product summary
Loading...
company name :
HUABIO
product type :
antibody
product name :
CD68
catalog :
EM1901-93
quantity :
100μl
price :
360.00 USD
clonality :
monoclonal
host :
mouse
conjugate :
nonconjugated
clone name :
A3C2
reactivity :
human
application :
western blot, flow cytometry, immunohistochemistry - paraffin section
more info or order :
image
image 1 :

Western blot analysis of CD68 on different lysates with Mouse anti-CD68 antibody (EM1901-93) at 1/1,000 dilution.
Lane 1: A431 cell lysate
Lane 2: THP-1 cell lysate
Lane 3: U-937 cell lysate
Lane 4: Jurkat cell lysate (negative)
Lysates/proteins at 20 µg/Lane.
Predicted band size: 37 kDa
Observed band size: 100-150 kDa
Exposure time: 1 minute 4 seconds;
4-20% SDS-PAGE gel.
Proteins were transferred to a PVDF membrane and blocked with 5% NFDM/TBST for 1 hour at room temperature. The primary antibody (EM1901-93) at 1/1,000 dilution was used in 5% NFDM/TBST at 4℃ overnight. Goat Anti-Mouse IgG - HRP Secondary Antibody (HA1006) at 1/50,000 dilution was used for 1 hour at room temperature.
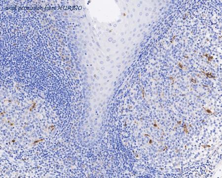
image 2 :

Immunohistochemical analysis of paraffin-embedded human tonsil tissue with Mouse anti-CD68 antibody (EM1901-93) at 1/1,000 dilution.
The section was pre-treated using heat mediated antigen retrieval with Tris-EDTA buffer (pH 9.0) for 20 minutes. The tissues were blocked in 1% BSA for 20 minutes at room temperature, washed with ddH2O and PBS, and then probed with the primary antibody (EM1901-93) at 1/1,000 dilution for 1 hour at room temperature. The detection was performed using an HRP conjugated compact polymer system. DAB was used as the chromogen. Tissues were counterstained with hematoxylin and mounted with DPX.
image 3 :

Immunohistochemical analysis of paraffin-embedded human spleen tissue using anti-CD68 antibody. The section was pre-treated using heat mediated antigen retrieval with Tris-EDTA buffer (pH 8.0-8.4) for 20 minutes.The tissues were blocked in 5% BSA for 30 minutes at room temperature, washed with ddH2O and PBS, and then probed with the primary antibody (EM1901-93, 1/200) for 30 minutes at room temperature. The detection was performed using an HRP conjugated compact polymer system. DAB was used as the chromogen. Tissues were counterstained with hematoxylin and mounted with DPX.
product information
SKU :
EM1901-93
Target name :
CD68
Species reactivity :
Human
Applications :
WB,IHC-P,FC
Conjugate :
Non-conjugated
Immunogen :
Synthetic peptide within human CD68 aa 320-354.
Uniprot id :
P34810>SwissProt: P34810 Human
Host :
Mouse
Clone number :
A3C2
Isotype :
IgG1
Size :
100μl
List Price :
360.00 USD
Storage Buffer :
1*PBS (pH7.4), 0.2% BSA, 50% Glycerol. Preservative: 0.05% Sodium Azide.
Form :
Liquid
Storage Instruction :
Shipped at 4℃. Store at +4℃ short term (1-2 weeks). It is recommended to aliquot into single-use upon delivery. Store at -20℃ long term.
Purity :
Protein G affinity purified.
Product type :
Mouse monoclonal Antibody
Positive control :
A431 cell lysate, THP-1 cell lysate, U-937 cell lysate, human tonsil tissue, human spleen tissue, human liver tissue, human hepatic carcinoma tissue, THP-1.
Molecular wt :
Predicted band size: 37 kDa.
Subcellular location :
Cell membrane. Endosome membrane, lysosome membrane.
Concentration :
2 mg/mL.
Recommended dilutions :
WB: 1:500-1:1,000
;IHC-P:1:50-1:200
;FC:1:50-1:100
Advanced Validation :
Relative expression (RE)
Pic img4 :
https://storage.huabio.cn/huabio/productImg/EM1901-93_4.jpg
Pic legend4 :
Immunohistochemical analysis of paraffin-embedded human liver tissue using anti-CD68 antibody. The section was pre-treated using heat mediated antigen retrieval with Tris-EDTA buffer (pH 8.0-8.4) for 20 minutes.The tissues were blocked in 5% BSA for 30 minutes at room temperature, washed with ddH2O and PBS, and then probed with the primary antibody (EM1901-93, 1/200) for 30 minutes at room temperature. The detection was performed using an HRP conjugated compact polymer system. DAB was used as the chromogen. Tissues were counterstained with hematoxylin and mounted with DPX.
Pic img5 :
https://storage.huabio.cn/huabio/productImg/EM1901-93_5.jpg
Pic legend5 :
Immunohistochemical analysis of paraffin-embedded human hepatic carcinoma tissue using anti-CD68 antibody. The section was pre-treated using heat mediated antigen retrieval with Tris-EDTA buffer (pH 8.0-8.4) for 20 minutes.The tissues were blocked in 5% BSA for 30 minutes at room temperature, washed with ddH2O and PBS, and then probed with the primary antibody (EM1901-93, 1/200) for 30 minutes at room temperature. The detection was performed using an HRP conjugated compact polymer system. DAB was used as the chromogen. Tissues were counterstained with hematoxylin and mounted with DPX.
Pic img6 :
https://storage.huabio.cn/huabio/productImg/EM1901-93_6.jpg
Pic legend6 :
Flow cytometric analysis of CD68 was done on THP-1 cells. The cells were fixed, permeabilized and stained with the primary antibody (EM1901-93, 1/50) (red). After incubation of the primary antibody at room temperature for an hour, the cells were stained with a Alexa Fluor 488-conjugated Goat anti-Mouse IgG Secondary antibody at 1/1000 dilution for 30 minutes.Unlabelled sample was used as a control (cells without incubation with primary antibody; black).
more info or order :
company information

HUABIO
Founded in 2007, HUABIO is dedicated to developing high-quality antibodies that advance innovation. We are passionate about the accuracy, efficiency, and consistency of our products. That is why we have invested in new production platforms, like recombinant rabbit monoclonals, alpaca nanobodies, and adopted aggressive QA standards to deliver cutting-edge antibodies with uncompromised quality.
We hope to see you at your next discovery!
We hope to see you at your next discovery!
related products
browse more products
questions and comments
