product summary
Loading...
company name :
HUABIO
product type :
antibody
product name :
CEACAM6
catalog :
EM1901-68-50UL
quantity :
50μl
price :
205.00 USD
clonality :
monoclonal
host :
mouse
conjugate :
nonconjugated
clone name :
A1E2
reactivity :
human
application :
western blot, flow cytometry, immunohistochemistry - paraffin section
more info or order :
image
image 1 :

Western blot analysis of CEACAM6 on different lysates with Mouse anti-CEACAM6 antibody (EM1901-68) at 1/1,000 dilution.
Lane 1: SK-Br-3 cell lysate
Lane 2: A549 cell lysate
Lysates/proteins at 20 µg/Lane.
Predicted band size: 37 kDa
Observed band size: 37-250 kDa
Exposure time: 11 seconds; ECL: K1801;
4-20% SDS-PAGE gel.
Proteins were transferred to a PVDF membrane and blocked with 5% NFDM/TBST for 1 hour at room temperature. The primary antibody (EM1901-68) at 1/1,000 dilution was used in 5% NFDM/TBST at 4℃ overnight. Goat Anti-Mouse IgG - HRP Secondary Antibody (HA1006) at 1/50,000 dilution was used for 1 hour at room temperature.
image 2 :

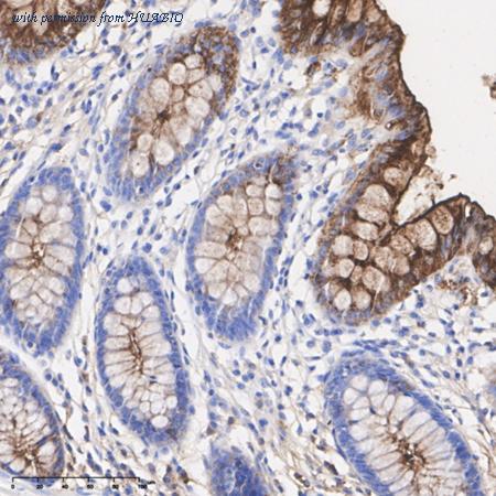
Immunohistochemical analysis of paraffin-embedded human colon tissue with Mouse anti-CEACAM6 antibody (EM1901-68) at 1/1,000 dilution.
The section was pre-treated using heat mediated antigen retrieval with Tris-EDTA buffer (pH 9.0) for 20 minutes. The tissues were blocked in 1% BSA for 20 minutes at room temperature, washed with ddH2O and PBS, and then probed with the primary antibody (EM1901-68) at 1/1,000 dilution for 1 hour at room temperature. The detection was performed using an HRP conjugated compact polymer system. DAB was used as the chromogen. Tissues were counterstained with hematoxylin and mounted with DPX.
image 3 :

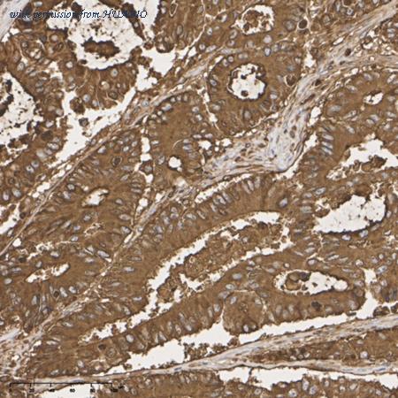
Immunohistochemical analysis of paraffin-embedded human colon cancer tissue with Mouse anti-CEACAM6 antibody (EM1901-68) at 1/1,000 dilution.
The section was pre-treated using heat mediated antigen retrieval with Tris-EDTA buffer (pH 9.0) for 20 minutes. The tissues were blocked in 1% BSA for 20 minutes at room temperature, washed with ddH2O and PBS, and then probed with the primary antibody (EM1901-68) at 1/1,000 dilution for 1 hour at room temperature. The detection was performed using an HRP conjugated compact polymer system. DAB was used as the chromogen. Tissues were counterstained with hematoxylin and mounted with DPX.
product information
SKU :
EM1901-68-50UL
Target name :
CEACAM6
Species reactivity :
Human
Applications :
WB,IF-Cell,IHC-P,FC
Conjugate :
Non-conjugated
Immunogen :
Recombinant protein within Human CEACAM6 aa 1-160 / 344.
Uniprot id :
P40199>SwissProt: P40199 Human
Host :
Mouse
Clone number :
A1E2
Isotype :
IgG2b
Size :
50μl
List Price :
205.00 USD
Storage Buffer :
1*PBS (pH7.4), 0.2% BSA, 50% Glycerol. Preservative: 0.05% Sodium Azide.
Form :
Liquid
Storage Instruction :
Shipped at 4℃. Store at +4℃ short term (1-2 weeks). It is recommended to aliquot into single-use upon delivery. Store at -20℃ long term.
Purity :
Protein A affinity purified.
Product type :
Mouse monoclonal Antibody
Positive control :
SK-Br-3 cell lysate, A549 cell lysate, human colon tissue, human colon cancer tissue, A549, HT-29, MCF-7, SW620.
Molecular wt :
Predicted band size: 37 kDa
Subcellular location :
Cell membrane, apical cell membrane, cell surface.
Concentration :
2 mg/mL.
Recommended dilutions :
WB:1:1,000-1:2,000
;IF-Cell:1:50-1:100
;IHC-P:1:50-1:400
;FC:1:50-1:100
Pic img4 :
https://storage.huabio.cn/huabio/productImg/EM1901-68_4.jpg
Pic legend4 :
ICC staining of CEACAM6 in A549 cells (green). Formalin fixed cells were permeabilized with 0.1% Triton X-100 in TBS for 10 minutes at room temperature and blocked with 1% Blocker BSA for 15 minutes at room temperature. Cells were probed with the primary antibody (EM1901-68, 1/50) for 1 hour at room temperature, washed with PBS. Alexa Fluor®488 Goat anti-Mouse IgG was used as the secondary antibody at 1/1,000 dilution. The nuclear counter stain is DAPI (blue).
Pic img5 :
https://storage.huabio.cn/huabio/productImg/EM1901-68_5.jpg
Pic legend5 :
ICC staining of CEACAM6 in HT-29 cells (green). Formalin fixed cells were permeabilized with 0.1% Triton X-100 in TBS for 10 minutes at room temperature and blocked with 1% Blocker BSA for 15 minutes at room temperature. Cells were probed with the primary antibody (EM1901-68, 1/50) for 1 hour at room temperature, washed with PBS. Alexa Fluor®488 Goat anti-Mouse IgG was used as the secondary antibody at 1/1,000 dilution. The nuclear counter stain is DAPI (blue).
Pic img6 :
https://storage.huabio.cn/huabio/productImg/EM1901-68_6.jpg
Pic legend6 :
ICC staining of CEACAM6 in MCF-7 cells (green). Formalin fixed cells were permeabilized with 0.1% Triton X-100 in TBS for 10 minutes at room temperature and blocked with 1% Blocker BSA for 15 minutes at room temperature. Cells were probed with the primary antibody (EM1901-68, 1/100) for 1 hour at room temperature, washed with PBS. Alexa Fluor®488 Goat anti-Mouse IgG was used as the secondary antibody at 1/1,000 dilution. The nuclear counter stain is DAPI (blue).
Pic img7 :
https://storage.huabio.cn/huabio/productImg/EM1901-68_7.jpg
Pic legend7 :
Flow cytometric analysis of CEACAM6 was done on SW620 cells. The cells were fixed, permeabilized and stained with the primary antibody (EM1901-68, 1/50) (red). After incubation of the primary antibody at room temperature for an hour, the cells were stained with a Alexa Fluor 488-conjugated Goat anti-Mouse IgG Secondary antibody at 1/1,000 dilution for 30 minutes.Unlabelled sample was used as a control (cells without incubation with primary antibody; black).
more info or order :
company information

HUABIO
Founded in 2007, HUABIO is dedicated to developing high-quality antibodies that advance innovation. We are passionate about the accuracy, efficiency, and consistency of our products. That is why we have invested in new production platforms, like recombinant rabbit monoclonals, alpaca nanobodies, and adopted aggressive QA standards to deliver cutting-edge antibodies with uncompromised quality.
We hope to see you at your next discovery!
We hope to see you at your next discovery!
related products
browse more products
questions and comments
