product summary
Loading...
company name :
HUABIO
product type :
antibody
product name :
PRMT5
catalog :
EM31103
quantity :
100μl
price :
360.00 USD
clonality :
monoclonal
host :
mouse
conjugate :
nonconjugated
clone name :
7-C2
reactivity :
human, mouse, rat
application :
western blot, immunohistochemistry - paraffin section
more info or order :
image
image 1 :

Western blot analysis of PRMT5 on mouse kidney lysates using anti-PRMT5 antibody at 1/500 dilution.
image 2 :

Immunohistochemical analysis of paraffin-embedded rat liver tissue using anti-PRMT5 antibody. Counter stained with hematoxylin.
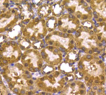
image 3 :

Immunohistochemical analysis of paraffin-embedded rat kidney tissue using anti-PRMT5 antibody. Counter stained with hematoxylin.
product information
SKU :
EM31103
Target name :
PRMT5
Species reactivity :
Human,Mouse,Rat
Applications :
WB,IHC-P
Conjugate :
Non-conjugated
Immunogen :
Synthetic peptide within Human PRMT5 aa 1-50 / 637.
Uniprot id :
O14744>SwissProt: O14744 Human
Host :
Mouse
Clone number :
7-C2
Isotype :
IgG2a
Size :
100μl
List Price :
360.00 USD
Storage Buffer :
1*PBS (pH7.4), 0.2% BSA, 40% Glycerol. Preservative: 0.05% Sodium Azide.
Form :
Liquid
Storage Instruction :
Shipped at 4℃. Store at +4℃ short term (1-2 weeks). It is recommended to aliquot into single-use upon delivery. Store at -20℃ long term.
Purity :
Protein A affinity purified.
Product type :
Mouse monoclonal Antibody
Positive control :
Human kidney tissue, human liver tissue, mouse kidney tissue, mouse liver tissue, rat kidney tissue, rat liver tissue.
Molecular wt :
Predicted band size: 73 kDa
Subcellular location :
Nucleus, cytoplasm.
Concentration :
2 mg/mL.
Recommended dilutions :
WB: 1:1,000
;IHC-P: 1:100-1:200
Pic img4 :
https://storage.huabio.cn/huabio/productImg/EM31103_4.jpg
Pic legend4 :
Immunohistochemical analysis of paraffin-embedded human liver tissue using anti-PRMT5 antibody. Counter stained with hematoxylin.
Pic img5 :
https://storage.huabio.cn/huabio/productImg/EM31103_5.jpg
Pic legend5 :
Immunohistochemical analysis of paraffin-embedded human kidney tissue using anti-PRMT5 antibody. Counter stained with hematoxylin.
Pic img6 :
https://storage.huabio.cn/huabio/productImg/EM31103_6.jpg
Pic legend6 :
Immunohistochemical analysis of paraffin-embedded mouse liver tissue using anti-PRMT5 antibody. Counter stained with hematoxylin.
Pic img7 :
https://storage.huabio.cn/huabio/productImg/EM31103_7.jpg
Pic legend7 :
Immunohistochemical analysis of paraffin-embedded mouse kidney tissue using anti-PRMT5 antibody. Counter stained with hematoxylin.
more info or order :
company information

HUABIO
Founded in 2007, HUABIO is dedicated to developing high-quality antibodies that advance innovation. We are passionate about the accuracy, efficiency, and consistency of our products. That is why we have invested in new production platforms, like recombinant rabbit monoclonals, alpaca nanobodies, and adopted aggressive QA standards to deliver cutting-edge antibodies with uncompromised quality.
We hope to see you at your next discovery!
We hope to see you at your next discovery!
related products
browse more products
questions and comments
