product summary
Loading...
company name :
HUABIO
product type :
antibody
product name :
PCSK9
catalog :
EM1701-26-50UL
quantity :
50μl
price :
205.00 USD
clonality :
monoclonal
host :
mouse
conjugate :
nonconjugated
clone name :
2F1
reactivity :
human, mouse
application :
western blot, flow cytometry, immunohistochemistry - paraffin section
more info or order :
image
image 1 :

Western blot analysis of PCSK9 on different lysates with Mouse anti-PCSK9 antibody (EM1701-26) at 1/2,000 dilution.
Lane 1: HepG2 cell lysate
Lane 2: K-562 cell lysate
Lane 3: SH-SY5Y cell lysate (negative)
Lysates/proteins at 20 µg/Lane.
Predicted band size: 74 kDa
Observed band size: 62,78 kDa
Exposure time: 1 minute; ECL: K1801;
4-20% SDS-PAGE gel.
Proteins were transferred to a PVDF membrane and blocked with 5% NFDM/TBST for 1 hour at room temperature. The primary antibody (EM1701-26) at 1/2,000 dilution was used in 5% NFDM/TBST at 4℃ overnight. Goat Anti-Mouse IgG - HRP Secondary Antibody (HA1006) at 1/50,000 dilution was used for 1 hour at room temperature.
image 2 :

Immunocytochemistry analysis of HepG2 cells labeling PCSK9 with Mouse anti-PCSK9 antibody (EM1701-26) at 1/250 dilution.
Cells were fixed in 4% paraformaldehyde for 20 minutes at room temperature, permeabilized with 0.1% Triton X-100 in PBS for 5 minutes at room temperature, then blocked with 1% BSA in 10% negative goat serum for 1 hour at room temperature. Cells were then incubated with Mouse anti-PCSK9 antibody (EM1701-26) at 1/250 dilution in 1% BSA in PBST overnight at 4 ℃. Goat Anti-Mouse IgG H&L (iFluor™ 488, HA1125) was used as the secondary antibody at 1/1,000 dilution. PBS instead of the primary antibody was used as the secondary antibody only control. Nuclear DNA was labelled in blue with DAPI.
beta Tubulin (ET1602-4, red) was stained at 1/100 dilution overnight at +4℃. Goat Anti-Rabbit IgG H&L (iFluor™ 594, HA1122) was used as the secondary antibody at 1/1,000 dilution.
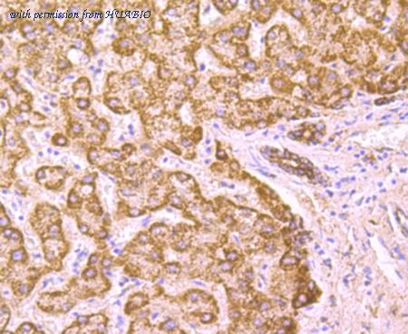
image 3 :

Immunohistochemical analysis of paraffin-embedded human liver tissue using anti-PCSK9 antibody. Counter stained with hematoxylin.
product information
SKU :
EM1701-26-50UL
Target name :
PCSK9
Species reactivity :
Human,Mouse
Applications :
WB,IHC-P,IF-Cell,FC
Conjugate :
Non-conjugated
Immunogen :
Recombinant protein with Human PCSK9 1-201 / 692.
Uniprot id :
Q8NBP7>SwissProt: Q8NBP7 Human;SwissProt: Q80W65 Mouse
Host :
Mouse
Clone number :
2F1
Isotype :
IgG2b
Size :
50μl
List Price :
205.00 USD
Storage Buffer :
1*PBS (pH7.4), 0.2% BSA, 50% Glycerol. Preservative: 0.05% Sodium Azide.
Form :
Liquid
Storage Instruction :
Shipped at 4℃. Store at +4℃ short term (1-2 weeks). It is recommended to aliquot into single-use upon delivery. Store at -20℃ long term.
Purity :
Protein A affinity purified.
Product type :
Mouse monoclonal Antibody
Positive control :
PANC-1, H22, SW1990, HepG2, human liver tissue, human colon cancer tissue, human kidney tissue, mouse kidney tissue.
Molecular wt :
Predicted band size: 74 kDa
Subcellular location :
Secreted, endoplasmic reticulum,lysosome, cytoplasm.
Concentration :
2 mg/mL.
Recommended dilutions :
WB: 1:2,000-1:5,000
;IF-Cell: 1:200-1:500
;IHC-P: 1:200-1:500
;FC: 1:500-1:1,000
Pic img4 :
https://storage.huabio.cn/huabio/productImg/EM1701-26_4.jpg
Pic legend4 :
Immunohistochemical analysis of paraffin-embedded human colon caner tissue using anti-PCSK9 antibody. Counter stained with hematoxylin.
Pic img5 :
https://storage.huabio.cn/huabio/productImg/EM1701-26_5.jpg
Pic legend5 :
Immunohistochemical analysis of paraffin-embedded human kidney tissue using anti-PCSK9 antibody. Counter stained with hematoxylin.
Pic img6 :
https://storage.huabio.cn/huabio/productImg/EM1701-26_6.jpg
Pic legend6 :
Immunohistochemical analysis of paraffin-embedded mouse kidney tissue using anti-PCSK9 antibody. Counter stained with hematoxylin.
Pic img7 :
https://storage.huabio.cn/huabio/productImg/EM1701-26_7.jpg
Pic legend7 :
Flow cytometric analysis of HepG2 cells labeling PCSK9.
Cells were fixed and permeabilized. Then stained with the primary antibody (EM1701-26, 1μg/mL) (red) compared with Mouse IgG1 Isotype Control (green). After incubation of the primary antibody at +4℃ for an hour, the cells were stained with a iFluor™ 488 conjugate-Goat anti-Mouse IgG Secondary antibody (HA1125) at 1/1,000 dilution for 30 minutes at +4℃. Unlabelled sample was used as a control (cells without incubation with primary antibody; black).
more info or order :
company information

HUABIO
Founded in 2007, HUABIO is dedicated to developing high-quality antibodies that advance innovation. We are passionate about the accuracy, efficiency, and consistency of our products. That is why we have invested in new production platforms, like recombinant rabbit monoclonals, alpaca nanobodies, and adopted aggressive QA standards to deliver cutting-edge antibodies with uncompromised quality.
We hope to see you at your next discovery!
We hope to see you at your next discovery!
related products
browse more products
questions and comments
