product summary
Loading...
company name :
HUABIO
product type :
antibody
product name :
HSPA1L
catalog :
EM1701-78
quantity :
100μl
price :
360.00 USD
clonality :
monoclonal
host :
mouse
conjugate :
nonconjugated
clone name :
7D1
reactivity :
human, mouse, rat
application :
western blot, immunohistochemistry - paraffin section
more info or order :
image
image 1 :

Western blot analysis of HSPA1L on different lysates with Mouse anti-HSPA1L antibody (EM1701-78) at 1/5,000 dilution.
Lane 1: 293 cell lysate (10 µg/Lane)
Lane 2: Mouse testis tissue lysate (20 µg/Lane)
Lane 3: Rat testis tissue lysate (20 µg/Lane)
Predicted band size: 70 kDa
Observed band size: 70 kDa
Exposure time: 2 minutes;
8% SDS-PAGE gel.
Proteins were transferred to a PVDF membrane and blocked with 5% NFDM/TBST for 1 hour at room temperature. The primary antibody (EM1701-78) at 1/5,000 dilution was used in 5% NFDM/TBST at room temperature for 2 hours. Goat Anti-Mouse IgG - HRP Secondary Antibody (HA1006) at 1:100,000 dilution was used for 1 hour at room temperature.
image 2 :

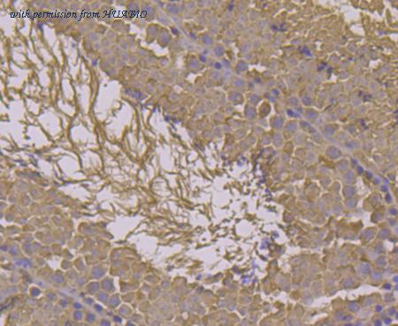
Immunohistochemical analysis of paraffin-embedded rat testis tissue using anti-HSPA1L antibody. Counter stained with hematoxylin.
image 3 :

Immunohistochemical analysis of paraffin-embedded mouse testis tissue using anti-HSPA1L antibody. Counter stained with hematoxylin.
product information
SKU :
EM1701-78
Target name :
HSPA1L
Species reactivity :
Human,Mouse,Rat
Applications :
WB,IHC-P
Conjugate :
Non-conjugated
Immunogen :
Recombinant protein with Human HSPA1L aa 335-639 / 641.
Uniprot id :
P34931>SwissProt: P34931 Human;SwissProt: P16627 Mouse;SwissProt: P55063 Rat
Host :
Mouse
Clone number :
7D1
Isotype :
IgG1
Size :
100μl
List Price :
360.00 USD
Storage Buffer :
1*PBS (pH7.4), 0.2% BSA, 50% Glycerol. Preservative: 0.05% Sodium Azide.
Form :
Liquid
Storage Instruction :
Shipped at 4℃. Store at +4℃ short term (1-2 weeks). It is recommended to aliquot into single-use upon delivery. Store at -20℃ long term.
Purity :
Immunogen affinity purified.
Product type :
Mouse monoclonal Antibody
Positive control :
293 cell lysate, mouse testis tissue lysate, rat testis tissue lysate, rat testis tissue, mouse testis tissue.
Molecular wt :
Predicted band size: 70 kDa
Subcellular location :
Cytosol. Secreted.
Concentration :
2 mg/mL.
Recommended dilutions :
WB: 1:10,000-1:50,000
;IHC-P: 1:50-1:100
more info or order :
company information

HUABIO
Founded in 2007, HUABIO is dedicated to developing high-quality antibodies that advance innovation. We are passionate about the accuracy, efficiency, and consistency of our products. That is why we have invested in new production platforms, like recombinant rabbit monoclonals, alpaca nanobodies, and adopted aggressive QA standards to deliver cutting-edge antibodies with uncompromised quality.
We hope to see you at your next discovery!
We hope to see you at your next discovery!
related products
browse more products
questions and comments
