product summary
Loading...
company name :
HUABIO
product type :
antibody
product name :
Gp83
catalog :
EM1701-53
quantity :
100μl
price :
360.00 USD
clonality :
monoclonal
host :
mouse
conjugate :
nonconjugated
clone name :
4D1
reactivity :
human, mouse, rat
application :
western blot, immunohistochemistry - paraffin section
more info or order :
image
image 1 :

Western blot analysis of Gp83 on SH-SY-5Y cells lysates using anti-Gp83 antibody at 1/1,000 dilution.
image 2 :

ICC staining Gp83 in PC-3M cells (green). The nuclear counter stain is DAPI (blue). Cells were fixed in paraformaldehyde, permeabilised with 0.25% Triton X100/PBS.
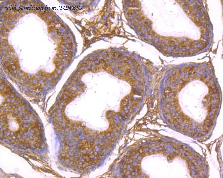
image 3 :

Immunohistochemical analysis of paraffin-embedded rat epididymis tissue using anti-Gp83 antibody. Counter stained with hematoxylin.
product information
SKU :
EM1701-53
Target name :
Gp83
Species reactivity :
Human,Mouse,Rat
Applications :
WB,IF-Cell,IHC-P
Conjugate :
Non-conjugated
Immunogen :
Recombinant protein with Human ADAM17 aa 215-315 / 824.
Uniprot id :
Q9H2U9>SwissProt: Q9H2U9 Human;SwissProt: O35227 Mouse;SwissProt: Q63180 Rat
Host :
Mouse
Clone number :
4D1
Isotype :
IgG1
Size :
100μl
List Price :
360.00 USD
Storage Buffer :
1*PBS (pH7.4), 0.2% BSA, 50% Glycerol. Preservative: 0.05% Sodium Azide.
Form :
Liquid
Storage Instruction :
Shipped at 4℃. Store at +4℃ short term (1-2 weeks). It is recommended to aliquot into single-use upon delivery. Store at -20℃ long term.
Purity :
Protein G affinity purified.
Product type :
Mouse monoclonal Antibody
Positive control :
SH-SY-5Y, PC-3M, rat epididymis tissue.
Molecular wt :
Predicted band size: 86 kDa
Subcellular location :
Membrane
Concentration :
2 mg/mL.
Recommended dilutions :
WB: 1:500-1:1,000;IF-Cell: 1:50-1:200;IHC-P: 1:50-1:200
more info or order :
company information

HUABIO
Founded in 2007, HUABIO is dedicated to developing high-quality antibodies that advance innovation. We are passionate about the accuracy, efficiency, and consistency of our products. That is why we have invested in new production platforms, like recombinant rabbit monoclonals, alpaca nanobodies, and adopted aggressive QA standards to deliver cutting-edge antibodies with uncompromised quality.
We hope to see you at your next discovery!
We hope to see you at your next discovery!
browse more products
questions and comments
