size: 70 kDa
Exposure time: 3min20s;
4-20% SDS-PAGE gel.
Proteins were transferred to a PVDF membrane and blocked with 5% NFDM/TBST for 1 hour at room temperature. The primary antibody (ER0815) at 1/2,000 dilution was used in 5% NFDM/TBST at 4℃ overnight. Goat Anti-Rabbit IgG - HRP Secondary Antibody (HA1001) at 1:50,000 dilution was used for 1 hour at room temperature.
image 3 :

Immunohistochemical analysis of paraffin-embedded human lung cancer tissue with Rabbit anti-NF-kB p65 antibody (ER0815) at 1/200 dilution.
The section was pre-treated using heat mediated antigen retrieval with sodium citrate buffer (pH 6.0) (high pressure) for 2 minutes. The tissues were blocked in 1% BSA for 20 minutes at room temperature, washed with ddH2O and PBS, and then probed with the primary antibody (ER0815) at 1/200 dilution for 1 hour at room temperature. The detection was performed using an HRP conjugated compact polymer system. DAB was used as the chromogen. Tissues were counterstained with hematoxylin and mounted with DPX.
product information
SKU :
ER0815
Target name :
NF-kB p65
Species reactivity :
Human,Mouse,Rat,Zebrafish
Applications :
WB,IHC-P,FC
Conjugate :
Non-conjugated
Immunogen :
Synthetic peptide within N-terminal human RELA.
Uniprot id :
Q04206>SwissProt: Q04206 Human;SwissProt: Q04207 Mouse;Entrez Gene: 309165 Rat
Host :
Rabbit
Isotype :
IgG
Size :
100μl
List Price :
330 USD
Storage Buffer :
1*PBS (pH7.4), 0.2% BSA, 40% Glycerol. Preservative: 0.05% Sodium Azide.
Form :
Liquid
Storage Instruction :
Shipped at 4℃. Store at +4℃ short term (1-2 weeks). It is recommended to aliquot into single-use upon delivery. Store at -20℃ long term.
Purity :
Immunogen affinity purified.
Product type :
Rabbit polyclonal Antibody
Positive control :
Hela cell lysate, A549 cell lysate, PC12 cell lysate, Mouse embryonic stem cell lysate, NIH/3T3 cell lysate, zebrafish lysates, human lung cancer tissue, human lung tissue, human spleen tissue, mouse spleen tissue, rat spleen tissue, zebrafish, Hela.
Molecular wt :
Predicted band size: 60 kDa
Subcellular location :
Nucleus, cytoplasm.
Concentration :
1 mg/mL.
Recommended dilutions :
WB: 1:1,000-1:2,000
;IHC-P: 1:200
;FC: 1:50-1:100
Pic img4 :
https://storage.huabio.cn/huabio/productImg/ER0815_4.jpg
Pic legend4 :
Immunohistochemical analysis of paraffin-embedded human lung tissue with Rabbit anti-NF-kB p65 antibody (ER0815) at 1/200 dilution.
The section was pre-treated using heat mediated antigen retrieval with sodium citrate buffer (pH 6.0) (high pressure) for 2 minutes. The tissues were blocked in 1% BSA for 20 minutes at room temperature, washed with ddH2O and PBS, and then probed with the primary antibody (ER0815) at 1/200 dilution for 1 hour at room temperature. The detection was performed using an HRP conjugated compact polymer system. DAB was used as the chromogen. Tissues were counterstained with hematoxylin and mounted with DPX.
Pic img5 :
https://storage.huabio.cn/huabio/productImg/ER0815_5.jpg
Pic legend5 :
Immunohistochemical analysis of paraffin-embedded human spleen tissue with Rabbit anti-NF-kB p65 antibody (ER0815) at 1/200 dilution.
The section was pre-treated using heat mediated antigen retrieval with sodium citrate buffer (pH 6.0) (high pressure) for 2 minutes. The tissues were blocked in 1% BSA for 20 minutes at room temperature, washed with ddH2O and PBS, and then probed with the primary antibody (ER0815) at 1/200 dilution for 1 hour at room temperature. The detection was performed using an HRP conjugated compact polymer system. DAB was used as the chromogen. Tissues were counterstained with hematoxylin and mounted with DPX.
Pic img6 :
https://storage.huabio.cn/huabio/productImg/ER0815_6.jpg
Pic legend6 :
Immunohistochemical analysis of paraffin-embedded mouse spleen tissue with Rabbit anti-NF-kB p65 antibody (ER0815) at 1/200 dilution.
The section was pre-treated using heat mediated antigen retrieval with sodium citrate buffer (pH 6.0) (high pressure) for 2 minutes. The tissues were blocked in 1% BSA for 20 minutes at room temperature, washed with ddH2O and PBS, and then probed with the primary antibody (ER0815) at 1/200 dilution for 1 hour at room temperature. The detection was performed using an HRP conjugated compact polymer system. DAB was used as the chromogen. Tissues were counterstained with hematoxylin and mounted with DPX.
Pic img7 :
https://storage.huabio.cn/huabio/productImg/ER0815_7.jpg
Pic legend7 :
Immunohistochemical analysis of paraffin-embedded rat spleen tissue with Rabbit anti-NF-kB p65 antibody (ER0815) at 1/200 dilution.
The section was pre-treated using heat mediated antigen retrieval with sodium citrate buffer (pH 6.0) (high pressure) for 2 minutes. The tissues were blocked in 1% BSA for 20 minutes at room temperature, washed with ddH2O and PBS, and then probed with the primary antibody (ER0815) at 1/200 dilution for 1 hour at room temperature. The detection was performed using an HRP conjugated compact polymer system. DAB was used as the chromogen. Tissues were counterstained with hematoxylin and mounted with DPX.
Pic img8 :
https://storage.huabio.cn/huabio/productImg/ER0815_8.png
Pic legend8 :
Immunohistochemical analysis of paraffin-embedded zebrafish with Rabbit anti-NF-kB p65 antibody (ER0815) at 1/200 dilution.
The section was pre-treated using heat mediated antigen retrieval with sodium citrate buffer (pH 6.0) (high pressure) for 2 minutes. The tissues were blocked in 1% BSA for 20 minutes at room temperature, washed with ddH2O and PBS, and then probed with the primary antibody (ER0815) at 1/200 dilution for 1 hour at room temperature. The detection was performed using an HRP conjugated compact polymer system. DAB was used as the chromogen. Tissues were counterstained with hematoxylin and mounted with DPX.
Pic img9 :
https://storage.huabio.cn/huabio/productImg/ER0815_9.jpg
Pic legend9 :
Flow cytometric analysis of Hela cells with NF-κB p65 antibody at 1/50 dilution (blue) compared with an unlabelled control (cells without incubation with primary antibody; red). Goat anti rabbit IgG (FITC) was used as the secondary antibody.
more info or order :
company information

HUABIO
Founded in 2007, HUABIO is dedicated to developing high-quality antibodies that advance innovation. We are passionate about the accuracy, efficiency, and consistency of our products. That is why we have invested in new production platforms, like recombinant rabbit monoclonals, alpaca nanobodies, and adopted aggressive QA standards to deliver cutting-edge antibodies with uncompromised quality.
We hope to see you at your next discovery!
We hope to see you at your next discovery!
related products
browse more products
questions and comments
