product summary
Loading...
company name :
HUABIO
product type :
antibody
product name :
PLEKHH1
catalog :
EM1701-48
quantity :
100μl
price :
360.00 USD
clonality :
monoclonal
host :
mouse
conjugate :
nonconjugated
clone name :
3-E11
reactivity :
human, mouse
application :
western blot, immunohistochemistry - paraffin section
more info or order :
image
image 1 :

Western blot analysis of PLEKHH1 on different cell lysates using anti-PLEKHH1 antibody at 1/100 dilution.
Positive control:
Lane 1: MCF-7 Lane 2: A431
Lane 3: SH-SY5Y
image 2 :

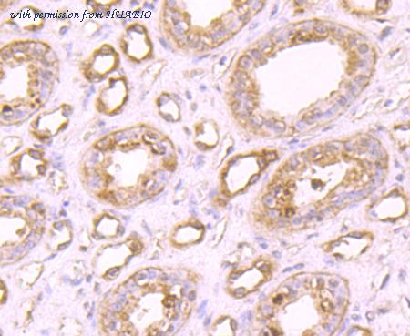
Immunohistochemical analysis of paraffin-embedded human kidney tissue using anti-PLEKHH1 antibody. Counter stained with hematoxylin.
image 3 :

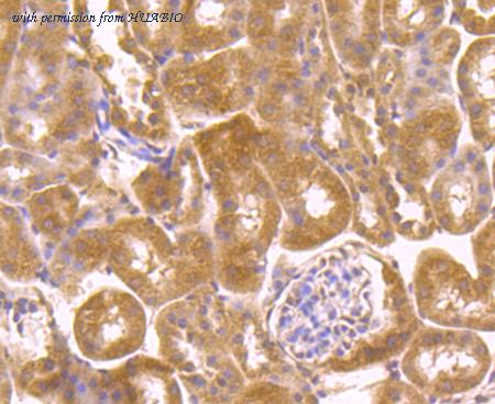
Immunohistochemical analysis of paraffin-embedded mouse kidney tissue using anti-PLEKHH1 antibody. Counter stained with hematoxylin.
product information
SKU :
EM1701-48
Target name :
PLEKHH1
Species reactivity :
Human,Mouse
Applications :
WB,IHC-P
Conjugate :
Non-conjugated
Immunogen :
Recombinant protein within Human PLEKHH1 aa 1,059-1,364 / 1,364.
Uniprot id :
Q9ULM0>SwissProt: Q9ULM0 Human;SwissProt: Q80TI1 Mouse
Host :
Mouse
Clone number :
3-E11
Isotype :
IgG2b
Size :
100μl
List Price :
360.00 USD
Storage Buffer :
1*PBS (pH7.4), 0.2% BSA, 50% Glycerol. Preservative: 0.05% Sodium Azide.
Form :
Liquid
Storage Instruction :
Shipped at 4℃. Store at +4℃ short term (1-2 weeks). It is recommended to aliquot into single-use upon delivery. Store at -20℃ long term.
Purity :
Protein G affinity purified.
Product type :
Mouse monoclonal Antibody
Positive control :
MCF-7, A431, SH-SY5Y, human kidney tissue, mouse kidney tissue.
Molecular wt :
Predicted band size: 151 kDa
Subcellular location :
Cytoskeleton
Concentration :
2 mg/mL.
Recommended dilutions :
WB: 1:500
;IHC-P: 1:50-1:200
more info or order :
company information

HUABIO
Founded in 2007, HUABIO is dedicated to developing high-quality antibodies that advance innovation. We are passionate about the accuracy, efficiency, and consistency of our products. That is why we have invested in new production platforms, like recombinant rabbit monoclonals, alpaca nanobodies, and adopted aggressive QA standards to deliver cutting-edge antibodies with uncompromised quality.
We hope to see you at your next discovery!
We hope to see you at your next discovery!
browse more products
questions and comments
