product summary
Loading...
company name :
HUABIO
product type :
antibody
product name :
CTHRC1
catalog :
EM1701-36
quantity :
100μl
price :
360.00 USD
clonality :
monoclonal
host :
mouse
conjugate :
nonconjugated
clone name :
5H1
reactivity :
human, mouse, rat
application :
western blot, immunohistochemistry - paraffin section
more info or order :
image
image 1 :

Western blot analysis of CTHRC1 on CTHRC1 recombinant protein using anti-CTHRC1 antibody at 1/500 dilution.
image 2 :

Immunohistochemical analysis of paraffin-embedded human kidney tissue using anti-CTHRC1 antibody. Counter stained with hematoxylin.
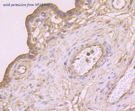
image 3 :

Immunohistochemical analysis of paraffin-embedded human placenta tissue using anti-CTHRC1 antibody. Counter stained with hematoxylin.
product information
SKU :
EM1701-36
Target name :
CTHRC1
Species reactivity :
Human,Rat,Mouse
Applications :
WB,IHC-P
Conjugate :
Non-conjugated
Immunogen :
Recombinant protein within Human CTHRC1 aa 1-243 / 243.
Uniprot id :
Q96CG8>SwissProt: Q96CG8 Human;SwissProt: Q9D1D6 Mouse;SwissProt: Q8CG08 Rat
Host :
Mouse
Clone number :
5H1
Isotype :
IgG1
Size :
100μl
List Price :
360.00 USD
Storage Buffer :
1*PBS (pH7.4), 0.2% BSA, 50% Glycerol. Preservative: 0.05% Sodium Azide.
Form :
Liquid
Storage Instruction :
Shipped at 4℃. Store at +4℃ short term (1-2 weeks). It is recommended to aliquot into single-use upon delivery. Store at -20℃ long term.
Purity :
Protein A affinity purified.
Product type :
Mouse monoclonal Antibody
Positive control :
CTHRC1 recombinant protein, rat large intestine tissue, human kidney tissue, human placenta tissue.
Molecular wt :
Predicted band size: 26 kDa
Subcellular location :
Extracellular matrix. Secreted.
Concentration :
2 mg/mL.
Recommended dilutions :
WB: 1:500-1:1,000
;IHC-P: 1:50-1:200
Pic img4 :
https://storage.huabio.cn/huabio/productImg/EM1701-36_4.jpg
Pic legend4 :
Immunohistochemical analysis of paraffin-embedded rat large intestine tissue using anti-CTHRC1 antibody. Counter stained with hematoxylin.
more info or order :
company information

HUABIO
Founded in 2007, HUABIO is dedicated to developing high-quality antibodies that advance innovation. We are passionate about the accuracy, efficiency, and consistency of our products. That is why we have invested in new production platforms, like recombinant rabbit monoclonals, alpaca nanobodies, and adopted aggressive QA standards to deliver cutting-edge antibodies with uncompromised quality.
We hope to see you at your next discovery!
We hope to see you at your next discovery!
browse more products
questions and comments
