product summary
Loading...
company name :
HUABIO
product type :
antibody
product name :
Osteoprotegerin
catalog :
EM1701-98
quantity :
100μl
price :
360.00 USD
clonality :
monoclonal
host :
mouse
conjugate :
nonconjugated
clone name :
9C1
reactivity :
human, mouse, rat
application :
western blot, immunohistochemistry - paraffin section
more info or order :
image
image 1 :

Western blot analysis of Osteoprotegerin on different lysates with Mouse anti-Osteoprotegerin antibody (EM1701-98) at 1/2,000 dilution.
Lane 1: MG-63 cell lysate
Lane 2: Human liver tissue lysate
Lane 3: Mouse kidney tissue lysate
Lane 4: Rat heart tissue lysate
Lysates/proteins at 30 µg/Lane.
Predicted band size: 46 kDa
Observed band size: 46 kDa
Exposure time: 3 minutes;
4-20% SDS-PAGE gel.
Proteins were transferred to a PVDF membrane and blocked with 5% NFDM/TBST for 1 hour at room temperature. The primary antibody (EM1701-98) at 1/2,000 dilution was used in 5% NFDM/TBST at 4℃ overnight. Goat Anti-Mouse IgG - HRP Secondary Antibody (HA1006) at 1/50,000 dilution was used for 1 hour at room temperature.
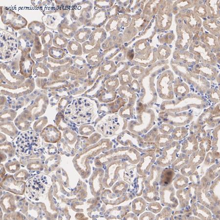
image 2 :

Immunohistochemical analysis of paraffin-embedded mouse kidney tissue with Mouse anti-Osteoprotegerin antibody (EM1701-98) at 1/1,000 dilution.
The section was pre-treated using heat mediated antigen retrieval with Tris-EDTA buffer (pH 9.0) for 20 minutes. The tissues were blocked in 1% BSA for 20 minutes at room temperature, washed with ddH2O and PBS, and then probed with the primary antibody (EM1701-98) at 1/1,000 dilution for 1 hour at room temperature. The detection was performed using an HRP conjugated compact polymer system. DAB was used as the chromogen. Tissues were counterstained with hematoxylin and mounted with DPX.
image 3 :

Immunocytochemistry analysis of 293 cells labeling Osteoprotegerin with Mouse anti-Osteoprotegerin antibody (EM1701-98) at 1/50 dilution.
Cells were fixed in 4% paraformaldehyde for 30 minutes, permeabilized with 0.1% Triton X-100 in PBS for 15 minutes, and then blocked with 2% BSA for 30 minutes at room temperature. Cells were then incubated with Mouse anti-Osteoprotegerin antibody (EM1701-98) at 1/50 dilution in 2% BSA overnight at 4 ℃. Goat Anti-Mouse IgG H&L (iFluor™ 488, HA1125) was used as the secondary antibody at 1/1,000 dilution. PBS instead of the primary antibody was used as the secondary antibody only control. Nuclear DNA was labelled in blue with DAPI.
product information
SKU :
EM1701-98
Target name :
Osteoprotegerin
Species reactivity :
Human,Mouse,Rat
Applications :
WB,IHC-P,IF-Cell
Conjugate :
Non-conjugated
Immunogen :
Recombinant protein within Human Osteoprotegerin aa 1-401 / 401.
Uniprot id :
O00300>SwissProt: O00300 Human;SwissProt: O08712 Mouse;SwissProt: O08727 Rat
Host :
Mouse
Clone number :
9C1
Isotype :
IgG1
Size :
100μl
List Price :
360.00 USD
Storage Buffer :
1*PBS (pH7.4), 0.2% BSA, 50% Glycerol. Preservative: 0.05% Sodium Azide.
Form :
Liquid
Storage Instruction :
Shipped at 4℃. Store at +4℃ short term (1-2 weeks). It is recommended to aliquot into single-use upon delivery. Store at -20℃ long term.
Purity :
Protein G affinity purified.
Product type :
Mouse monoclonal Antibody
Positive control :
MG-63 cell lysate, Human liver tissue lysate, Mouse kidney tissue lysate, Rat heart tissue lysate, mouse kidney tissue, 293.
Molecular wt :
Predicted band size: 46 kDa
Subcellular location :
Secreted.
Concentration :
2 mg/mL.
Recommended dilutions :
WB: 1:500-1:2,000
;IHC-P: 1:1,000
;IF-Cell: 1:50
more info or order :
company information

HUABIO
Founded in 2007, HUABIO is dedicated to developing high-quality antibodies that advance innovation. We are passionate about the accuracy, efficiency, and consistency of our products. That is why we have invested in new production platforms, like recombinant rabbit monoclonals, alpaca nanobodies, and adopted aggressive QA standards to deliver cutting-edge antibodies with uncompromised quality.
We hope to see you at your next discovery!
We hope to see you at your next discovery!
related products
browse more products
questions and comments
