product summary
Loading...
company name :
HUABIO
product type :
antibody
product name :
Xanthine Oxidase
catalog :
EM1701-56
quantity :
100μl
price :
360.00 USD
clonality :
monoclonal
host :
mouse
conjugate :
nonconjugated
clone name :
1C8
reactivity :
human
application :
ELISA, flow cytometry, immunohistochemistry - paraffin section
more info or order :
image
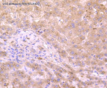
image 1 :

Immunohistochemical analysis of paraffin-embedded human liver tissue using anti-xanthine dehydrogenase antibody. Counter stained with hematoxylin.
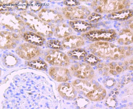
image 2 :

Immunohistochemical analysis of paraffin-embedded human kidney tissue using anti-xanthine dehydrogenase antibody. Counter stained with hematoxylin.
image 3 :

Flow cytometric analysis of LOVO cells with xanthine dehydrogenase antibody at 1/50 dilution (red) compared with an unlabelled control (cells without incubation with primary antibody; black). Alexa Fluor 488-conjugated Goat anti mouse IgG was used as the secondary antibody.
product information
SKU :
EM1701-56
Target name :
Xanthine Oxidase
Species reactivity :
Human
Applications :
IHC-P,FC,ELISA
Conjugate :
Non-conjugated
Immunogen :
Synthetic peptide within Human Xanthine Oxidase aa 1,082-1,131 / 1,333.
Uniprot id :
P47989>SwissProt: P47989 Human
Host :
Mouse
Clone number :
1C8
Isotype :
IgG1
Size :
100μl
List Price :
360.00 USD
Storage Buffer :
1*PBS (pH7.4), 0.2% BSA, 50% Glycerol. Preservative: 0.05% Sodium Azide.
Form :
Liquid
Storage Instruction :
Shipped at 4℃. Store at +4℃ short term (1-2 weeks). It is recommended to aliquot into single-use upon delivery. Store at -20℃ long term.
Purity :
Protein G affinity purified.
Product type :
Mouse monoclonal Antibody
Positive control :
Human liver tissue, human kidney tissue, LOVO.
Molecular wt :
Predicted band size: 146 kDa
Subcellular location :
Cytoplasm. Secreted. Peroxisome.
Concentration :
2 mg/mL.
Recommended dilutions :
IHC-P: 1:50-1:200
;FC: 1:50-1:100
;ELISA: 1:5,000-1:10,000
more info or order :
company information

HUABIO
Founded in 2007, HUABIO is dedicated to developing high-quality antibodies that advance innovation. We are passionate about the accuracy, efficiency, and consistency of our products. That is why we have invested in new production platforms, like recombinant rabbit monoclonals, alpaca nanobodies, and adopted aggressive QA standards to deliver cutting-edge antibodies with uncompromised quality.
We hope to see you at your next discovery!
We hope to see you at your next discovery!
related products
browse more products
questions and comments
