product summary
Loading...
company name :
HUABIO
product type :
antibody
product name :
GRB2
catalog :
EM1701-41
quantity :
100μl
price :
360.00 USD
clonality :
monoclonal
host :
mouse
conjugate :
nonconjugated
clone name :
11-B11
reactivity :
human, mouse, rat
application :
western blot, immunohistochemistry - paraffin section
more info or order :
image
image 1 :

Western blot analysis of GRB2 on different lysates with Mouse anti-GRB2 antibody (EM1701-41) at 1/1,000 dilution.
Lane 1: 293T cell lysate (30 µg/Lane)
Lane 2: A431 cell lysate (30 µg/Lane)
Lane 3: NIH/3T3 cell lysate (30 µg/Lane)
Lane 4: PC-12 cell lysate (30 µg/Lane)
Predicted band size: 25 kDa
Observed band size: 25 kDa
Exposure time: 3 minutes; ECL: K1801;
4-20% SDS-PAGE gel.
Proteins were transferred to a PVDF membrane and blocked with 5% NFDM/TBST for 1 hour at room temperature. The primary antibody (EM1701-41) at 1/1,000 dilution was used in 5% NFDM/TBST at 4℃ overnight. Goat Anti-Mouse IgG - HRP Secondary Antibody (HA1006) at 1/50,000 dilution was used for 1 hour at room temperature.
image 2 :

Immunohistochemical analysis of paraffin-embedded mouse testis tissue with Mouse anti-GRB2 antibody (EM1701-41) at 1/200 dilution.
The section was pre-treated using heat mediated antigen retrieval with Tris-EDTA buffer (pH 9.0) for 20 minutes. The tissues were blocked in 1% BSA for 20 minutes at room temperature, washed with ddH2O and PBS, and then probed with the primary antibody (EM1701-41) at 1/200 dilution for 1 hour at room temperature. The detection was performed using an HRP conjugated compact polymer system. DAB was used as the chromogen. Tissues were counterstained with hematoxylin and mounted with DPX.
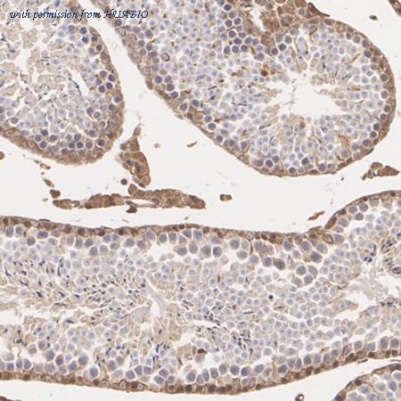
image 3 :

Immunohistochemical analysis of paraffin-embedded rat testis tissue with Mouse anti-GRB2 antibody (EM1701-41) at 1/200 dilution.
The section was pre-treated using heat mediated antigen retrieval with Tris-EDTA buffer (pH 9.0) for 20 minutes. The tissues were blocked in 1% BSA for 20 minutes at room temperature, washed with ddH2O and PBS, and then probed with the primary antibody (EM1701-41) at 1/200 dilution for 1 hour at room temperature. The detection was performed using an HRP conjugated compact polymer system. DAB was used as the chromogen. Tissues were counterstained with hematoxylin and mounted with DPX.
product information
SKU :
EM1701-41
Target name :
GRB2
Species reactivity :
Human,Mouse,Rat
Applications :
WB,IHC-P,IF-Cell
Conjugate :
Non-conjugated
Immunogen :
Recombinant protein within Human GRB2 aa 21-217 / 217.
Uniprot id :
P62993>SwissProt: P62993 Human;SwissProt: Q60631 Mouse;SwissProt: P62994 Rat
Host :
Mouse
Clone number :
11-B11
Isotype :
IgG2b
Size :
100μl
List Price :
360.00 USD
Storage Buffer :
1*PBS (pH7.4), 0.2% BSA, 50% Glycerol. Preservative: 0.05% Sodium Azide.
Form :
Liquid
Storage Instruction :
Shipped at 4℃. Store at +4℃ short term (1-2 weeks). It is recommended to aliquot into single-use upon delivery. Store at -20℃ long term.
Purity :
Protein G affinity purified.
Product type :
Mouse monoclonal Antibody
Positive control :
293T cell lysate, A431 cell lysate, NIH/3T3 cell lysate, PC-12 cell lysate, mouse testis tissue, rat testis tissue, rat brain tissue, MCF-7, HepG2.
Molecular wt :
Predicted band size: 25 kDa
Subcellular location :
Endosome, Nucleus, Golgi apparatus, Cytoplasm.
Concentration :
2 mg/mL.
Recommended dilutions :
WB: 1:1,000
;IF-Cell: 1:50-1:200
;IHC-P: 1:50-1:200
Pic img4 :
https://storage.huabio.cn/huabio/productImg/EM1701-41_4.jpg
Pic legend4 :
Immunohistochemical analysis of paraffin-embedded rat brain tissue using anti-GRB2 antibody. Counter stained with hematoxylin.
Pic img5 :
https://storage.huabio.cn/huabio/productImg/EM1701-41_5.jpg
Pic legend5 :
ICC staining GRB2 (green) in MCF-7 cells. The nuclear counter stain is DAPI (blue). Cells were fixed in paraformaldehyde, permeabilised with 0.25% Triton X100/PBS.
Pic img6 :
https://storage.huabio.cn/huabio/productImg/EM1701-41_6.jpg
Pic legend6 :
ICC staining GRB2 (green) in HepG2 cells. The nuclear counter stain is DAPI (blue). Cells were fixed in paraformaldehyde, permeabilised with 0.25% Triton X100/PBS.
more info or order :
company information

HUABIO
Founded in 2007, HUABIO is dedicated to developing high-quality antibodies that advance innovation. We are passionate about the accuracy, efficiency, and consistency of our products. That is why we have invested in new production platforms, like recombinant rabbit monoclonals, alpaca nanobodies, and adopted aggressive QA standards to deliver cutting-edge antibodies with uncompromised quality.
We hope to see you at your next discovery!
We hope to see you at your next discovery!
browse more products
questions and comments
