product summary
Loading...
company name :
HUABIO
product type :
antibody
product name :
AKT1
catalog :
EM40507
quantity :
100μl
price :
360.00 USD
clonality :
monoclonal
host :
mouse
conjugate :
nonconjugated
clone name :
D9-9-C9
reactivity :
human, mouse, rat
application :
western blot, immunohistochemistry - paraffin section
more info or order :
image
image 1 :

Western blot analysis of AKT1 on different lysates with Mouse anti-AKT1 antibody (EM40507) at 1/2,000 dilution.
Lane 1: MCF7 cell lysate
Lane 2: A549 cell lysate
Lane 3: Jurkat cell lysate
Lane 4: C2C12 cell lysate
Lane 5: L-929 cell lysate
Lane 6: C6 cell lysate
Lysates/proteins at 15 µg/Lane.
Predicted band size: 56 kDa
Observed band size: 56 kDa
Exposure time: 30 seconds;
4-20% SDS-PAGE gel.
Proteins were transferred to a PVDF membrane and blocked with 5% NFDM/TBST for 1 hour at room temperature. The primary antibody (EM40507) at 1/2,000 dilution was used in 5% NFDM/TBST at 4℃ overnight. Goat Anti-Mouse IgG - HRP Secondary Antibody (HA1006) at 1/50,000 dilution was used for 1 hour at room temperature.
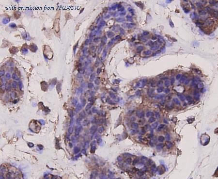
image 2 :

Immunohistochemical analysis of paraffin-embedded human breast carcinoma tissue using anti-Akt1 antibody. Counter stained with hematoxylin.
product information
SKU :
EM40507
Target name :
AKT1
Species reactivity :
Human,Mouse,Rat
Applications :
WB,IHC-P
Conjugate :
Non-conjugated
Immunogen :
Synthetic peptide within human AKT1 aa 1-80.
Uniprot id :
P31749>SwissProt: P31749 Human;SwissProt: P31750 Mouse;SwissProt: P47196 Rat
Host :
Mouse
Clone number :
D9-9-C9
Isotype :
IgG2b
Size :
100μl
List Price :
360.00 USD
Storage Buffer :
1*PBS (pH7.4), 0.2% BSA, 40% Glycerol. Preservative: 0.05% Sodium Azide.
Form :
Liquid
Storage Instruction :
Shipped at 4℃. Store at +4℃ short term (1-2 weeks). It is recommended to aliquot into single-use upon delivery. Store at -20℃ long term.
Purity :
Protein A affinity purified.
Product type :
Mouse monoclonal Antibody
Positive control :
MCF7 cell lysate, A549 cell lysate, Jurkat cell lysate, C2C12 cell lysate, L-929 cell lysate, C6 cell lysate, human breast carcinoma tissue.
Molecular wt :
Predicted band size: 56 kDa
Subcellular location :
Cytoplasm, Nucleus, Cell membrane.
Concentration :
2 mg/mL.
Recommended dilutions :
WB: 1:2,000
;IHC-P: 1:100-1:200
more info or order :
company information

HUABIO
Founded in 2007, HUABIO is dedicated to developing high-quality antibodies that advance innovation. We are passionate about the accuracy, efficiency, and consistency of our products. That is why we have invested in new production platforms, like recombinant rabbit monoclonals, alpaca nanobodies, and adopted aggressive QA standards to deliver cutting-edge antibodies with uncompromised quality.
We hope to see you at your next discovery!
We hope to see you at your next discovery!
related products
browse more products
questions and comments
