product summary
Loading...
company name :
HUABIO
product type :
antibody
product name :
CAPZA1
catalog :
EM1901-82
quantity :
100μl
price :
360.00 USD
clonality :
monoclonal
host :
mouse
conjugate :
nonconjugated
clone name :
A2E7
reactivity :
human, mouse, rat
application :
western blot, immunohistochemistry - paraffin section
more info or order :
image
image 1 :

Western blot analysis of CAPZA1 on different lysates with Mouse anti-CAPZA1 antibody (EM1901-82) at 1/5,000 dilution.
Lane 1: K-562 cell lysate
Lane 2: 293T cell lysate
Lane 3: Jurkat cell lysate
Lane 4: HeLa cell lysate
Lane 5: HepG2 cell lysate
Lane 6: A549 cell lysate
Lane 7: NIH/3T3 cell lysate
Lane 8: RAW264.7 cell lysate
Lane 9: C2C12 cell lysate
Lane 10: PC-12 cell lysate
Lysates/proteins at 20 µg/Lane.
Predicted band size: 33 kDa
Observed band size: 33 kDa
Exposure time: 46 seconds;
4-20% SDS-PAGE gel.
Proteins were transferred to a PVDF membrane and blocked with 5% NFDM/TBST for 1 hour at room temperature. The primary antibody (EM1901-82) at 1/5,000 dilution was used in 5% NFDM/TBST at 4℃ overnight. Goat Anti-Mouse IgG - HRP Secondary Antibody (HA1006) at 1/50,000 dilution was used for 1 hour at room temperature.
image 2 :

Immunocytochemistry analysis of HeLa cells labeling CAPZA1 with Mouse anti-CAPZA1 antibody (EM1901-82) at 1/100 dilution.
Cells were fixed in 4% paraformaldehyde for 20 minutes at room temperature, permeabilized with 0.1% Triton X-100 in PBS for 5 minutes at room temperature, then blocked with 1% BSA in 10% negative goat serum for 1 hour at room temperature. Cells were then incubated with Mouse anti-CAPZA1 antibody (EM1901-82) at 1/100 dilution in 1% BSA in PBST overnight at 4 ℃. Goat Anti-Mouse IgG H&L (iFluor™ 488, HA1125) was used as the secondary antibody at 1/1,000 dilution. PBS instead of the primary antibody was used as the secondary antibody only control. Nuclear DNA was labelled in blue with DAPI.
beta Tubulin (ET1602-4, red) was stained at 1/100 dilution overnight at +4℃. Goat Anti-Rabbit IgG H&L (iFluor™ 594, HA1122) were used as the secondary antibody at 1/1,000 dilution.
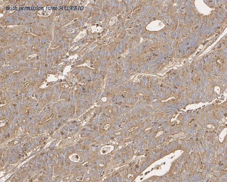
image 3 :

Immunohistochemical analysis of paraffin-embedded human colon cancer tissue with Mouse anti-CAPZA1 antibody (EM1901-82) at 1/1,000 dilution.
The section was pre-treated using heat mediated antigen retrieval with Tris-EDTA buffer (pH 9.0) for 20 minutes. The tissues were blocked in 1% BSA for 20 minutes at room temperature, washed with ddH2O and PBS, and then probed with the primary antibody (EM1901-82) at 1/1,000 dilution for 1 hour at room temperature. The detection was performed using an HRP conjugated compact polymer system. DAB was used as the chromogen. Tissues were counterstained with hematoxylin and mounted with DPX.
product information
SKU :
EM1901-82
Target name :
CAPZA1
Species reactivity :
Human,Mouse,Rat
Applications :
WB,IF-Cell,IHC-P
Conjugate :
Non-conjugated
Immunogen :
Recombinant protein within Human CAPZA1 aa 60-248 / 286.
Uniprot id :
P52907>SwissProt: P52907 Human;SwissProt: P47753 Mouse;SwissProt: B2GUZ5 Rat
Host :
Mouse
Clone number :
A2E7
Isotype :
IgG1
Size :
100μl
List Price :
360.00 USD
Storage Buffer :
1*PBS (pH7.4), 0.2% BSA, 50% Glycerol. Preservative: 0.05% Sodium Azide.
Form :
Liquid
Storage Instruction :
Shipped at 4℃. Store at +4℃ short term (1-2 weeks). It is recommended to aliquot into single-use upon delivery. Store at -20℃ long term.
Purity :
Protein G affinity purified.
Product type :
Mouse monoclonal Antibody
Positive control :
K-562 cell lysate, 293T cell lysate, Jurkat cell lysate, HeLa cell lysate, HepG2 cell lysate, A549 cell lysate, NIH/3T3 cell lysate, RAW264.7 cell lysate, C2C12 cell lysate, PC-12 cell lysate, HeLa, human colon cancer tissue.
Molecular wt :
Predicted band size: 33 kDa
Subcellular location :
Cytoskeleton
Concentration :
2 mg/mL.
Recommended dilutions :
WB: 1:5,000
;IF-Cell: 1:100
;IHC-P: 1:1,000
more info or order :
company information

HUABIO
Founded in 2007, HUABIO is dedicated to developing high-quality antibodies that advance innovation. We are passionate about the accuracy, efficiency, and consistency of our products. That is why we have invested in new production platforms, like recombinant rabbit monoclonals, alpaca nanobodies, and adopted aggressive QA standards to deliver cutting-edge antibodies with uncompromised quality.
We hope to see you at your next discovery!
We hope to see you at your next discovery!
browse more products
questions and comments
