product summary
Loading...
company name :
HUABIO
product type :
antibody
product name :
GFAP
catalog :
EM140707
quantity :
100μl
price :
360.00 USD
clonality :
monoclonal
host :
mouse
conjugate :
nonconjugated
clone name :
1-D4
reactivity :
human, rat
application :
western blot, immunohistochemistry - paraffin section, immunohistochemistry - frozen section
more info or order :
image
image 1 :

Western blot analysis of GFAP on different lysates with Mouse anti-GFAP antibody (EM140707) at 1/5,000 dilution.
Lane 1: Human brain tissue lysate
Lane 2: Rat brain tissue lysate
Lane 3: Human cerebellum tissue lysate
Lane 4: Rat cerebellum tissue lysate
Lysates/proteins at 20 µg/Lane.
Predicted band size: 50 kDa
Observed band size: 50 kDa
Exposure time: 2 seconds; ECL: K1801;
4-20% SDS-PAGE gel.
Proteins were transferred to a PVDF membrane and blocked with 5% NFDM/TBST for 1 hour at room temperature. The primary antibody (EM140707) at 1/5,000 dilution was used in 5% NFDM/TBST at 4℃ overnight. Goat Anti-Mouse IgG - HRP Secondary Antibody (HA1006) at 1:50,000 dilution was used for 1 hour at room temperature.
image 2 :

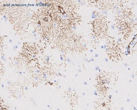
Application: IHC-Fr
Species: Rat
Site: Cerebral cortex
Sample: Frozen section
Antibody concentration: 1/1,000
Antigen retrieval: Not required
image 3 :

Immunohistochemical analysis of paraffin-embedded human brain tissue with Mouse anti-GFAP antibody (EM140707) at 1/1,000 dilution.
The section was pre-treated using heat mediated antigen retrieval with Tris-EDTA buffer (pH 9.0) for 20 minutes. The tissues were blocked in 1% BSA for 20 minutes at room temperature, washed with ddH2O and PBS, and then probed with the primary antibody (EM140707) at 1/1,000 dilution for 1 hour at room temperature. The detection was performed using an HRP conjugated compact polymer system. DAB was used as the chromogen. Tissues were counterstained with hematoxylin and mounted with DPX.
product information
SKU :
EM140707
Target name :
GFAP
Species reactivity :
Human,Rat
Applications :
WB,IHC-P,IF-Tissue,IHC-Fr
Conjugate :
Non-conjugated
Immunogen :
Synthetic peptide within C-terminal human GFAP.
Uniprot id :
P14136>SwissProt: P14136 Human;SwissProt: P47819 Rat
Host :
Mouse
Clone number :
1-D4
Isotype :
IgG1
Size :
100μl
List Price :
360.00 USD
Storage Buffer :
1*PBS (pH7.4), 0.2% BSA, 40% Glycerol. Preservative: 0.05% Sodium Azide.
Form :
Liquid
Storage Instruction :
Shipped at 4℃. Store at +4℃ short term (1-2 weeks). It is recommended to aliquot into single-use upon delivery. Store at -20℃ long term.
Purity :
Protein A affinity purified.
Product type :
Mouse monoclonal Antibody
Positive control :
Human brain tissue lysate, rat brain tissue lysate, human cerebellum tissue lysate, rat cerebellum tissue lysate, A172, N2A, rat brain tissue, rat cerebellum tissue, Hela, rat hippocampus tissue.
Molecular wt :
Predicted band size: 50 kDa
Subcellular location :
Cytoplasm
Concentration :
2 mg/mL.
Recommended dilutions :
WB: 1:5,000
;IF-Tissue: 1:500
;IHC-P: 1:500-1:1,000
;IHC-Fr: 1:1,000
Pic img4 :
https://storage.huabio.cn/huabio/productImg/EM140707_4.jpg
Pic legend4 :
Immunohistochemical analysis of paraffin-embedded rat cerebral cortex tissue with Mouse anti-GFAP antibody (EM140707) at 1/1,000 dilution.
The section was pre-treated using heat mediated antigen retrieval with Tris-EDTA buffer (pH 9.0) for 20 minutes. The tissues were blocked in 1% BSA for 20 minutes at room temperature, washed with ddH2O and PBS, and then probed with the primary antibody (EM140707) at 1/1,000 dilution for 1 hour at room temperature. The detection was performed using an HRP conjugated compact polymer system. DAB was used as the chromogen. Tissues were counterstained with hematoxylin and mounted with DPX.
Pic img5 :
https://storage.huabio.cn/huabio/productImg/EM140707_5.jpg
Pic legend5 :
Immunohistochemical analysis of paraffin-embedded rat brain tissue with Mouse anti-GFAP antibody (EM140707) at 1/600 dilution.
The section was pre-treated using heat mediated antigen retrieval with Tris-EDTA buffer (pH 9.0) for 20 minutes. The tissues were blocked in 1% BSA for 20 minutes at room temperature, washed with ddH2O and PBS, and then probed with the primary antibody (EM140707) at 1/600 dilution for 1 hour at room temperature. The detection was performed using an HRP conjugated compact polymer system. DAB was used as the chromogen. Tissues were counterstained with hematoxylin and mounted with DPX.
Pic img6 :
https://storage.huabio.cn/huabio/productImg/EM140707_6.jpg
Pic legend6 :
Immunohistochemical analysis of paraffin-embedded rat cerebellum tissue with Mouse anti-GFAP antibody (EM140707) at 1/600 dilution.
The section was pre-treated using heat mediated antigen retrieval with Tris-EDTA buffer (pH 9.0) for 20 minutes. The tissues were blocked in 1% BSA for 20 minutes at room temperature, washed with ddH2O and PBS, and then probed with the primary antibody (EM140707) at 1/600 dilution for 1 hour at room temperature. The detection was performed using an HRP conjugated compact polymer system. DAB was used as the chromogen. Tissues were counterstained with hematoxylin and mounted with DPX.
Pic img7 :
https://storage.huabio.cn/huabio/productImg/EM140707_7.jpg
Pic legend7 :
Immunofluorescence analysis of paraffin-embedded rat cerebellum tissue labeling GFAP (EM140707) and NeuN (ET1602-12).
The section was pre-treated using heat mediated antigen retrieval with Tris-EDTA buffer (pH 9.0) for 20 minutes. The tissues were blocked in 10% negative goat serum for 1 hour at room temperature, washed with PBS. And then probed with the primary antibodies GFAP (EM140707, Red) at 1/500 dilution and NeuN (ET1602-12, Green) at 1/50 dilution overnight at 4 ℃, washed with PBS.
iFluor™ 488 conjugate-Goat anti-Rabbit IgG (HA1121) and iFluor™ 594 conjugate-Goat anti-Mouse IgG (HA1126) were used as the secondary antibody at 1/1,000 dilution. DAPI was used as nuclear counterstain.
more info or order :
company information

HUABIO
Founded in 2007, HUABIO is dedicated to developing high-quality antibodies that advance innovation. We are passionate about the accuracy, efficiency, and consistency of our products. That is why we have invested in new production platforms, like recombinant rabbit monoclonals, alpaca nanobodies, and adopted aggressive QA standards to deliver cutting-edge antibodies with uncompromised quality.
We hope to see you at your next discovery!
We hope to see you at your next discovery!
related products
browse more products
questions and comments
