Sign in
Sign up
home
>
HUABIO
> HUABIO CD27 antibody
CD27
HUABIO
catalog: ET7107-73
domestic rabbit monoclonal (JB40-98)
reactivity:
human
,
mouse
,
rat
application:
western blot
,
immunohistochemistry - paraffin section
Western blot analysis of CD27 on different lysates with Rabbit anti-CD27 antibody (ET7107-73) at 1/2,000 dilution. Lane 1: Raji cell lysate Lane 2: MCF7 cell lysate (negative) Lysates/proteins at 20 µg/Lane. Predicted band size: 29 kDa Observed band size: 50 kDa Exposure time: 1 minute; ECL: K1801; 4-20% SDS-PAGE gel. Proteins were transferred to a PVDF membrane and blocked with 5% NFDM/TBST for 1 hour at room temperature. The primary antibody (ET7107-73) at 1/2,000 dilution was used in 5% NFDM/TBST at 4℃ overnight. Goat Anti-Rabbit IgG - HRP Secondary Antibody (HA1001) at 1/50,000 dilution was used for 1 hour at room temperature.
Immunohistochemical analysis of paraffin-embedded mouse spleen tissue with Rabbit anti-CD27 antibody (ET7107-73) at 1/5,000 dilution. The section was pre-treated using heat mediated antigen retrieval with Tris-EDTA buffer (pH 9.0) for 20 minutes. The tissues were blocked in 1% BSA for 20 minutes at room temperature, washed with ddH2O and PBS, and then probed with the primary antibody (ET7107-73) at 1/5,000 dilution for 1 hour at room temperature. The detection was performed using an HRP conjugated compact polymer system. DAB was used as the chromogen. Tissues were counterstained with hematoxylin and mounted with DPX.
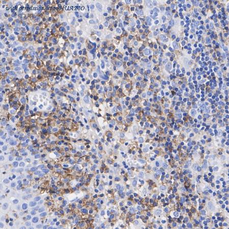
Immunohistochemical analysis of paraffin-embedded rat spleen tissue with Rabbit anti-CD27 antibody (ET7107-73) at 1/5,000 dilution. The section was pre-treated using heat mediated antigen retrieval with Tris-EDTA buffer (pH 9.0) for 20 minutes. The tissues were blocked in 1% BSA for 20 minutes at room temperature, washed with ddH2O and PBS, and then probed with the primary antibody (ET7107-73) at 1/5,000 dilution for 1 hour at room temperature. The detection was performed using an HRP conjugated compact polymer system. DAB was used as the chromogen. Tissues were counterstained with hematoxylin and mounted with DPX.
quantity: 100μl
price: 385.00 USD
to the supplier
Human CD27/TNFRSF7
HUABIO
catalog: HA722973
domestic rabbit monoclonal (PSH08-31)
reactivity:
human
application:
ELISA
Sandwich ELISA analysis of Human CD27 matched pair antibodies Elisa assay was performed by coating wells of a 96-well plate with 100 µl per well of capture antibody (HA722973) diluted in carbonate/bicarbonate buffer, at a concentration of 2 µg/ml overnight at 4℃. Wells of the plate were washed, blocked with 150 µl 0.05% tween-20 1% BSA blocking buffer, and incubated with serial diluted Recombinant Human CD27 protein (HA210880) starting from 4000 pg/ml to 0 pg/ml and detect antibody (HA722975, Biotin, 0.2 µg/ml) for 1 hour at 30℃ with shaking. Then the plate was washed and incubated with 100 µl per well of SA-HRP for 0.5 hour at 30℃ with shaking. Detection was performed using an Ultra TMB Substrate for 10 minutes at room temperature in the dark. The reaction was stopped with sulfuric acid and absorbances were read on a spectrophotometer at 450 nm.
Interpolated concentrations of native CD27 in human cell culture supernatant samples. Interpolated concentration of native CD27 was measured in duplicate at different sample concentrations and interpolated from the CD27 standard curves. Undiluted samples were 50% cell supernatant. The interpolated dilution factor corrected values were plotted (mean +/- SD, n=2). The mean CD27 concentration was determined to be 3084 pg/ml in Daudi and 3995 pg/ml in Raji in cell culture supernatant, undetectable in MCF7 cell culture supernatant.
Interpolated concentrations of spiked CD27 in cell culture media samples. The concentrations of CD27 were measured in duplicates, interpolated from the CD27 standard curves and corrected for sample dilution. Undiluted samples are as follows: cell culture media 50%. The interpolated dilution factor corrected values are plotted (mean +/- SD, n=2).
quantity: 100μl
price: 649.00 USD
to the supplier
Human CD27/TNFRSF7
HUABIO
catalog: HA722974
domestic rabbit monoclonal (PSH08-32)
reactivity:
human
application:
ELISA
Sandwich ELISA analysis of Human CD27 matched pair antibodies Elisa assay was performed by coating wells of a 96-well plate with 100 µl per well of capture antibody (HA722974) diluted in carbonate/bicarbonate buffer, at a concentration of 2 µg/ml overnight at 4℃. Wells of the plate were washed, blocked with 150 µl 0.05% tween-20 1% BSA blocking buffer, and incubated with serial diluted Recombinant Human CD27 protein (HA210880) starting from 4000 pg/ml to 0 pg/ml and detect antibody (HA722975, Biotin, 0.2 µg/ml) for 1 hour at 30℃ with shaking. Then the plate was washed and incubated with 100 µl per well of SA-HRP for 0.5 hour at 30℃ with shaking. Detection was performed using an Ultra TMB Substrate for 10 minutes at room temperature in the dark. The reaction was stopped with sulfuric acid and absorbances were read on a spectrophotometer at 450 nm.
Interpolated concentrations of native CD27 in human cell culture supernatant samples. Interpolated concentration of native CD27 was measured in duplicate at different sample concentrations and interpolated from the CD27 standard curves. Undiluted samples were 100% cell supernatant. The interpolated dilution factor corrected values were plotted (mean +/- SD, n=2). The mean CD27 concentration was determined to be 3041 pg/mL in Daudi and 3777 pg/ml in Raji in cell culture supernatant, undetectable in MCF7 cell culture supernatant.
Interpolated concentrations of spiked CD27 in cell culture media samples. The concentrations of CD27 were measured in duplicates, interpolated from the CD27 standard curves and corrected for sample dilution. Undiluted samples are as follows: cell culture media 50%. The interpolated dilution factor corrected values are plotted (mean +/- SD, n=2).
quantity: 100μl
price: 649.00 USD
to the supplier
Human CD27/TNFRSF7
HUABIO
catalog: HA722975
domestic rabbit monoclonal (PSH08-33)
reactivity:
human
application:
ELISA
Sandwich ELISA analysis of Human CD27 matched pair antibodies Elisa assay was performed by coating wells of a 96-well plate with 100 µl per well of capture antibody (HA722973) diluted in carbonate/bicarbonate buffer, at a concentration of 2 µg/ml overnight at 4℃. Wells of the plate were washed, blocked with 150 µl 0.05% tween-20 1% BSA blocking buffer, and incubated with serial diluted Recombinant Human CD27 protein (HA210880) starting from 4000 pg/ml to 0 pg/ml and detect antibody (HA722975, Biotin, 0.2 µg/ml) for 1 hour at 30℃ with shaking. Then the plate was washed and incubated with 100 µl per well of SA-HRP for 0.5 hour at 30℃ with shaking. Detection was performed using an Ultra TMB Substrate for 10 minutes at room temperature in the dark. The reaction was stopped with sulfuric acid and absorbances were read on a spectrophotometer at 450 nm.
Sandwich ELISA analysis of Human CD27 matched pair antibodies Elisa assay was performed by coating wells of a 96-well plate with 100 µl per well of capture antibody (HA722974) diluted in carbonate/bicarbonate buffer, at a concentration of 2 µg/ml overnight at 4℃. Wells of the plate were washed, blocked with 150 µl 0.05% tween-20 1% BSA blocking buffer, and incubated with serial diluted Recombinant Human CD27 protein (HA210880) starting from 4000 pg/ml to 0 pg/ml and detect antibody (HA722975, Biotin, 0.2 µg/ml) for 1 hour at 30℃ with shaking. Then the plate was washed and incubated with 100 µl per well of SA-HRP for 0.5 hour at 30℃ with shaking. Detection was performed using an Ultra TMB Substrate for 10 minutes at room temperature in the dark. The reaction was stopped with sulfuric acid and absorbances were read on a spectrophotometer at 450 nm.
Interpolated concentrations of native CD27 in human cell culture supernatant samples. Interpolated concentration of native CD27 was measured in duplicate at different sample concentrations and interpolated from the CD27 standard curves. Undiluted samples were 50% cell supernatant. The interpolated dilution factor corrected values were plotted (mean +/- SD, n=2). The mean CD27 concentration was determined to be 3084 pg/ml in Daudi and 3995 pg/ml in Raji in cell culture supernatant, undetectable in MCF7 cell culture supernatant.
quantity: 100μl
price: 649.00 USD
to the supplier
Human CD27/TNFRSF7
HUABIO
catalog: HA722976B
domestic rabbit monoclonal (PSH08-33)
reactivity:
human
conjugate: biotin
application:
ELISA
Sandwich ELISA analysis of Human CD27 matched pair antibodies Elisa assay was performed by coating wells of a 96-well plate with 100 µl per well of capture antibody (HA722973) diluted in carbonate/bicarbonate buffer, at a concentration of 2 µg/ml overnight at 4℃. Wells of the plate were washed, blocked with 150 µl 0.05% tween-20 1% BSA blocking buffer, and incubated with serial diluted Recombinant Human CD27 protein (HA210880) starting from 4000 pg/ml to 0 pg/ml and detect antibody (HA722976B, 0.2 µg/ml) for 1 hour at 30℃ with shaking. Then the plate was washed and incubated with 100 µl per well of SA-HRP for 0.5 hour at 30℃ with shaking. Detection was performed using an Ultra TMB Substrate for 10 minutes at room temperature in the dark. The reaction was stopped with sulfuric acid and absorbances were read on a spectrophotometer at 450 nm.
Sandwich ELISA analysis of Human CD27 matched pair antibodies Elisa assay was performed by coating wells of a 96-well plate with 100 µl per well of capture antibody (HA722974) diluted in carbonate/bicarbonate buffer, at a concentration of 2 µg/ml overnight at 4℃. Wells of the plate were washed, blocked with 150 µl 0.05% tween-20 1% BSA blocking buffer, and incubated with serial diluted Recombinant Human CD27 protein (HA210880) starting from 4000 pg/ml to 0 pg/ml and detect antibody (HA722976B, 0.2 µg/ml) for 1 hour at 30℃ with shaking. Then the plate was washed and incubated with 100 µl per well of SA-HRP for 0.5 hour at 30℃ with shaking. Detection was performed using an Ultra TMB Substrate for 10 minutes at room temperature in the dark. The reaction was stopped with sulfuric acid and absorbances were read on a spectrophotometer at 450 nm.
Interpolated concentrations of native CD27 in human cell culture supernatant samples. Interpolated concentration of native CD27 was measured in duplicate at different sample concentrations and interpolated from the CD27 standard curves. Undiluted samples were 50% cell supernatant. The interpolated dilution factor corrected values were plotted (mean +/- SD, n=2). The mean CD27 concentration was determined to be 3084 pg/ml in Daudi and 3995 pg/ml in Raji in cell culture supernatant, undetectable in MCF7 cell culture supernatant.
quantity: 100μl
price: 409.00 USD
to the supplier
CD27
HUABIO
catalog: HA723042
domestic rabbit monoclonal (PSH08-90)
reactivity:
human
application:
western blot
,
immunoprecipitation
,
flow cytometry
,
immunohistochemistry - paraffin section
Western blot analysis of CD27 on different lysates with Rabbit anti-CD27 antibody (HA723042) at 1/2,000 dilution. Lane 1: Raji cell lysate Lane 2: Ramos cell lysate Lane 3: MCF7 cell lysate (negative) Lane 4: Daudi cell lysate Lysates/proteins at 20 µg/Lane. Predicted band size: 29 kDa Observed band size: 55 kDa Exposure time: 30 seconds; ECL: K1801; 4-20% SDS-PAGE gel. Proteins were transferred to a PVDF membrane and blocked with 5% NFDM/TBST for 1 hour at room temperature. The primary antibody (HA723042) at 1/2,000 dilution was used in 5% NFDM/TBST at 4℃ overnight. Goat Anti-Rabbit IgG - HRP Secondary Antibody (HA1001) at 1/50,000 dilution was used for 1 hour at room temperature.
Immunocytochemistry analysis of Raji cells labeling CD27 with Rabbit anti-CD27 antibody (HA723042) at 1/100 dilution. Cells were fixed in 4% paraformaldehyde for 15 minutes at room temperature, permeabilized with 0.1% Triton X-100 in PBS for 15 minutes at room temperature, then blocked with 1% BSA in 10% negative goat serum for 1 hour at room temperature. Cells were then incubated with Rabbit anti-CD27 antibody (HA723042) at 1/100 dilution in 1% BSA in PBST overnight at 4 ℃. Goat Anti-Rabbit IgG H&L (iFluor™ 488, HA1121) was used as the secondary antibody at 1/1,000 dilution. PBS instead of the primary antibody was used as the secondary antibody only control. Nuclear DNA was labelled in blue with DAPI. Beta tubulin (HA601187, red) was stained at 1/100 dilution overnight at +4℃. Goat Anti-Mouse IgG H&L (iFluor™ 594, HA1126) was used as the secondary antibody at 1/1,000 dilution.
Immunohistochemical analysis of paraffin-embedded human tonsil tissue with Rabbit anti-CD27 antibody (HA723042) at 1/200 dilution. The section was pre-treated using heat mediated antigen retrieval with Tris-EDTA buffer (pH 9.0) for 20 minutes. The tissues were blocked in 1% BSA for 20 minutes at room temperature, washed with ddH2O and PBS, and then probed with the primary antibody (HA723042) at 1/200 dilution for 1 hour at room temperature. The detection was performed using an HRP conjugated compact polymer system. DAB was used as the chromogen. Tissues were counterstained with hematoxylin and mounted with DPX.
quantity: 100μl
price: 385.00 USD
to the supplier
CD27
HUABIO
catalog: HA723828F
domestic rabbit monoclonal (PSH08-90)
reactivity:
human
conjugate: APC
application:
flow cytometry
Flow cytometric analysis of human peripheral blood cells labelling CD27 (HA723828F, APC). Cells were washed twice with cold PBS and resuspend. Then incubated for 1 hour at +4℃ with CD27 (HA723828F, APC, 1/1,000) compared with Rabbit IgG Isotype Control (APC, 1/1,000).
quantity: 100T
price: 229.00 USD
to the supplier
CD27
HUABIO
catalog: HA751255
domestic rabbit monoclonal (PSH08-90)
reactivity:
human
application:
western blot
,
immunoprecipitation
,
flow cytometry
,
immunohistochemistry - paraffin section
Western blot analysis of CD27 on different lysates with Rabbit anti-CD27 antibody (HA751255) at 1/2,000 dilution. Lane 1: Raji cell lysate Lane 2: Ramos cell lysate Lane 3: MCF7 cell lysate (negative) Lane 4: Daudi cell lysate Lysates/proteins at 20 µg/Lane. Predicted band size: 29 kDa Observed band size: 55 kDa Exposure time: 30 seconds; ECL: K1801; 4-20% SDS-PAGE gel. Proteins were transferred to a PVDF membrane and blocked with 5% NFDM/TBST for 1 hour at room temperature. The primary antibody (HA751255) at 1/2,000 dilution was used in 5% NFDM/TBST at 4℃ overnight. Goat Anti-Rabbit IgG - HRP Secondary Antibody (HA1001) at 1/50,000 dilution was used for 1 hour at room temperature.
Immunocytochemistry analysis of Raji cells labeling CD27 with Rabbit anti-CD27 antibody (HA751255) at 1/100 dilution. Cells were fixed in 4% paraformaldehyde for 15 minutes at room temperature, permeabilized with 0.1% Triton X-100 in PBS for 15 minutes at room temperature, then blocked with 1% BSA in 10% negative goat serum for 1 hour at room temperature. Cells were then incubated with Rabbit anti-CD27 antibody (HA751255) at 1/100 dilution in 1% BSA in PBST overnight at 4 ℃. Goat Anti-Rabbit IgG H&L (iFluor™ 488, HA1121) was used as the secondary antibody at 1/1,000 dilution. PBS instead of the primary antibody was used as the secondary antibody only control. Nuclear DNA was labelled in blue with DAPI. Beta tubulin (HA601187, red) was stained at 1/100 dilution overnight at +4℃. Goat Anti-Mouse IgG H&L (iFluor™ 594, HA1126) was used as the secondary antibody at 1/1,000 dilution.
Immunohistochemical analysis of paraffin-embedded human tonsil tissue with Rabbit anti-CD27 antibody (HA751255) at 1/200 dilution. The section was pre-treated using heat mediated antigen retrieval with Tris-EDTA buffer (pH 9.0) for 20 minutes. The tissues were blocked in 1% BSA for 20 minutes at room temperature, washed with ddH2O and PBS, and then probed with the primary antibody (HA751255) at 1/200 dilution for 1 hour at room temperature. The detection was performed using an HRP conjugated compact polymer system. DAB was used as the chromogen. Tissues were counterstained with hematoxylin and mounted with DPX.
quantity: 100μl
price: 649.00 USD
to the supplier