product summary
Loading...
company name :
HUABIO
product type :
antibody
product name :
MTA2
catalog :
EM1901-34
quantity :
100μl
price :
360.00 USD
clonality :
monoclonal
host :
mouse
conjugate :
nonconjugated
clone name :
17A1
reactivity :
human, mouse, rat
application :
western blot, flow cytometry, immunohistochemistry - paraffin section
more info or order :
image
image 1 :

Western blot analysis of MTA2 on different lysates with Mouse anti-MTA2 antibody (EM1901-34) at 1/3,000 dilution.
Lane 1: HeLa cell lysate
Lane 2: K-562 cell lysate
Lane 3: 293T cell lysate
Lane 4: Jurkat cell lysate
Lane 5: Raji cell lysate
Lane 6: MCF7 cell lysate
Lysates/proteins at 20 µg/Lane.
Predicted band size: 75 kDa
Observed band size: 75 kDa
Exposure time: 1 minute 40 seconds; ECL: K1802;
4-20% SDS-PAGE gel.
Proteins were transferred to a PVDF membrane and blocked with 5% NFDM/TBST for 1 hour at room temperature. The primary antibody (EM1901-34) at 1/3,000 dilution was used in 5% NFDM/TBST at 4℃ overnight. Goat Anti-Mouse IgG - HRP Secondary Antibody (HA1006) at 1/50,000 dilution was used for 1 hour at room temperature.
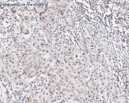
image 2 :

Immunohistochemical analysis of paraffin-embedded human breast cancer tissue with Mouse anti-MTA2 antibody (EM1901-34) at 1/3,000 dilution.
The section was pre-treated using heat mediated antigen retrieval with sodium citrate buffer (pH 6.0) (high pressure) for 2 minutes. The tissues were blocked in 1% BSA for 20 minutes at room temperature, washed with ddH2O and PBS, and then probed with the primary antibody (EM1901-34) at 1/3,000 dilution for 1 hour at room temperature. The detection was performed using an HRP conjugated compact polymer system. DAB was used as the chromogen. Tissues were counterstained with hematoxylin and mounted with DPX.
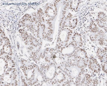
image 3 :

Immunohistochemical analysis of paraffin-embedded human colon cancer tissue with Mouse anti-MTA2 antibody (EM1901-34) at 1/3,000 dilution.
The section was pre-treated using heat mediated antigen retrieval with sodium citrate buffer (pH 6.0) (high pressure) for 2 minutes. The tissues were blocked in 1% BSA for 20 minutes at room temperature, washed with ddH2O and PBS, and then probed with the primary antibody (EM1901-34) at 1/3,000 dilution for 1 hour at room temperature. The detection was performed using an HRP conjugated compact polymer system. DAB was used as the chromogen. Tissues were counterstained with hematoxylin and mounted with DPX.
product information
SKU :
EM1901-34
Target name :
MTA2
Species reactivity :
Human,Rat,Mouse
Applications :
WB,IHC-P,FC
Conjugate :
Non-conjugated
Immunogen :
Recombinant protein within Human MTA2 aa 77-286 / 668.
Uniprot id :
O94776>SwissProt: O94776 Human;SwissProt: Q9R190 Mouse;Entrez Gene: 361724 Rat
Host :
Mouse
Clone number :
17A1
Isotype :
IgG1
Size :
100μl
List Price :
360.00 USD
Storage Buffer :
1*PBS (pH7.4), 0.2% BSA, 50% Glycerol. Preservative: 0.05% Sodium Azide.
Form :
Liquid
Storage Instruction :
Shipped at 4℃. Store at +4℃ short term (1-2 weeks). It is recommended to aliquot into single-use upon delivery. Store at -20℃ long term.
Purity :
Protein A affinity purified.
Product type :
Mouse monoclonal Antibody
Positive control :
HeLa cell lysate, K-562 cell lysate, 293T cell lysate, Jurkat cell lysate, Raji cell lysate, MCF7 cell lysate, human breast cancer tissue, human colon cancer tissue, human skin tissue, rat skin tissue, human breast tissue, human gastric carcinoma tissue, human small intestine tissue, MCF-7.
Molecular wt :
Predicted band size: 75 kDa
Subcellular location :
Nucleus.
Concentration :
2 mg/mL.
Recommended dilutions :
WB: 1:500-1:3,000
;IHC-P: 1:500-1:3,000
;FC: 1:50-1:100
Pic img4 :
https://storage.huabio.cn/huabio/productImg/EM1901-34_4.jpg
Pic legend4 :
Immunohistochemical analysis of paraffin-embedded human skin tissue with Mouse anti-MTA2 antibody (EM1901-34) at 1/600 dilution.
The section was pre-treated using heat mediated antigen retrieval with sodium citrate buffer (pH 6.0) (high pressure) for 2 minutes. The tissues were blocked in 1% BSA for 20 minutes at room temperature, washed with ddH2O and PBS, and then probed with the primary antibody (EM1901-34) at 1/600 dilution for 1 hour at room temperature. The detection was performed using an HRP conjugated compact polymer system. DAB was used as the chromogen. Tissues were counterstained with hematoxylin and mounted with DPX.
Pic img5 :
https://storage.huabio.cn/huabio/productImg/EM1901-34_5.jpg
Pic legend5 :
Immunohistochemical analysis of paraffin-embedded rat skin tissue with Mouse anti-MTA2 antibody (EM1901-34) at 1/600 dilution.
The section was pre-treated using heat mediated antigen retrieval with sodium citrate buffer (pH 6.0) (high pressure) for 2 minutes. The tissues were blocked in 1% BSA for 20 minutes at room temperature, washed with ddH2O and PBS, and then probed with the primary antibody (EM1901-34) at 1/600 dilution for 1 hour at room temperature. The detection was performed using an HRP conjugated compact polymer system. DAB was used as the chromogen. Tissues were counterstained with hematoxylin and mounted with DPX.
Pic img6 :
https://storage.huabio.cn/huabio/productImg/EM1901-34_6.jpg
Pic legend6 :
Immunohistochemical analysis of paraffin-embedded human breast tissue using anti-MTA2 antibody. The section was pre-treated using heat mediated antigen retrieval with sodium citrate buffer (pH 6.0) (high pressure) for 2 minutes. The tissues were blocked in 5% BSA for 30 minutes at room temperature, washed with ddH2O and PBS, and then probed with the primary antibody (EM1901-34, 1/500) for 30 minutes at room temperature. The detection was performed using an HRP conjugated compact polymer system. DAB was used as the chromogen. Tissues were counterstained with hematoxylin and mounted with DPX.
Pic img7 :
https://storage.huabio.cn/huabio/productImg/EM1901-34_7.jpg
Pic legend7 :
Immunohistochemical analysis of paraffin-embedded human gastric carcinoma tissue using anti-MTA2 antibody. The section was pre-treated using heat mediated antigen retrieval with sodium citrate buffer (pH 6.0) (high pressure) for 2 minutes. The tissues were blocked in 5% BSA for 30 minutes at room temperature, washed with ddH2O and PBS, and then probed with the primary antibody (EM1901-34, 1/500) for 30 minutes at room temperature. The detection was performed using an HRP conjugated compact polymer system. DAB was used as the chromogen. Tissues were counterstained with hematoxylin and mounted with DPX.
Pic img8 :
https://storage.huabio.cn/huabio/productImg/EM1901-34_8.jpg
Pic legend8 :
Immunohistochemical analysis of paraffin-embedded human small intestine tissue using anti-MTA2 antibody. The section was pre-treated using heat mediated antigen retrieval with sodium citrate buffer (pH 6.0) (high pressure) for 2 minutes. The tissues were blocked in 5% BSA for 30 minutes at room temperature, washed with ddH2O and PBS, and then probed with the primary antibody (EM1901-34, 1/500) for 30 minutes at room temperature. The detection was performed using an HRP conjugated compact polymer system. DAB was used as the chromogen. Tissues were counterstained with hematoxylin and mounted with DPX.
Pic img9 :
https://storage.huabio.cn/huabio/productImg/EM1901-34_9.jpg
Pic legend9 :
Flow cytometric analysis of MTA2 was done on MCF-7 cells. The cells were fixed, permeabilized and stained with the primary antibody (EM1901-34, 1/50) (red). After incubation of the primary antibody at room temperature for an hour, the cells were stained with a Alexa Fluor 488-conjugated Goat anti-Mouse IgG Secondary antibody at 1/1,000 dilution for 30 minutes.Unlabelled sample was used as a control (cells without incubation with primary antibody; black).
more info or order :
company information

HUABIO
Founded in 2007, HUABIO is dedicated to developing high-quality antibodies that advance innovation. We are passionate about the accuracy, efficiency, and consistency of our products. That is why we have invested in new production platforms, like recombinant rabbit monoclonals, alpaca nanobodies, and adopted aggressive QA standards to deliver cutting-edge antibodies with uncompromised quality.
We hope to see you at your next discovery!
We hope to see you at your next discovery!
related products
browse more products
questions and comments
