mouse monoclonal (A7-1)
reactivity: human
application: western blot, flow cytometry, immunohistochemistry - paraffin section
reactivity: human
application: western blot, flow cytometry, immunohistochemistry - paraffin section

Western blot analysis of CD44 on different lysates with Mouse anti-CD44 antibody (EM010805) at 1/2,000 dilution. Lane 1: HeLa cell lysate Lane 2: HUVEC cell lysate Lane 3: PANC-1 cell lysate Lysates/proteins at 20 µg/Lane. Predicted band size: 81 kDa Observed band size: 81 kDa Exposure time: 4 Seconds; ECL: K1801; 4-20% SDS-PAGE gel. Proteins were transferred to a PVDF membrane and blocked with 5% NFDM/TBST for 1 hour at room temperature. The primary antibody (EM010805) at 1/50,000 dilution was used in 5% NFDM/TBST at 4℃ overnight. Goat Anti-Mouse IgG - HRP Secondary Antibody (HA1006) at 1/50,000 dilution was used for 1 hour at room temperature.

Western blot analysis of CD44 on different lysates using anti- CD44 antibody at 1/500 dilution. Positive control: Lane 1: HUVEC cell lysate Lane 2: HL-60 cell lysate Lane 3: Hela cell lysate Lane 4: SKOV-3 cell lysate

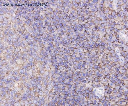
Immunohistochemical analysis of paraffin-embedded human tonsil tissue using anti-CD44 antibody. Counter stained with hematoxylin.
quantity: 100μl
price: 360.00 USD
to the supplier
domestic rabbit monoclonal (ST57-03)
reactivity: human
application: western blot, immunohistochemistry - paraffin section
reactivity: human
application: western blot, immunohistochemistry - paraffin section

Western blot analysis of CD44 on different lysates with Rabbit anti-CD44 antibody (ET1609-74) at 1/1,000 dilution. Lane 1: HeLa cell lysate Lane 2: MCF7 cell lysate (negative) Lane 3: A549 cell lysate Lane 4: Jurkat cell lysate (negative) Lane 5: MDA-MB-231 cell lysate Lane 6: LNCaP cell lysate (negative) Lysates/proteins at 20 µg/Lane. Predicted band size: 82 kDa Observed band size: 82 kDa Exposure time: 6 seconds; ECL: K1801; 4-20% SDS-PAGE gel. Proteins were transferred to a PVDF membrane and blocked with 5% NFDM/TBST for 1 hour at room temperature. The primary antibody (ET1609-74) at 1/1,000 dilution was used in 5% NFDM/TBST at 4℃ overnight. Goat Anti-Rabbit IgG - HRP Secondary Antibody (HA1001) at 1/50,000 dilution was used for 1 hour at room temperature.

Immunohistochemical analysis of paraffin-embedded human breast cancer tissue with Rabbit anti-CD44 antibody (ET1609-74) at 1/1,000 dilution. The section was pre-treated using heat mediated antigen retrieval with Tris-EDTA buffer (pH 9.0) for 20 minutes. The tissues were blocked in 1% BSA for 20 minutes at room temperature, washed with ddH2O and PBS, and then probed with the primary antibody (ET1609-74) at 1/1,000 dilution for 1 hour at room temperature. The detection was performed using an HRP conjugated compact polymer system. DAB was used as the chromogen. Tissues were counterstained with hematoxylin and mounted with DPX.

Immunohistochemical analysis of paraffin-embedded human colon cancer tissue with Rabbit anti-CD44 antibody (ET1609-74) at 1/1,000 dilution. The section was pre-treated using heat mediated antigen retrieval with Tris-EDTA buffer (pH 9.0) for 20 minutes. The tissues were blocked in 1% BSA for 20 minutes at room temperature, washed with ddH2O and PBS, and then probed with the primary antibody (ET1609-74) at 1/1,000 dilution for 1 hour at room temperature. The detection was performed using an HRP conjugated compact polymer system. DAB was used as the chromogen. Tissues were counterstained with hematoxylin and mounted with DPX.
quantity: 100μl
price: 385.00 USD
to the supplier
domestic rabbit monoclonal (JE64-01)
reactivity: human, mouse, rat
application: western blot, flow cytometry, immunohistochemistry - paraffin section
reactivity: human, mouse, rat
application: western blot, flow cytometry, immunohistochemistry - paraffin section

Western blot analysis of CD44 on different lysates with Rabbit anti-CD44 antibody (HA722845) at 1/5,000 dilution. Lane 1: HeLa cell lysate Lane 2: MCF7 cell lysate (negative) Lane 3: A549 cell lysate Lane 4: Jurkat cell lysate (negative) Lane 5: MDA-MB-231 cell lysate Lane 6: LNCaP cell lysate (negative) Lane 7: C2C12 cell lysate Lane 8: J774A.1 cell lysate Lane 9: RAW264.7 cell lysate Lane 10: C6 cell lysate Lysates/proteins at 20 µg/Lane. Predicted band size: 82 kDa Observed band size: 82 kDa Exposure time: 2 seconds; ECL: K1801; 4-20% SDS-PAGE gel. Proteins were transferred to a PVDF membrane and blocked with 5% NFDM/TBST for 1 hour at room temperature. The primary antibody (HA722845) at 1/5,000 dilution was used in 5% NFDM/TBST at 4℃ overnight. Goat Anti-Rabbit IgG - HRP Secondary Antibody (HA1001) at 1/50,000 dilution was used for 1 hour at room temperature.

Western blot analysis of CD44 on different lysates with Rabbit anti-CD44 antibody (HA722845) at 1/5,000 dilution. Lane 1: HAP1-si NT cell lysate (10 µg/Lane) Lane 2: HAP1-si CD44 cell lysate (10 µg/Lane) Predicted band size: 82 kDa Observed band size: 82 kDa Exposure time: 30 seconds; ECL: K1801; 4-20% SDS-PAGE gel. Proteins were transferred to a PVDF membrane and blocked with 5% NFDM/TBST for 1 hour at room temperature. The primary antibody (HA722845) at 1/5,000 dilution was used in 5% NFDM/TBST at room temperature for 2 hours. Goat Anti-Rabbit IgG - HRP Secondary Antibody (HA1001) at 1/50,000 dilution was used for 1 hour at room temperature.

Immunocytochemistry analysis of HeLa (positive) and Jurkat (negative) labeling CD44 with Rabbit anti-CD44 antibody (HA722845) at 1/100 dilution. Cells were fixed in 4% paraformaldehyde for 20 minutes at room temperature, permeabilized with 0.1% Triton X-100 in PBS for 5 minutes at room temperature, then blocked with 1% BSA in 10% negative goat serum for 1 hour at room temperature. Cells were then incubated with Rabbit anti-CD44 antibody (HA722845) at 1/100 dilution in 1% BSA in PBST overnight at 4 ℃. Goat Anti-Rabbit IgG H&L (iFluor™ 488, HA1121) was used as the secondary antibody at 1/1,000 dilution. PBS instead of the primary antibody was used as the secondary antibody only control. Nuclear DNA was labelled in blue with DAPI. Beta tubulin (M1305-2, red) was stained at 1/100 dilution overnight at +4℃. Goat Anti-Mouse IgG H&L (iFluor™ 594, HA1126) was used as the secondary antibody at 1/1,000 dilution.
quantity: 100μl
price: 385.00 USD
to the supplier
domestic rabbit monoclonal (ST57-03)
reactivity: human
application: western blot, immunohistochemistry - paraffin section
reactivity: human
application: western blot, immunohistochemistry - paraffin section

Western blot analysis of CD44 on different lysates with Rabbit anti-CD44 antibody (HA750192) at 1/1,000 dilution. Lane 1: HeLa cell lysate Lane 2: MCF7 cell lysate (negative) Lane 3: A549 cell lysate Lane 4: Jurkat cell lysate (negative) Lane 5: MDA-MB-231 cell lysate Lane 6: LNCaP cell lysate (negative) Lysates/proteins at 20 µg/Lane. Predicted band size: 82 kDa Observed band size: 82 kDa Exposure time: 6 seconds; ECL: K1801; 4-20% SDS-PAGE gel. Proteins were transferred to a PVDF membrane and blocked with 5% NFDM/TBST for 1 hour at room temperature. The primary antibody (HA750192) at 1/1,000 dilution was used in 5% NFDM/TBST at 4℃ overnight. Goat Anti-Rabbit IgG - HRP Secondary Antibody (HA1001) at 1/50,000 dilution was used for 1 hour at room temperature.

Immunohistochemical analysis of paraffin-embedded human breast cancer tissue with Rabbit anti-CD44 antibody (HA750192) at 1/1,000 dilution. The section was pre-treated using heat mediated antigen retrieval with Tris-EDTA buffer (pH 9.0) for 20 minutes. The tissues were blocked in 1% BSA for 20 minutes at room temperature, washed with ddH2O and PBS, and then probed with the primary antibody (HA750192) at 1/1,000 dilution for 1 hour at room temperature. The detection was performed using an HRP conjugated compact polymer system. DAB was used as the chromogen. Tissues were counterstained with hematoxylin and mounted with DPX.

Immunohistochemical analysis of paraffin-embedded human colon cancer tissue with Rabbit anti-CD44 antibody (HA750192) at 1/1,000 dilution. The section was pre-treated using heat mediated antigen retrieval with Tris-EDTA buffer (pH 9.0) for 20 minutes. The tissues were blocked in 1% BSA for 20 minutes at room temperature, washed with ddH2O and PBS, and then probed with the primary antibody (HA750192) at 1/1,000 dilution for 1 hour at room temperature. The detection was performed using an HRP conjugated compact polymer system. DAB was used as the chromogen. Tissues were counterstained with hematoxylin and mounted with DPX.
quantity: 100μl
price: 649.00 USD
to the supplier
domestic rabbit monoclonal
reactivity: human
reactivity: human

mIHC analysis of human tonsil tissue (Formalin/PFA-fixed paraffin-embedded sections) with Rabbit anti-CD44 antibody (IRS122RB) at 1/100 dilution. The immunostaining was performed with the IRISKitCmTSA Kit (900808). Heat mediated antigen retrieval with Tris-EDTA buffer (pH 9.0) for 30 mins at 95℃. DAPI (blue) was used as a nuclear counter stain. Image acquisition was performed with Olympus VS200 Slide Scanner.
quantity: 50T
price: 278.00 USD
to the supplier
