domestic rabbit polyclonal
reactivity: human, mouse
application: western blot, immunohistochemistry - paraffin section
reactivity: human, mouse
application: western blot, immunohistochemistry - paraffin section

Western blot analysis of TAZ on different lysates. Proteins were transferred to a PVDF membrane and blocked with 5% NFDM/TBST for 1 hour at room temperature. The primary antibody (HA500300, 1/500) was used in 5% NFDM/TBST at room temperature for 2 hours. Goat Anti-Rabbit IgG - HRP Secondary Antibody (HA1001) at 1:200,000 dilution was used for 1 hour at room temperature. Positive control: Lane 1: Human placenta tissue lysate Lane 2: 293T cell lysate

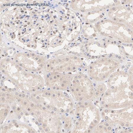
Immunohistochemical analysis of paraffin-embedded human kidney tissue using anti-TAZ antibody. The section was pre-treated using heat mediated antigen retrieval with sodium citrate buffer (pH 6.0) (high pressure) for 2 minutes. The tissues were blocked in 5% BSA for 30 minutes at room temperature, washed with ddH2O and PBS, and then probed with the primary antibody (HA500300, 1/400) for 30 minutes at room temperature. The detection was performed using an HRP conjugated compact polymer system. DAB was used as the chromogen. Tissues were counterstained with hematoxylin and mounted with DPX.

Immunohistochemical analysis of paraffin-embedded mouse brain tissue using anti-TAZ antibody. The section was pre-treated using heat mediated antigen retrieval with sodium citrate buffer (pH 6.0) (high pressure) for 2 minutes. The tissues were blocked in 5% BSA for 30 minutes at room temperature, washed with ddH2O and PBS, and then probed with the primary antibody (HA500300, 1/100) for 30 minutes at room temperature. The detection was performed using an HRP conjugated compact polymer system. DAB was used as the chromogen. Tissues were counterstained with hematoxylin and mounted with DPX.
quantity: 100μl
price: 330 USD
to the supplier
domestic rabbit monoclonal (PSH15-57)
reactivity: human, mouse, rat
application: western blot, immunoprecipitation
reactivity: human, mouse, rat
application: western blot, immunoprecipitation

Western blot analysis of TAZ / WWTR1 on different lysates with Rabbit anti-TAZ / WWTR1 antibody (HA723764) at 1/5,000 dilution. Lane 1: HeLa cell lysate Lane 2: PANC-1 cell lysate Lane 3: SH-SY5Y cell lysate (low expression) Lane 4: SK-MEL-28 cell lysate Lane 5: Raji cell lysate (negative) Lane 6: A375 cell lysate Lane 7: COS-1 cell lysate Lane 8: F9 cell lysate Lane 9: C2C12 cell lysate Lane 10: NIH/3T3 cell lysate Lane 11: C6 cell lysate Lysates/proteins at 20 µg/Lane. Predicted band size: 44 kDa Observed band size: 50 kDa Exposure time: 30 seconds; ECL: K1801; 4-20% SDS-PAGE gel. Proteins were transferred to a PVDF membrane and blocked with 5% NFDM/TBST for 1 hour at room temperature. The primary antibody (HA723764) at 1/5,000 dilution was used in primary antibody dilution (K1803) at 4℃ overnight. Goat Anti-Rabbit IgG - HRP Secondary Antibody (HA1001) at 1/50,000 dilution was used for 1 hour at room temperature.

TAZ / WWTR1 was immunoprecipitated from 0.2 mg PANC-1 cell lysate with HA723764 at 2 µg/10 µl beads. Western blot was performed from the immunoprecipitate using HA723764 at 1/5,000 dilution. HRP Conjugated Anti-Rabbit IgG for IP Nano-secondary antibody at 1/5,000 dilution was used for 1 hour at room temperature. Lane 1: PANC-1 cell lysate (input) Lane 2: HA723764 IP in PANC-1 cell lysate Lane 3: Rabbit IgG instead of HA723764 in PANC-1 cell lysate Blocking/Dilution buffer: primary antibody dilution (K1803) Exposure time: 1 minute 18 seconds; ECL: K1801

TAZ / WWTR1 was immunoprecipitated from 0.2 mg C2C12 cell lysate with HA723764 at 2 µg/10 µl beads. Western blot was performed from the immunoprecipitate using HA723764 at 1/5,000 dilution. HRP Conjugated Anti-Rabbit IgG for IP Nano-secondary antibody at 1/5,000 dilution was used for 1 hour at room temperature. Lane 1: C2C12 cell lysate (input) Lane 2: HA723764 IP in C2C12 cell lysate Lane 3: Rabbit IgG instead of HA723764 in C2C12 cell lysate Blocking/Dilution buffer: primary antibody dilution (K1803) Exposure time: 10 seconds; ECL: K1801
quantity: 100μl
price: 385.00 USD
to the supplier
domestic rabbit monoclonal (PSH15-58)
reactivity: human, mouse, rat
application: western blot, immunoprecipitation, immunohistochemistry - paraffin section
reactivity: human, mouse, rat
application: western blot, immunoprecipitation, immunohistochemistry - paraffin section

Western blot analysis of TAZ / WWTR1 on different lysates with Rabbit anti-TAZ / WWTR1 antibody (HA723765) at 1/5,000 dilution. Lane 1: HeLa cell lysate Lane 2: PANC-1 cell lysate Lane 3: SH-SY5Y cell lysate (low expression) Lane 4: SK-MEL-28 cell lysate Lane 5: Raji cell lysate (negative) Lane 6: A375 cell lysate Lane 7: F9 cell lysate Lane 8: C2C12 cell lysate Lane 9: NIH/3T3 cell lysate Lane 10: C6 cell lysate Lysates/proteins at 20 µg/Lane. Predicted band size: 44 kDa Observed band size: 50 kDa Exposure time: 3 minutes; ECL: K1801; 4-20% SDS-PAGE gel. Proteins were transferred to a PVDF membrane and blocked with 5% NFDM/TBST for 1 hour at room temperature. The primary antibody (HA723765) at 1/5,000 dilution was used in primary antibody dilution (K1803) at 4℃ overnight. Goat Anti-Rabbit IgG - HRP Secondary Antibody (HA1001) at 1/50,000 dilution was used for 1 hour at room temperature.

Immunohistochemical analysis of paraffin-embedded human breast carcinoma tissue with Rabbit anti-TAZ / WWTR1 antibody (HA723765) at 1/200 dilution. The section was pre-treated using heat mediated antigen retrieval with Tris-EDTA buffer (pH 9.0) for 20 minutes. The tissues were blocked in 1% BSA for 20 minutes at room temperature, washed with ddH2O and PBS, and then probed with the primary antibody (HA723765) at 1/200 dilution for 1 hour at room temperature. The detection was performed using an HRP conjugated compact polymer system. DAB was used as the chromogen. Tissues were counterstained with hematoxylin and mounted with DPX.

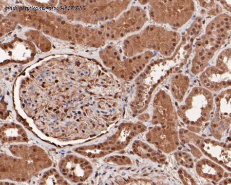
Immunohistochemical analysis of paraffin-embedded human kidney tissue with Rabbit anti-TAZ / WWTR1 antibody (HA723765) at 1/1,000 dilution. The section was pre-treated using heat mediated antigen retrieval with Tris-EDTA buffer (pH 9.0) for 20 minutes. The tissues were blocked in 1% BSA for 20 minutes at room temperature, washed with ddH2O and PBS, and then probed with the primary antibody (HA723765) at 1/1,000 dilution for 1 hour at room temperature. The detection was performed using an HRP conjugated compact polymer system. DAB was used as the chromogen. Tissues were counterstained with hematoxylin and mounted with DPX.
quantity: 100μl
price: 385.00 USD
to the supplier
domestic rabbit monoclonal (PSH15-57)
reactivity: human, mouse, rat
application: western blot, immunoprecipitation
reactivity: human, mouse, rat
application: western blot, immunoprecipitation

Western blot analysis of TAZ / WWTR1 on different lysates with Rabbit anti-TAZ / WWTR1 antibody (HA751568) at 1/5,000 dilution. Lane 1: HeLa cell lysate Lane 2: PANC-1 cell lysate Lane 3: SH-SY5Y cell lysate (low expression) Lane 4: SK-MEL-28 cell lysate Lane 5: Raji cell lysate (negative) Lane 6: A375 cell lysate Lane 7: COS-1 cell lysate Lane 8: F9 cell lysate Lane 9: C2C12 cell lysate Lane 10: NIH/3T3 cell lysate Lane 11: C6 cell lysate Lysates/proteins at 20 µg/Lane. Predicted band size: 44 kDa Observed band size: 50 kDa Exposure time: 30 seconds; ECL: K1801; 4-20% SDS-PAGE gel. Proteins were transferred to a PVDF membrane and blocked with 5% NFDM/TBST for 1 hour at room temperature. The primary antibody (HA751568) at 1/5,000 dilution was used in primary antibody dilution (K1803) at 4℃ overnight. Goat Anti-Rabbit IgG - HRP Secondary Antibody (HA1001) at 1/50,000 dilution was used for 1 hour at room temperature.

TAZ / WWTR1 was immunoprecipitated from 0.2 mg PANC-1 cell lysate with HA751568 at 2 µg/10 µl beads. Western blot was performed from the immunoprecipitate using HA751568 at 1/5,000 dilution. HRP Conjugated Anti-Rabbit IgG for IP Nano-secondary antibody at 1/5,000 dilution was used for 1 hour at room temperature. Lane 1: PANC-1 cell lysate (input) Lane 2: HA751568 IP in PANC-1 cell lysate Lane 3: Rabbit IgG instead of HA751568 in PANC-1 cell lysate Blocking/Dilution buffer: primary antibody dilution (K1803) Exposure time: 1 minute 18 seconds; ECL: K1801

TAZ / WWTR1 was immunoprecipitated from 0.2 mg C2C12 cell lysate with HA751568 at 2 µg/10 µl beads. Western blot was performed from the immunoprecipitate using HA751568 at 1/5,000 dilution. HRP Conjugated Anti-Rabbit IgG for IP Nano-secondary antibody at 1/5,000 dilution was used for 1 hour at room temperature. Lane 1: C2C12 cell lysate (input) Lane 2: HA751568 IP in C2C12 cell lysate Lane 3: Rabbit IgG instead of HA751568 in C2C12 cell lysate Blocking/Dilution buffer: primary antibody dilution (K1803) Exposure time: 10 seconds; ECL: K1801
quantity: 100μl
price: 385.00 USD
to the supplier
domestic rabbit monoclonal (PSH15-58)
reactivity: human, mouse, rat
application: western blot, immunoprecipitation, immunohistochemistry - paraffin section
reactivity: human, mouse, rat
application: western blot, immunoprecipitation, immunohistochemistry - paraffin section

Western blot analysis of TAZ / WWTR1 on different lysates with Rabbit anti-TAZ / WWTR1 antibody (HA751569) at 1/5,000 dilution. Lane 1: HeLa cell lysate Lane 2: PANC-1 cell lysate Lane 3: SH-SY5Y cell lysate (low expression) Lane 4: SK-MEL-28 cell lysate Lane 5: Raji cell lysate (negative) Lane 6: A375 cell lysate Lane 7: F9 cell lysate Lane 8: C2C12 cell lysate Lane 9: NIH/3T3 cell lysate Lane 10: C6 cell lysate Lysates/proteins at 20 µg/Lane. Predicted band size: 44 kDa Observed band size: 50 kDa Exposure time: 3 minutes; ECL: K1801; 4-20% SDS-PAGE gel. Proteins were transferred to a PVDF membrane and blocked with 5% NFDM/TBST for 1 hour at room temperature. The primary antibody (HA751569) at 1/5,000 dilution was used in primary antibody dilution (K1803) at 4℃ overnight. Goat Anti-Rabbit IgG - HRP Secondary Antibody (HA1001) at 1/50,000 dilution was used for 1 hour at room temperature.

Immunohistochemical analysis of paraffin-embedded human breast carcinoma tissue with Rabbit anti-TAZ / WWTR1 antibody (HA751569) at 1/200 dilution. The section was pre-treated using heat mediated antigen retrieval with Tris-EDTA buffer (pH 9.0) for 20 minutes. The tissues were blocked in 1% BSA for 20 minutes at room temperature, washed with ddH2O and PBS, and then probed with the primary antibody (HA751569) at 1/200 dilution for 1 hour at room temperature. The detection was performed using an HRP conjugated compact polymer system. DAB was used as the chromogen. Tissues were counterstained with hematoxylin and mounted with DPX.

Immunohistochemical analysis of paraffin-embedded human kidney tissue with Rabbit anti-TAZ / WWTR1 antibody (HA751569) at 1/1,000 dilution. The section was pre-treated using heat mediated antigen retrieval with Tris-EDTA buffer (pH 9.0) for 20 minutes. The tissues were blocked in 1% BSA for 20 minutes at room temperature, washed with ddH2O and PBS, and then probed with the primary antibody (HA751569) at 1/1,000 dilution for 1 hour at room temperature. The detection was performed using an HRP conjugated compact polymer system. DAB was used as the chromogen. Tissues were counterstained with hematoxylin and mounted with DPX.
quantity: 100μl
price: 385.00 USD
to the supplier
