Sign in
Sign up
home
>
HUABIO
> HUABIO CD68 antibody
CD68
HUABIO
catalog: EM1901-93
mouse monoclonal (A3C2)
reactivity:
human
application:
western blot
,
flow cytometry
,
immunohistochemistry - paraffin section
Western blot analysis of CD68 on different lysates with Mouse anti-CD68 antibody (EM1901-93) at 1/1,000 dilution. Lane 1: A431 cell lysate Lane 2: THP-1 cell lysate Lane 3: U-937 cell lysate Lane 4: Jurkat cell lysate (negative) Lysates/proteins at 20 µg/Lane. Predicted band size: 37 kDa Observed band size: 100-150 kDa Exposure time: 1 minute 4 seconds; 4-20% SDS-PAGE gel. Proteins were transferred to a PVDF membrane and blocked with 5% NFDM/TBST for 1 hour at room temperature. The primary antibody (EM1901-93) at 1/1,000 dilution was used in 5% NFDM/TBST at 4℃ overnight. Goat Anti-Mouse IgG - HRP Secondary Antibody (HA1006) at 1/50,000 dilution was used for 1 hour at room temperature.
Immunohistochemical analysis of paraffin-embedded human tonsil tissue with Mouse anti-CD68 antibody (EM1901-93) at 1/1,000 dilution. The section was pre-treated using heat mediated antigen retrieval with Tris-EDTA buffer (pH 9.0) for 20 minutes. The tissues were blocked in 1% BSA for 20 minutes at room temperature, washed with ddH2O and PBS, and then probed with the primary antibody (EM1901-93) at 1/1,000 dilution for 1 hour at room temperature. The detection was performed using an HRP conjugated compact polymer system. DAB was used as the chromogen. Tissues were counterstained with hematoxylin and mounted with DPX.
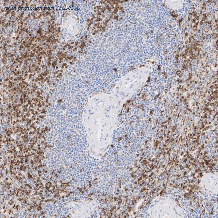
Immunohistochemical analysis of paraffin-embedded human spleen tissue using anti-CD68 antibody. The section was pre-treated using heat mediated antigen retrieval with Tris-EDTA buffer (pH 8.0-8.4) for 20 minutes.The tissues were blocked in 5% BSA for 30 minutes at room temperature, washed with ddH2O and PBS, and then probed with the primary antibody (EM1901-93, 1/200) for 30 minutes at room temperature. The detection was performed using an HRP conjugated compact polymer system. DAB was used as the chromogen. Tissues were counterstained with hematoxylin and mounted with DPX.
quantity: 100μl
price: 360.00 USD
to the supplier
CD68
HUABIO
catalog: EM1901-94
mouse monoclonal (A3C3)
reactivity:
human
application:
western blot
,
flow cytometry
,
immunohistochemistry - paraffin section
Western blot analysis of CD68 on different lysates with Mouse anti-CD68 antibody (EM1901-94) at 1/1,000 dilution. Lane 1: U-937 cell lysate Lane 2: U-87 MG cell lysate Lane 3: Jurkat cell lysate (negative) Lysates/proteins at 10 µg/Lane. Predicted band size: 37 kDa Observed band size: 100-150 kDa Exposure time: 2 minutes 45 seconds; 4-20% SDS-PAGE gel. Proteins were transferred to a PVDF membrane and blocked with 5% NFDM/TBST for 1 hour at room temperature. The primary antibody (EM1901-94) at 1/1,000 dilution was used in 5% NFDM/TBST at room temperature for 2 hours. Goat Anti-Mouse IgG - HRP Secondary Antibody (HA1006) at 1/50,000 dilution was used for 1 hour at room temperature.
Immunohistochemical analysis of paraffin-embedded human tonsil tissue using anti-CD68 antibody. The section was pre-treated using heat mediated antigen retrieval with Tris-EDTA buffer (pH 8.0-8.4) for 20 minutes.The tissues were blocked in 5% BSA for 30 minutes at room temperature, washed with ddH2O and PBS, and then probed with the primary antibody (EM1901-94, 1/200) for 30 minutes at room temperature. The detection was performed using an HRP conjugated compact polymer system. DAB was used as the chromogen. Tissues were counterstained with hematoxylin and mounted with DPX.
Immunohistochemical analysis of paraffin-embedded human lung cancer tissue using anti-CD68 antibody. The section was pre-treated using heat mediated antigen retrieval with Tris-EDTA buffer (pH 8.0-8.4) for 20 minutes.The tissues were blocked in 5% BSA for 30 minutes at room temperature, washed with ddH2O and PBS, and then probed with the primary antibody (EM1901-94, 1/200) for 30 minutes at room temperature. The detection was performed using an HRP conjugated compact polymer system. DAB was used as the chromogen. Tissues were counterstained with hematoxylin and mounted with DPX.
quantity: 100μl
price: 360.00 USD
to the supplier
CD68
HUABIO
catalog: EM1901-95
mouse monoclonal (A3C4)
reactivity:
human
application:
western blot
,
flow cytometry
,
immunohistochemistry - paraffin section
Western blot analysis of CD68 on different lysates with Mouse anti-CD68 antibody (EM1901-95) at 1/1,000 dilution. Lane 1: A431 cell lysate Lane 2: THP-1 cell lysate Lane 3: U-937 cell lysate Lane 4: Jurkat cell lysate (negative) Lysates/proteins at 20 µg/Lane. Predicted band size: 37 kDa Observed band size: 100-150 kDa Exposure time: 3 minutes; 4-20% SDS-PAGE gel. Proteins were transferred to a PVDF membrane and blocked with 5% NFDM/TBST for 1 hour at room temperature. The primary antibody (EM1901-95) at 1/1,000 dilution was used in 5% NFDM/TBST at 4℃ overnight. Goat Anti-Mouse IgG - HRP Secondary Antibody (HA1006) at 1/50,000 dilution was used for 1 hour at room temperature.
Fluorescence multiplex immunohistochemical analysis of the human pancreatic carcinoma (Formalin/PFA-fixed paraffin-embedded sections). Panel A: the merged image of anti-CD68 (EM1901-95, green), anti-CD163 (ET1704-43, red) and anti-PanCK (HA601094, violet) on human pancreatic carcinoma. Panel B: anti- CD68 stained on M1 macrophages. Panel C: anti-CD163 stained on M2 macrophages cells. Panel D: anti-panCK stained on cancer cells. HRP Conjugated UltraPolymer Goat Polyclonal Antibody HA1119/HA1120 was used as a secondary antibody. The immunostaining was performed with the Sequential Immuno-staining Kit (IRISKitCmTSA Kit 900803). The section was incubated in three rounds of staining: in the order of EM1901-95 (1/3,000 dilution), ET1704-43 (1/3,000 dilution), and HA601094 (1/3,000 dilution) for 20 mins at room temperature. Each round was followed by a separate fluorescent tyramide signal amplification system. Heat mediated antigen retrieval with Tris-EDTA buffer (pH 9.0) for 30 mins at 95℃. DAPI (blue) was used as a nuclear counter stain. Image acquisition was performed with Nikon ECLIPSE Ni-E microscope.
Fluorescence multiplex immunohistochemical analysis of human colon carcinoma (Formalin/PFA-fixed paraffin-embedded sections). Panel A: the merged image of anti-CD68 (EM1901-95, Yellow) and anti-CD56 (ET1702-43, Red) on human colon carcinoma. HRP Conjugated UltraPolymer Goat Polyclonal Antibody HA1119/HA1120 was used as a secondary antibody. The immunostaining was performed with the Sequential Immuno-staining Kit (IRISKit™MH010101, www.luminiris.cn). The section was incubated in two rounds of staining: in the order of EM1901-95 (1/3,000 dilution) and ET1702-43 (1/1,000 dilution) for 20 mins at room temperature. Each round was followed by a separate fluorescent tyramide signal amplification system. Heat mediated antigen retrieval with Tris-EDTA buffer (pH 9.0) for 30 mins at 95℃. DAPI (blue) was used as a nuclear counter stain. Image acquisition was performed with Zeiss Observer 7 Inverted Fluorescence Microscope.
quantity: 100μl
price: 360.00 USD
to the supplier
CD68
HUABIO
catalog: ET1611-53
domestic rabbit monoclonal (SN07-27)
reactivity:
human
application:
western blot
Western blot analysis of CD68 on SH-SY5Y cell lysates. Proteins were transferred to a PVDF membrane and blocked with 5% BSA in PBS for 1 hour at room temperature. The primary antibody (ET1611-53, 1/500) was used in 5% BSA at room temperature for 2 hours. Goat Anti-Rabbit IgG - HRP Secondary Antibody (HA1001) at 1:5,000 dilution was used for 1 hour at room temperature.
Western blot analysis of CD68 on THP-1 cell lysates with Rabbit anti-CD68 antibody (ET1611-53) at 1/500 dilution. Lysates/proteins at 10 µg/Lane. Predicted band size: 37 kDa Observed band size: 37 kDa Exposure time: 2 minutes; 10% SDS-PAGE gel. Proteins were transferred to a PVDF membrane and blocked with 5% NFDM/TBST for 1 hour at room temperature. The primary antibody (ET1611-53) at 1/500 dilution was used in 5% NFDM/TBST at room temperature for 2 hours. Goat Anti-Rabbit IgG - HRP Secondary Antibody (HA1001) at 1:300,000 dilution was used for 1 hour at room temperature.
quantity: 100μl
price: 385.00 USD
to the supplier
Human CD68
HUABIO
catalog: HA600132F
mouse monoclonal (A3C3-R)
reactivity:
human
conjugate: FITC
application:
flow cytometry
Flow cytometric analysis of human PBMC labeling Human CD68. Cells were fixed and permeabilized. Then stained with the primary antibody (HA600132F, 1μg/mL) (red). Unlabelled sample was used as a control (cells without incubation with primary antibody; black).
quantity: 100μl
price: 394.00 USD
to the supplier
CD68
HUABIO
catalog: HA601115
mouse monoclonal (PDM0-13)
reactivity:
human
application:
flow cytometry
,
immunohistochemistry - paraffin section
Immunohistochemical analysis of paraffin-embedded human spleen tissue with Mouse anti-CD68 antibody (HA601115) at 1/200 dilution. The section was pre-treated using heat mediated antigen retrieval with Tris-EDTA buffer (pH 9.0) for 20 minutes. The tissues were blocked in 1% BSA for 20 minutes at room temperature, washed with ddH2O and PBS, and then probed with the primary antibody (HA601115) at 1/200 dilution for 1 hour at room temperature. The detection was performed using an HRP conjugated compact polymer system. DAB was used as the chromogen. Tissues were counterstained with hematoxylin and mounted with DPX.
Immunohistochemical analysis of paraffin-embedded human diffuse large B-cell lymphoma tissue with Mouse anti-CD68 antibody (HA601115) at 1/4,000 dilution. The section was pre-treated using heat mediated antigen retrieval with Tris-EDTA buffer (pH 9.0) for 20 minutes. The tissues were blocked in 1% BSA for 20 minutes at room temperature, washed with ddH2O and PBS, and then probed with the primary antibody (HA601115) at 1/4,000 dilution for 1 hour at room temperature. The detection was performed using an HRP conjugated compact polymer system. DAB was used as the chromogen. Tissues were counterstained with hematoxylin and mounted with DPX.
Immunohistochemical analysis of paraffin-embedded human tonsil tissue with Mouse anti-CD68 antibody (HA601115) at 1/2,000 dilution. The section was pre-treated using heat mediated antigen retrieval with Tris-EDTA buffer (pH 9.0) for 20 minutes. The tissues were blocked in 1% BSA for 20 minutes at room temperature, washed with ddH2O and PBS, and then probed with the primary antibody (HA601115) at 1/2,000 dilution for 1 hour at room temperature. The detection was performed using an HRP conjugated compact polymer system. DAB was used as the chromogen. Tissues were counterstained with hematoxylin and mounted with DPX.
quantity: 100μl
price: 360.00 USD
to the supplier
CD68
HUABIO
catalog: HA601290
mouse monoclonal (A3C3-R)
reactivity:
human
application:
western blot
,
flow cytometry
,
immunohistochemistry - paraffin section
Western blot analysis of CD68 on different lysates with Mouse anti-CD68 antibody (HA601290) at 1/1,000 dilution. Lane 1: THP-1 cell lysate Lane 2: U-937 cell lysate Lane 3: U-87 MG cell lysate Lane 4: Jurkat cell lysate (negative) Lysates/proteins at 10 µg/Lane. Predicted band size: 37 kDa Observed band size: 100-150 kDa Exposure time: 2 minutes 45 seconds; 4-20% SDS-PAGE gel. Proteins were transferred to a PVDF membrane and blocked with 5% NFDM/TBST for 1 hour at room temperature. The primary antibody (HA601290) at 1/1,000 dilution was used in 5% NFDM/TBST at room temperature for 2 hours. Goat Anti-Mouse IgG - HRP Secondary Antibody (HA1006) at 1/50,000 dilution was used for 1 hour at room temperature.
Immunocytochemistry analysis of THP-1 (positive) and Jurkat (negative) labeling CD68 with Mouse anti-CD68 antibody (HA601290) at 1/100 dilution. Cells were fixed in 100% precooled methanol for 5 minutes at room temperature, then blocked with 1% BSA in 10% negative goat serum for 1 hour at room temperature. Cells were then incubated with Mouse anti-CD68 antibody (HA601290) at 1/100 dilution in 1% BSA in PBST overnight at 4 ℃. Goat Anti-Mouse IgG H&L (iFluor™ 488, HA1125) was used as the secondary antibody at 1/1,000 dilution. PBS instead of the primary antibody was used as the secondary antibody only control. Nuclear DNA was labelled in blue with DAPI. beta Tubulin (ET1602-4, red) was stained at 1/100 dilution overnight at +4℃. Goat Anti-Rabbit IgG H&L (iFluor™ 594, HA1122) were used as the secondary antibody at 1/1,000 dilution.
Immunohistochemical analysis of paraffin-embedded human lung cancer tissue with Mouse anti-CD68 antibody (HA601290) at 1/1,000 dilution. The section was pre-treated using heat mediated antigen retrieval with Tris-EDTA buffer (pH 9.0) for 20 minutes. The tissues were blocked in 1% BSA for 20 minutes at room temperature, washed with ddH2O and PBS, and then probed with the primary antibody (HA601290) at 1/1,000 dilution for 1 hour at room temperature. The detection was performed using an HRP conjugated compact polymer system. DAB was used as the chromogen. Tissues were counterstained with hematoxylin and mounted with DPX.
quantity: 100μl
price: 360.00 USD
to the supplier
CD68
HUABIO
catalog: HA601291
mouse monoclonal (A3C2-R)
reactivity:
human
application:
western blot
,
immunohistochemistry - paraffin section
Western blot analysis of CD68 on different lysates with Mouse anti-CD68 antibody (HA601291) at 1/1,000 dilution. Lane 1: A431 cell lysate Lane 2: THP-1 cell lysate Lane 3: U-937 cell lysate Lane 4: Jurkat cell lysate (negative) Lysates/proteins at 20 µg/Lane. Predicted band size: 37 kDa Observed band size: 100-150 kDa Exposure time: 1 minute 4 seconds; 4-20% SDS-PAGE gel. Proteins were transferred to a PVDF membrane and blocked with 5% NFDM/TBST for 1 hour at room temperature. The primary antibody (HA601291) at 1/1,000 dilution was used in 5% NFDM/TBST at 4℃ overnight. Goat Anti-Mouse IgG - HRP Secondary Antibody (HA1006) at 1/50,000 dilution was used for 1 hour at room temperature.
Immunocytochemistry analysis of THP-1 (positive) and Jurkat (negative) labeling CD68 with Mouse anti-CD68 antibody (HA601291) at 1/100 dilution. Cells were fixed in 4% paraformaldehyde for 20 minutes at room temperature, permeabilized with 0.1% Triton X-100 in PBS for 5 minutes at room temperature, then blocked with 1% BSA in 10% negative goat serum for 1 hour at room temperature. Cells were then incubated with Mouse anti-CD68 antibody (HA601291) at 1/500 dilution in 1% BSA in PBST overnight at 4 ℃. Goat Anti-Mouse IgG H&L (iFluor™ 488, HA1125) was used as the secondary antibody at 1/1,000 dilution. PBS instead of the primary antibody was used as the secondary antibody only control. Nuclear DNA was labelled in blue with DAPI. beta Tubulin (ET1602-4, red) was stained at 1/100 dilution overnight at +4℃. Goat Anti-Rabbit IgG H&L (iFluor™ 594, HA1122) were used as the secondary antibody at 1/1,000 dilution.
Immunohistochemical analysis of paraffin-embedded human prostate cancer tissue with Mouse anti-CD68 antibody (HA601291) at 1/1,000 dilution. The section was pre-treated using heat mediated antigen retrieval with Tris-EDTA buffer (pH 9.0) for 20 minutes. The tissues were blocked in 1% BSA for 20 minutes at room temperature, washed with ddH2O and PBS, and then probed with the primary antibody (HA601291) at 1/1,000 dilution for 1 hour at room temperature. The detection was performed using an HRP conjugated compact polymer system. DAB was used as the chromogen. Tissues were counterstained with hematoxylin and mounted with DPX.
quantity: 100μl
price: 360.00 USD
to the supplier
CD68
HUABIO
catalog: HA601292
mouse monoclonal (A3C4-R)
reactivity:
human
application:
western blot
,
immunohistochemistry - paraffin section
Western blot analysis of CD68 on different lysates with Mouse anti-CD68 antibody (HA601292) at 1/1,000 dilution. Lane 1: A431 cell lysate Lane 2: THP-1 cell lysate Lane 3: U-937 cell lysate Lane 4: Jurkat cell lysate (negative) Lysates/proteins at 20 µg/Lane. Predicted band size: 37 kDa Observed band size: 100-150 kDa Exposure time: 3 minutes; 4-20% SDS-PAGE gel. Proteins were transferred to a PVDF membrane and blocked with 5% NFDM/TBST for 1 hour at room temperature. The primary antibody (HA601292) at 1/1,000 dilution was used in 5% NFDM/TBST at 4℃ overnight. Goat Anti-Mouse IgG - HRP Secondary Antibody (HA1006) at 1/50,000 dilution was used for 1 hour at room temperature.
Immunocytochemistry analysis of THP-1 (positive) and Jurkat (negative) labeling CD68 with Mouse anti-CD68 antibody (HA601292) at 1/100 dilution. Cells were fixed in 100% precooled methanol for 5 minutes at room temperature, then blocked with 1% BSA in 10% negative goat serum for 1 hour at room temperature. Cells were then incubated with Mouse anti-CD68 antibody (HA601292) at 1/100 dilution in 1% BSA in PBST overnight at 4 ℃. Goat Anti-Mouse IgG H&L (iFluor™ 488, HA1125) was used as the secondary antibody at 1/1,000 dilution. PBS instead of the primary antibody was used as the secondary antibody only control. Nuclear DNA was labelled in blue with DAPI. beta Tubulin (ET1602-4, red) was stained at 1/100 dilution overnight at +4℃. Goat Anti-Rabbit IgG H&L (iFluor™ 594, HA1122) were used as the secondary antibody at 1/1,000 dilution.
Immunohistochemical analysis of paraffin-embedded human tonsil tissue with Mouse anti-CD68 antibody (HA601292) at 1/1,000 dilution. The section was pre-treated using heat mediated antigen retrieval with Tris-EDTA buffer (pH 9.0) for 20 minutes. The tissues were blocked in 1% BSA for 20 minutes at room temperature, washed with ddH2O and PBS, and then probed with the primary antibody (HA601292) at 1/1,000 dilution for 1 hour at room temperature. The detection was performed using an HRP conjugated compact polymer system. DAB was used as the chromogen. Tissues were counterstained with hematoxylin and mounted with DPX.
quantity: 100μl
price: 360.00 USD
to the supplier
CD68
HUABIO
catalog: HA610034
mouse monoclonal (PDM0-13)
reactivity:
human
application:
flow cytometry
,
immunohistochemistry - paraffin section
Immunohistochemical analysis of paraffin-embedded human spleen tissue with Mouse anti-CD68 antibody (HA610034) at 1/200 dilution. The section was pre-treated using heat mediated antigen retrieval with Tris-EDTA buffer (pH 9.0) for 20 minutes. The tissues were blocked in 1% BSA for 20 minutes at room temperature, washed with ddH2O and PBS, and then probed with the primary antibody (HA610034) at 1/200 dilution for 1 hour at room temperature. The detection was performed using an HRP conjugated compact polymer system. DAB was used as the chromogen. Tissues were counterstained with hematoxylin and mounted with DPX.
Immunohistochemical analysis of paraffin-embedded human diffuse large B-cell lymphoma tissue with Mouse anti-CD68 antibody (HA610034) at 1/4,000 dilution. The section was pre-treated using heat mediated antigen retrieval with Tris-EDTA buffer (pH 9.0) for 20 minutes. The tissues were blocked in 1% BSA for 20 minutes at room temperature, washed with ddH2O and PBS, and then probed with the primary antibody (HA610034) at 1/4,000 dilution for 1 hour at room temperature. The detection was performed using an HRP conjugated compact polymer system. DAB was used as the chromogen. Tissues were counterstained with hematoxylin and mounted with DPX.
Immunohistochemical analysis of paraffin-embedded human tonsil tissue with Mouse anti-CD68 antibody (HA610034) at 1/2,000 dilution. The section was pre-treated using heat mediated antigen retrieval with Tris-EDTA buffer (pH 9.0) for 20 minutes. The tissues were blocked in 1% BSA for 20 minutes at room temperature, washed with ddH2O and PBS, and then probed with the primary antibody (HA610034) at 1/2,000 dilution for 1 hour at room temperature. The detection was performed using an HRP conjugated compact polymer system. DAB was used as the chromogen. Tissues were counterstained with hematoxylin and mounted with DPX.
quantity: 100μg
price: 649.00 USD
to the supplier
CD68
HUABIO
catalog: HA610164
mouse monoclonal (A3C2-R)
reactivity:
human
application:
western blot
,
immunohistochemistry - paraffin section
Western blot analysis of CD68 on different lysates with Mouse anti-CD68 antibody (HA610164) at 1/1,000 dilution. Lane 1: A431 cell lysate Lane 2: THP-1 cell lysate Lane 3: U-937 cell lysate Lane 4: Jurkat cell lysate (negative) Lysates/proteins at 20 µg/Lane. Predicted band size: 37 kDa Observed band size: 100-150 kDa Exposure time: 1 minute 4 seconds; 4-20% SDS-PAGE gel. Proteins were transferred to a PVDF membrane and blocked with 5% NFDM/TBST for 1 hour at room temperature. The primary antibody (HA610164) at 1/1,000 dilution was used in 5% NFDM/TBST at 4℃ overnight. Goat Anti-Mouse IgG - HRP Secondary Antibody (HA1006) at 1/50,000 dilution was used for 1 hour at room temperature.
Immunocytochemistry analysis of THP-1 (positive) and Jurkat (negative) labeling CD68 with Mouse anti-CD68 antibody (HA610164) at 1/100 dilution. Cells were fixed in 4% paraformaldehyde for 20 minutes at room temperature, permeabilized with 0.1% Triton X-100 in PBS for 5 minutes at room temperature, then blocked with 1% BSA in 10% negative goat serum for 1 hour at room temperature. Cells were then incubated with Mouse anti-CD68 antibody (HA610164) at 1/500 dilution in 1% BSA in PBST overnight at 4 ℃. Goat Anti-Mouse IgG H&L (iFluor™ 488, HA1125) was used as the secondary antibody at 1/1,000 dilution. PBS instead of the primary antibody was used as the secondary antibody only control. Nuclear DNA was labelled in blue with DAPI. beta Tubulin (ET1602-4, red) was stained at 1/100 dilution overnight at +4℃. Goat Anti-Rabbit IgG H&L (iFluor™ 594, HA1122) were used as the secondary antibody at 1/1,000 dilution.
Immunohistochemical analysis of paraffin-embedded human prostate cancer tissue with Mouse anti-CD68 antibody (HA610164) at 1/1,000 dilution. The section was pre-treated using heat mediated antigen retrieval with Tris-EDTA buffer (pH 9.0) for 20 minutes. The tissues were blocked in 1% BSA for 20 minutes at room temperature, washed with ddH2O and PBS, and then probed with the primary antibody (HA610164) at 1/1,000 dilution for 1 hour at room temperature. The detection was performed using an HRP conjugated compact polymer system. DAB was used as the chromogen. Tissues were counterstained with hematoxylin and mounted with DPX.
quantity: 100μg
price: 649.00 USD
to the supplier
CD68
HUABIO
catalog: HA610165
mouse monoclonal (A3C4-R)
reactivity:
human
application:
western blot
,
immunohistochemistry - paraffin section
Western blot analysis of CD68 on different lysates with Mouse anti-CD68 antibody (HA610165) at 1/1,000 dilution. Lane 1: A431 cell lysate Lane 2: THP-1 cell lysate Lane 3: U-937 cell lysate Lane 4: Jurkat cell lysate (negative) Lysates/proteins at 20 µg/Lane. Predicted band size: 37 kDa Observed band size: 100-150 kDa Exposure time: 3 minutes; 4-20% SDS-PAGE gel. Proteins were transferred to a PVDF membrane and blocked with 5% NFDM/TBST for 1 hour at room temperature. The primary antibody (HA610165) at 1/1,000 dilution was used in 5% NFDM/TBST at 4℃ overnight. Goat Anti-Mouse IgG - HRP Secondary Antibody (HA1006) at 1/50,000 dilution was used for 1 hour at room temperature.
Immunocytochemistry analysis of THP-1 (positive) and Jurkat (negative) labeling CD68 with Mouse anti-CD68 antibody (HA610165) at 1/100 dilution. Cells were fixed in 100% precooled methanol for 5 minutes at room temperature, then blocked with 1% BSA in 10% negative goat serum for 1 hour at room temperature. Cells were then incubated with Mouse anti-CD68 antibody (HA610165) at 1/100 dilution in 1% BSA in PBST overnight at 4 ℃. Goat Anti-Mouse IgG H&L (iFluor™ 488, HA1125) was used as the secondary antibody at 1/1,000 dilution. PBS instead of the primary antibody was used as the secondary antibody only control. Nuclear DNA was labelled in blue with DAPI. beta Tubulin (ET1602-4, red) was stained at 1/100 dilution overnight at +4℃. Goat Anti-Rabbit IgG H&L (iFluor™ 594, HA1122) were used as the secondary antibody at 1/1,000 dilution.
Immunohistochemical analysis of paraffin-embedded human tonsil tissue with Mouse anti-CD68 antibody (HA610165) at 1/1,000 dilution. The section was pre-treated using heat mediated antigen retrieval with Tris-EDTA buffer (pH 9.0) for 20 minutes. The tissues were blocked in 1% BSA for 20 minutes at room temperature, washed with ddH2O and PBS, and then probed with the primary antibody (HA610165) at 1/1,000 dilution for 1 hour at room temperature. The detection was performed using an HRP conjugated compact polymer system. DAB was used as the chromogen. Tissues were counterstained with hematoxylin and mounted with DPX.
quantity: 100μg
price: 649.00 USD
to the supplier
CD68
HUABIO
catalog: IRS004
mouse monoclonal
reactivity:
human
mIHC analysis of human cholangiocarcinoma tissue (Formalin/PFA-fixed paraffin-embedded sections) with CD11c (IRS001), CD68 (IRS004), CD20 (IRS003), CD38 (IRS006), CD8 and panCK (IRS010) antibody at 1/100 dilution. The immunostaining was performed with the IRISKitCmTSA Kit (900802). Heat mediated antigen retrieval with Tris-EDTA buffer (pH 9.0) for 30 mins at 95℃. DAPI (blue) was used as a nuclear counter stain. Image acquisition was performed with Olympus VS200 Slide Scanner.
mIHC analysis of human tonsil tissue (Formalin/PFA-fixed paraffin-embedded sections) with CD8, CD4 (IRS005), FOXP3, CD68 (IRS004), CD38 (IRS006), CD11c (IRS001), PD-L1, CD163 (IRS002) and CD20 (IRS003) antibody at 1/100 dilution. The immunostaining was performed with the IRISKitCmTSA Kit (900802). Heat mediated antigen retrieval with Tris-EDTA buffer (pH 9.0) for 30 mins at 95℃. DAPI (blue) was used as a nuclear counter stain. Image acquisition was performed with Olympus VS200 Slide Scanner.
mIHC analysis of human lung cancer with brain metastasis tissue (Formalin/PFA-fixed paraffin-embedded sections) with CD3, CD20 (IRS003), panCK (IRS010), CD68 (IRS004) and Ki67 antibody at 1/100 dilution. The immunostaining was performed with the IRISKitCmTSA Kit (900802). Heat mediated antigen retrieval with Tris-EDTA buffer (pH 9.0) for 30 mins at 95℃. DAPI (blue) was used as a nuclear counter stain. Image acquisition was performed with Olympus VS200 Slide Scanner.
quantity: 100μl
price: 360.00 USD
to the supplier
CD68
HUABIO
catalog: HA601520
domestic rabbit polyclonal (PDM0-13)
reactivity:
human
application:
immunohistochemistry - paraffin section
Application: IF-Tissue Species: Human Site: liver Sample: Paraffin-embedded section Antibody concentration: 1/200
Immunohistochemical analysis of paraffin-embedded human spleen tissue with Rat anti-CD68 antibody (HA601520) at 1/500 dilution. The section was pre-treated using heat mediated antigen retrieval with Tris-EDTA buffer (pH 9.0) for 20 minutes. The tissues were blocked in 1% BSA for 20 minutes at room temperature, washed with ddH2O and PBS, and then probed with the primary antibody (HA601520) at 1/500 dilution for 1 hour at room temperature. The detection was performed using an HRP conjugated compact polymer system. DAB was used as the chromogen. Tissues were counterstained with hematoxylin and mounted with DPX.
quantity: 100μl
price: 360.00 USD
to the supplier
CD68
HUABIO
catalog: HA610347
domestic rabbit polyclonal (PDM0-13)
reactivity:
human
application:
immunohistochemistry - paraffin section
Application: IF-Tissue Species: Human Site: liver Sample: Paraffin-embedded section Antibody concentration: 1/200
Immunohistochemical analysis of paraffin-embedded human spleen tissue with Rat anti-CD68 antibody (HA610347) at 1/500 dilution. The section was pre-treated using heat mediated antigen retrieval with Tris-EDTA buffer (pH 9.0) for 20 minutes. The tissues were blocked in 1% BSA for 20 minutes at room temperature, washed with ddH2O and PBS, and then probed with the primary antibody (HA610347) at 1/500 dilution for 1 hour at room temperature. The detection was performed using an HRP conjugated compact polymer system. DAB was used as the chromogen. Tissues were counterstained with hematoxylin and mounted with DPX.
quantity: 100μl
price: 385.00 USD
to the supplier
CD68
HUABIO
catalog: HA723708
domestic rabbit polyclonal (PDM0-13)
reactivity:
human
application:
immunohistochemistry - paraffin section
Application: IF-Tissue Species: Human Site: liver Sample: Paraffin-embedded section Antibody concentration: 1/500
Immunohistochemical analysis of paraffin-embedded human liver tissue with Rabbit anti-CD68 antibody (HA723708) at 1/4,000 dilution. The section was pre-treated using heat mediated antigen retrieval with Tris-EDTA buffer (pH 9.0) for 20 minutes. The tissues were blocked in 1% BSA for 20 minutes at room temperature, washed with ddH2O and PBS, and then probed with the primary antibody (HA723708) at 1/4,000 dilution for 1 hour at room temperature. The detection was performed using an HRP conjugated compact polymer system. DAB was used as the chromogen. Tissues were counterstained with hematoxylin and mounted with DPX.
Immunohistochemical analysis of paraffin-embedded human spleen tissue with Rabbit anti-CD68 antibody (HA723708) at 1/4,000 dilution. The section was pre-treated using heat mediated antigen retrieval with Tris-EDTA buffer (pH 9.0) for 20 minutes. The tissues were blocked in 1% BSA for 20 minutes at room temperature, washed with ddH2O and PBS, and then probed with the primary antibody (HA723708) at 1/4,000 dilution for 1 hour at room temperature. The detection was performed using an HRP conjugated compact polymer system. DAB was used as the chromogen. Tissues were counterstained with hematoxylin and mounted with DPX.
quantity: 100μl
price: 385.00 USD
to the supplier
CD68
HUABIO
catalog: HA751544
domestic rabbit polyclonal (PDM0-13)
reactivity:
human
application:
immunohistochemistry - paraffin section
Application: IF-Tissue Species: Human Site: liver Sample: Paraffin-embedded section Antibody concentration: 1/500
Immunohistochemical analysis of paraffin-embedded human liver tissue with Rabbit anti-CD68 antibody (HA751544) at 1/4,000 dilution. The section was pre-treated using heat mediated antigen retrieval with Tris-EDTA buffer (pH 9.0) for 20 minutes. The tissues were blocked in 1% BSA for 20 minutes at room temperature, washed with ddH2O and PBS, and then probed with the primary antibody (HA751544) at 1/4,000 dilution for 1 hour at room temperature. The detection was performed using an HRP conjugated compact polymer system. DAB was used as the chromogen. Tissues were counterstained with hematoxylin and mounted with DPX.
Immunohistochemical analysis of paraffin-embedded human spleen tissue with Rabbit anti-CD68 antibody (HA751544) at 1/4,000 dilution. The section was pre-treated using heat mediated antigen retrieval with Tris-EDTA buffer (pH 9.0) for 20 minutes. The tissues were blocked in 1% BSA for 20 minutes at room temperature, washed with ddH2O and PBS, and then probed with the primary antibody (HA751544) at 1/4,000 dilution for 1 hour at room temperature. The detection was performed using an HRP conjugated compact polymer system. DAB was used as the chromogen. Tissues were counterstained with hematoxylin and mounted with DPX.
quantity: 100μl
price: 385.00 USD
to the supplier
CD68
HUABIO
catalog: IRS264RT
domestic rabbit polyclonal
reactivity:
human
mIHC analysis of human tonsil tissue (Formalin/PFA-fixed paraffin-embedded sections) with Rat anti-CD68 antibody (IRS264RT) at 1/100 dilution. The immunostaining was performed with the IRISKitCmTSA Kit (900810). Heat mediated antigen retrieval with Tris-EDTA buffer (pH 9.0) for 30 mins at 95℃. DAPI (blue) was used as a nuclear counter stain. Image acquisition was performed with Olympus VS200 Slide Scanner.
quantity: 100μl
price: 279.00 USD
to the supplier
CD68
HUABIO
catalog: IRS266RB
domestic rabbit polyclonal
reactivity:
human
mIHC analysis of human tonsil tissue (Formalin/PFA-fixed paraffin-embedded sections) with Rabbit anti-CD68 antibody (IRS266RB) at 1/100 dilution. The immunostaining was performed with the IRISKitCmTSA Kit (900808). Heat mediated antigen retrieval with Tris-EDTA buffer (pH 9.0) for 30 mins at 95℃. DAPI (blue) was used as a nuclear counter stain. Image acquisition was performed with Olympus VS200 Slide Scanner.
quantity: 100μl
price: 279.00 USD
to the supplier