product summary
Loading...
company name :
HUABIO
product type :
antibody
product name :
NFIB / NF1B2
catalog :
EM1701-67
quantity :
100μl
price :
360.00 USD
clonality :
monoclonal
host :
mouse
conjugate :
nonconjugated
clone name :
1H2
reactivity :
human, mouse, rat
application :
western blot, flow cytometry, immunohistochemistry - paraffin section
more info or order :
image
image 1 :

Western blot analysis of NFIB/NF1B2 on SH-SY5Y cell lysates using anti-NFIB/NF1B2 antibody at 1/1,000 dilution.
image 2 :

ICC staining NFIB/NF1B2 (green) in LO-2 cells. The nuclear counter stain is DAPI (blue). Cells were fixed in paraformaldehyde, permeabilised with 0.25% Triton X100/PBS.
image 3 :

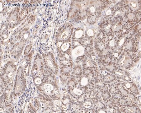
Immunohistochemical analysis of paraffin-embedded human colon carcinoma tissue with Mouse anti-NFIB / NF1B2 antibody (EM1701-67) at 1/1,000 dilution.
The section was pre-treated using heat mediated antigen retrieval with sodium citrate buffer (pH 6.0) (high pressure) for 2 minutes. The tissues were blocked in 1% BSA for 20 minutes at room temperature, washed with ddH2O and PBS, and then probed with the primary antibody (EM1701-67) at 1/1,000 dilution for 1 hour at room temperature. The detection was performed using an HRP conjugated compact polymer system. DAB was used as the chromogen. Tissues were counterstained with hematoxylin and mounted with DPX.
product information
SKU :
EM1701-67
Target name :
NFIB / NF1B2
Species reactivity :
Human,Mouse,Rat
Applications :
WB,IHC-P,IF-Cell,FC
Conjugate :
Non-conjugated
Immunogen :
Recombinant protein within Human NFIB / NF1B2 aa 1-420 / 420.
Uniprot id :
O00712>SwissProt: O00712 Human;SwissProt: P97863 Mouse;Entrez Gene: 29227 Rat
Host :
Mouse
Clone number :
1H2
Isotype :
IgG2a
Size :
100μl
List Price :
360.00 USD
Storage Buffer :
1*PBS (pH7.4), 0.2% BSA, 50% Glycerol. Preservative: 0.05% Sodium Azide.
Form :
Liquid
Storage Instruction :
Shipped at 4℃. Store at +4℃ short term (1-2 weeks). It is recommended to aliquot into single-use upon delivery. Store at -20℃ long term.
Purity :
Protein G affinity purified.
Product type :
Mouse monoclonal Antibody
Positive control :
SH-SY5Y cell lysates, LO-2, rat heart tissue, human colon carcinoma tissue, human prostate tissue, human pancreas tissue, mouse liver tissue, SH-SY-5Y, rat liver tissue, human breast tissue.
Molecular wt :
Predicted band size: 47 kDa
Subcellular location :
Nucleus.
Concentration :
2 mg/mL.
Recommended dilutions :
WB: 1:500-1:1,000
;IF-Cell: 1:50-1:200
;IHC-P: 1:50-1:1,000
;FC: 1:50-1:100
Pic img4 :
https://storage.huabio.cn/huabio/productImg/EM1701-67_4.jpg
Pic legend4 :
Immunohistochemical analysis of paraffin-embedded human breast tissue with Mouse anti-NFIB / NF1B2 antibody (EM1701-67) at 1/1,000 dilution.
The section was pre-treated using heat mediated antigen retrieval with sodium citrate buffer (pH 6.0) (high pressure) for 2 minutes. The tissues were blocked in 1% BSA for 20 minutes at room temperature, washed with ddH2O and PBS, and then probed with the primary antibody (EM1701-67) at 1/1,000 dilution for 1 hour at room temperature. The detection was performed using an HRP conjugated compact polymer system. DAB was used as the chromogen. Tissues were counterstained with hematoxylin and mounted with DPX.
Pic img5 :
https://storage.huabio.cn/huabio/productImg/EM1701-67_5.jpg
Pic legend5 :
Immunohistochemical analysis of paraffin-embedded rat liver tissue with Mouse anti-NFIB / NF1B2 antibody (EM1701-67) at 1/1,000 dilution.
The section was pre-treated using heat mediated antigen retrieval with sodium citrate buffer (pH 6.0) (high pressure) for 2 minutes. The tissues were blocked in 1% BSA for 20 minutes at room temperature, washed with ddH2O and PBS, and then probed with the primary antibody (EM1701-67) at 1/1,000 dilution for 1 hour at room temperature. The detection was performed using an HRP conjugated compact polymer system. DAB was used as the chromogen. Tissues were counterstained with hematoxylin and mounted with DPX.
Pic img6 :
https://storage.huabio.cn/huabio/productImg/EM1701-67_6.jpg
Pic legend6 :
Immunohistochemical analysis of paraffin-embedded human prostate tissue using anti-NFIB/NF1B2 antibody. Counter stained with hematoxylin.
Pic img7 :
https://storage.huabio.cn/huabio/productImg/EM1701-67_7.jpg
Pic legend7 :
Immunohistochemical analysis of paraffin-embedded human pancreas tissue using anti-NFIB/NF1B2 antibody. Counter stained with hematoxylin.
Pic img8 :
https://storage.huabio.cn/huabio/productImg/EM1701-67_8.jpg
Pic legend8 :
Immunohistochemical analysis of paraffin-embedded mouse liver tissue using anti-NFIB/NF1B2 antibody. Counter stained with hematoxylin.
Pic img9 :
https://storage.huabio.cn/huabio/productImg/EM1701-67_9.jpg
Pic legend9 :
Immunohistochemical analysis of paraffin-embedded rat heart tissue using anti-NFIB/NF1B2 antibody. Counter stained with hematoxylin.
Pic img10 :
https://storage.huabio.cn/huabio/productImg/EM1701-67_10.jpg
Pic legend10 :
Flow cytometric analysis of SH-SY-5Y cells with NFIB/NF1B2 antibody at 1/100 dilution (red) compared with an unlabelled control (cells without incubation with primary antibody; black). Alexa Fluor 488-conjugated goat anti-mouse IgG was used as the secondary antibody.
more info or order :
company information

HUABIO
Founded in 2007, HUABIO is dedicated to developing high-quality antibodies that advance innovation. We are passionate about the accuracy, efficiency, and consistency of our products. That is why we have invested in new production platforms, like recombinant rabbit monoclonals, alpaca nanobodies, and adopted aggressive QA standards to deliver cutting-edge antibodies with uncompromised quality.
We hope to see you at your next discovery!
We hope to see you at your next discovery!
related products
browse more products
questions and comments
