product summary
Loading...
company name :
HUABIO
product type :
antibody
product name :
Cytokeratin 7
catalog :
EM0702
quantity :
100μl
price :
360.00 USD
clonality :
monoclonal
host :
mouse
conjugate :
nonconjugated
clone name :
3-G3-D8
reactivity :
human
application :
western blot, immunohistochemistry - paraffin section
more info or order :
image
image 1 :

All lanes: Western blot analysis of Cytokeratin-7 with anti-Cytokeratin-7 antibody [3-G3-D8] (EM0702) at 1:1,000 dilution.
Lane 1/2: Wild-type Hela whole cell lysate.
Lane 3/4: Cytokeratin-7 fragment 1 knockout Hela whole cell lysate.
Lane 5/6: Cytokeratin-7 fragment 2 knockout Hela whole cell lysate.
EM0702 was shown to specifically react with Cytokeratin-7 in wild-type Hela cells. No band was observed when Cytokeratin-7 knockout samples were tested. Wild-type and Cytokeratin-7 knockout samples were subjected to SDS-PAGE. Proteins were transferred to a PVDF membrane and blocked with 5% NFDM in TBST for 1 hour at room temperature. The primary antibody (EM0702, 1/1,000) and Loading control antibody(Rabbit anti-Vinculin, ET1705-94, 1/5,000) was used in 5% BSA at room temperature for 2 hours. Goat Anti-Mouse IgG-HRP Secondary Antibody (HA1006) at 1:20,000 dilution was used for 1 hour at room temperature.
image 2 :

Western blot analysis of Cytokeratin 7 on different lysates with Mouse anti-Cytokeratin 7 antibody (EM0702) at 1/2,000 dilution.
Lane 1: A549 cell lysate
Lane 2: HeLa cell lysate
Lane 3: HepG2 cell lysate
Lane 4: SK-Br-3 cell lysate
Lane 5: SK-OV-3 cell lysate
Lane 6: SW1990 cell lysate
Lysates/proteins at 20 µg/Lane.
Predicted band size: 51 kDa
Observed band size: 51 kDa
Exposure time: 24 seconds;
4-20% SDS-PAGE gel.
Proteins were transferred to a PVDF membrane and blocked with 5% NFDM/TBST for 1 hour at room temperature. The primary antibody (EM0702) at 1/2,000 dilution was used in 5% NFDM/TBST at room temperature for 2 hours. Goat Anti-Mouse IgG - HRP Secondary Antibody (HA1006) at 1/50,000 dilution was used for 1 hour at room temperature.
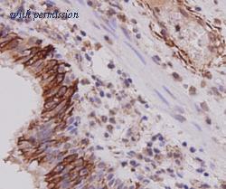
image 3 :

Immunohistochemical analysis of paraffin-embedded human lung bronchus tissue using anti-Cytokeratin 7 antibody. The section was pre-treated using heat mediated antigen retrieval with Tris-EDTA buffer (pH 8.0-8.4) for 20 minutes.The tissues were blocked in 5% BSA for 30 minutes at room temperature, washed with ddH2O and PBS, and then probed with the primary antibody (EM0702, 1/200) for 30 minutes at room temperature. The detection was performed using an HRP conjugated compact polymer system. DAB was used as the chromogen. Tissues were counterstained with hematoxylin and mounted with DPX.
product information
SKU :
EM0702
Target name :
Cytokeratin 7
Species reactivity :
Human
Applications :
WB,IHC-P,IF-Cell,IF-Tissue
Conjugate :
Non-conjugated
Immunogen :
Synthetic peptide within C-terminal human Cytokeratin 7.
Uniprot id :
P08729>SwissProt: P08729 Human
Host :
Mouse
Clone number :
3-G3-D8
Isotype :
IgG1
Size :
100μl
List Price :
360.00 USD
Storage Buffer :
1*PBS (pH7.4), 0.2% BSA, 40% Glycerol. Preservative: 0.05% Sodium Azide.
Form :
Liquid
Storage Instruction :
Shipped at 4℃. Store at +4℃ short term (1-2 weeks). It is recommended to aliquot into single-use upon delivery. Store at -20℃ long term.
Purity :
Protein A affinity purified.
Product type :
Mouse monoclonal Antibody
Positive control :
MCF-7 cell lysate, A549 cell lysate, Hela cell lysate, HepG2 cell lysate, SK-Br-3 cell lysate, SKOV-3 cell lysate, SW1990 cell lysate, human lung bronchus tissue, human breast tissue, human lung tissue, human breast carcinoma tissue, human lung carcinoma tissue.
Molecular wt :
Predicted band size: 51 kDa
Subcellular location :
Cytoplasm
Concentration :
2 mg/mL.
Recommended dilutions :
WB: 1:1,000
;IHC-P: 1:200-1:800
;IF-Cell: 1:100
;IF-Tissue: 1:1,000
Advanced Validation :
Knockout (KO)
Pic img4 :
https://storage.huabio.cn/huabio/productImg/EM0702_4.jpg
Pic legend4 :
Immunohistochemical analysis of paraffin-embedded human breast tissue with Mouse anti-Cytokeratin 7 antibody (EM0702) at 1/800 dilution.
The section was pre-treated using heat mediated antigen retrieval with Tris-EDTA buffer (pH 9.0) for 20 minutes. The tissues were blocked in 1% BSA for 20 minutes at room temperature, washed with ddH2O and PBS, and then probed with the primary antibody (EM0702) at 1/800 dilution for 1 hour at room temperature. The detection was performed using an HRP conjugated compact polymer system. DAB was used as the chromogen. Tissues were counterstained with hematoxylin and mounted with DPX.
Pic img5 :
https://storage.huabio.cn/huabio/productImg/EM0702_5.jpg
Pic legend5 :
Immunohistochemical analysis of paraffin-embedded human lung tissue using anti-Cytokeratin 7 antibody. The section was pre-treated using heat mediated antigen retrieval with Tris-EDTA buffer (pH 8.0-8.4) for 20 minutes.The tissues were blocked in 5% BSA for 30 minutes at room temperature, washed with ddH2O and PBS, and then probed with the primary antibody (EM0702, 1/200) for 30 minutes at room temperature. The detection was performed using an HRP conjugated compact polymer system. DAB was used as the chromogen. Tissues were counterstained with hematoxylin and mounted with DPX.
Pic img6 :
https://storage.huabio.cn/huabio/productImg/EM0702_6.jpg
Pic legend6 :
Immunohistochemical analysis of paraffin-embedded human breast carcinoma tissue with Mouse anti-Cytokeratin 7 antibody (EM0702) at 1/200 dilution.
The section was pre-treated using heat mediated antigen retrieval with Tris-EDTA buffer (pH 9.0) for 20 minutes. The tissues were blocked in 1% BSA for 20 minutes at room temperature, washed with ddH2O and PBS, and then probed with the primary antibody (EM0702) at 1/200 dilution for 1 hour at room temperature. The detection was performed using an HRP conjugated compact polymer system. DAB was used as the chromogen. Tissues were counterstained with hematoxylin and mounted with DPX.
Pic img7 :
https://storage.huabio.cn/huabio/productImg/EM0702_7.jpg
Pic legend7 :
Immunohistochemical analysis of paraffin-embedded human lung carcinoma tissue with Mouse anti-Cytokeratin 7 antibody (EM0702) at 1/200 dilution.
The section was pre-treated using heat mediated antigen retrieval with Tris-EDTA buffer (pH 9.0) for 20 minutes. The tissues were blocked in 1% BSA for 20 minutes at room temperature, washed with ddH2O and PBS, and then probed with the primary antibody (EM0702) at 1/200 dilution for 1 hour at room temperature. The detection was performed using an HRP conjugated compact polymer system. DAB was used as the chromogen. Tissues were counterstained with hematoxylin and mounted with DPX.
Pic img8 :
https://storage.huabio.cn/huabio/productImg/EM0702_8.jpg
Pic legend8 :
Immunohistochemical analysis of paraffin-embedded human breast tissue with Mouse anti-Cytokeratin 7 antibody (EM0702) at 1/1,000 dilution.
The section was pre-treated using heat mediated antigen retrieval with Tris-EDTA buffer (pH 9.0) for 20 minutes. The tissues were blocked in 1% BSA for 20 minutes at room temperature, washed with ddH2O and PBS, and then probed with the primary antibody (EM0702) at 1/1,000 dilution for 1 hour at room temperature. The detection was performed using an HRP conjugated compact polymer system. DAB was used as the chromogen. Tissues were counterstained with hematoxylin and mounted with DPX.
Pic img9 :
https://storage.huabio.cn/huabio/productImg/EM0702_9.jpg
Pic legend9 :
Immunohistochemical analysis of paraffin-embedded human liver tissue with Mouse anti-Cytokeratin 7 antibody (EM0702) at 1/1,000 dilution.
The section was pre-treated using heat mediated antigen retrieval with Tris-EDTA buffer (pH 9.0) for 20 minutes. The tissues were blocked in 1% BSA for 20 minutes at room temperature, washed with ddH2O and PBS, and then probed with the primary antibody (EM0702) at 1/1,000 dilution for 1 hour at room temperature. The detection was performed using an HRP conjugated compact polymer system. DAB was used as the chromogen. Tissues were counterstained with hematoxylin and mounted with DPX.
Pic img10 :
https://storage.huabio.cn/huabio/productImg/EM0702_10.jpg
Pic legend10 :
Immunocytochemistry analysis of A549 cells labeling Cytokeratin 7 with Mouse anti-Cytokeratin 7 antibody (EM0702) at 1/100 dilution.
Cells were fixed in 4% paraformaldehyde for 20 minutes at room temperature, permeabilized with 0.1% Triton X-100 in PBS for 5 minutes at room temperature, then blocked with 1% BSA in 10% negative goat serum for 1 hour at room temperature. Cells were then incubated with Mouse anti-Cytokeratin 7 antibody (EM0702) at 1/100 dilution in 1% BSA in PBST overnight at 4 ℃. Goat Anti-Mouse IgG H&L (iFluor™ 488, HA1125) was used as the secondary antibody at 1/1,000 dilution. PBS instead of the primary antibody was used as the secondary antibody only control. Nuclear DNA was labelled in blue with DAPI.
beta Tubulin (ET1602-4, red) was stained at 1/100 dilution overnight at +4℃. Goat Anti-Rabbit IgG H&L (iFluor™ 594, HA1122) were used as the secondary antibody at 1/1,000 dilution.
Pic img11 :
https://storage.huabio.cn/huabio/productImg/EM0702_11.jpg
Pic legend11 :
Application: IF-Tissue
Species: Human
Site: lung carcinoma
Sample: Paraffin-embedded section
Antibody concentration: 1/1,000
more info or order :
company information

HUABIO
Founded in 2007, HUABIO is dedicated to developing high-quality antibodies that advance innovation. We are passionate about the accuracy, efficiency, and consistency of our products. That is why we have invested in new production platforms, like recombinant rabbit monoclonals, alpaca nanobodies, and adopted aggressive QA standards to deliver cutting-edge antibodies with uncompromised quality.
We hope to see you at your next discovery!
We hope to see you at your next discovery!
related products
browse more products
questions and comments
