Sign in
Sign up
home
>
HUABIO
> HUABIO CD163 antibody
CD163
HUABIO
catalog: EM1901-90
mouse monoclonal (A3B3)
reactivity:
human
application:
western blot
,
flow cytometry
,
immunohistochemistry - paraffin section
Western blot analysis of CD163 on different lysates with Mouse anti-CD163 antibody (EM1901-90) at 1/1,000 dilution. Lane 1: Human lung tissue lysate Lane 2: Human liver tissue lysate Lysates/proteins at 40 µg/Lane. Predicted band size: 125 kDa Observed band size: 150-170 kDa Exposure time: 25 seconds; ECL: K1801; 4-20% SDS-PAGE gel. Proteins were transferred to a PVDF membrane and blocked with 5% NFDM/TBST for 1 hour at room temperature. The primary antibody (EM1901-90) at 1/1,000 dilution was used in 5% NFDM/TBST at 4℃ overnight. Goat Anti-Mouse IgG - HRP Secondary Antibody (HA1006) at 1/50,000 dilution was used for 1 hour at room temperature.
Immunohistochemical analysis of paraffin-embedded human lung tissue using anti-CD163 antibody. The section was pre-treated using heat mediated antigen retrieval with Tris-EDTA buffer (pH 8.0-8.4) for 20 minutes.The tissues were blocked in 5% BSA for 30 minutes at room temperature, washed with ddH2O and PBS, and then probed with the primary antibody (EM1901-90, 1/200) for 30 minutes at room temperature. The detection was performed using an HRP conjugated compact polymer system. DAB was used as the chromogen. Tissues were counterstained with hematoxylin and mounted with DPX.
Immunohistochemical analysis of paraffin-embedded human liver carcinoma tissue using anti-CD163 antibody. The section was pre-treated using heat mediated antigen retrieval with Tris-EDTA buffer (pH 8.0-8.4) for 20 minutes.The tissues were blocked in 5% BSA for 30 minutes at room temperature, washed with ddH2O and PBS, and then probed with the primary antibody (EM1901-90, 1/200) for 30 minutes at room temperature. The detection was performed using an HRP conjugated compact polymer system. DAB was used as the chromogen. Tissues were counterstained with hematoxylin and mounted with DPX.
quantity: 100μl
price: 360.00 USD
to the supplier
CD163
HUABIO
catalog: EM1901-91
mouse monoclonal (A3B5)
reactivity:
human
application:
flow cytometry
,
immunohistochemistry - paraffin section
Immunohistochemical analysis of paraffin-embedded human liver carcinoma tissue using anti-CD163 antibody. The section was pre-treated using heat mediated antigen retrieval with Tris-EDTA buffer (pH 8.0-8.4) for 20 minutes.The tissues were blocked in 5% BSA for 30 minutes at room temperature, washed with ddH2O and PBS, and then probed with the primary antibody (EM1901-91, 1/200) for 30 minutes at room temperature. The detection was performed using an HRP conjugated compact polymer system. DAB was used as the chromogen. Tissues were counterstained with hematoxylin and mounted with DPX.
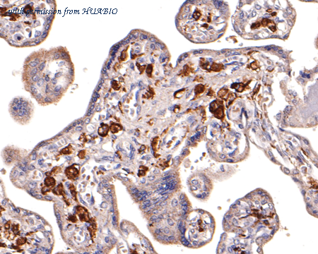
Immunohistochemical analysis of paraffin-embedded human placenta tissue using anti-CD163 antibody. The section was pre-treated using heat mediated antigen retrieval with Tris-EDTA buffer (pH 8.0-8.4) for 20 minutes.The tissues were blocked in 5% BSA for 30 minutes at room temperature, washed with ddH2O and PBS, and then probed with the primary antibody (EM1901-91, 1/200) for 30 minutes at room temperature. The detection was performed using an HRP conjugated compact polymer system. DAB was used as the chromogen. Tissues were counterstained with hematoxylin and mounted with DPX.
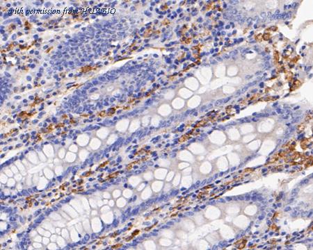
Immunohistochemical analysis of paraffin-embedded human colon tissue using anti-CD163 antibody. The section was pre-treated using heat mediated antigen retrieval with Tris-EDTA buffer (pH 8.0-8.4) for 20 minutes.The tissues were blocked in 5% BSA for 30 minutes at room temperature, washed with ddH2O and PBS, and then probed with the primary antibody (EM1901-91, 1/200) for 30 minutes at room temperature. The detection was performed using an HRP conjugated compact polymer system. DAB was used as the chromogen. Tissues were counterstained with hematoxylin and mounted with DPX.
quantity: 100μl
price: 360.00 USD
to the supplier
CD163
HUABIO
catalog: ER1804-03
domestic rabbit polyclonal
reactivity:
human
,
mouse
,
rat
application:
western blot
,
immunohistochemistry - paraffin section
Western blot analysis of CD163 on different lysates with Rabbit anti-CD163 antibody (ER1804-03) at 1/1,000 dilution. Lane 1: Human lung tissue lysate Lane 2: Human liver tissue lysate Lysates/proteins at 40 µg/Lane. Predicted band size: 125 kDa Observed band size: 150-170 kDa Exposure time: 10 seconds; ECL: K1801; 4-20% SDS-PAGE gel. Proteins were transferred to a PVDF membrane and blocked with 5% NFDM/TBST for 1 hour at room temperature. The primary antibody (ER1804-03) at 1/1,000 dilution was used in 5% NFDM/TBST at 4℃ overnight. Goat Anti-Rabbit IgG - HRP Secondary Antibody (HA1001) at 1/50,000 dilution was used for 1 hour at room temperature.
Immunohistochemical analysis of paraffin-embedded human placenta tissue using anti-CD163 antibody. The section was pre-treated using heat mediated antigen retrieval with Tris-EDTA buffer (pH 8.0-8.4) for 20 minutes.The tissues were blocked in 5% BSA for 30 minutes at room temperature, washed with ddH2O and PBS, and then probed with the antibody (ER1804-03) at 1/200 dilution, for 30 minutes at room temperature and detected using an HRP conjugated compact polymer system. DAB was used as the chromogen. Counter stained with hematoxylin and mounted with DPX.
Immunohistochemical analysis of paraffin-embedded mouse liver tissue using anti-CD163 antibody. The section was pre-treated using heat mediated antigen retrieval with Tris-EDTA buffer (pH 8.0-8.4) for 20 minutes.The tissues were blocked in 5% BSA for 30 minutes at room temperature, washed with ddH2O and PBS, and then probed with the antibody (ER1804-03) at 1/200 dilution, for 30 minutes at room temperature and detected using an HRP conjugated compact polymer system. DAB was used as the chromogen. Counter stained with hematoxylin and mounted with DPX.
quantity: 100μl
price: 330 USD
to the supplier
CD163
HUABIO
catalog: ET1704-43
domestic rabbit monoclonal (JA51-30)
reactivity:
human
application:
western blot
,
immunoprecipitation
,
immunohistochemistry - paraffin section
Fluorescence multiplex immunohistochemical analysis of the human cervical cancer (Formalin/PFA-fixed paraffin-embedded sections). Panel A: the merged image of anti-CD14 (ET1610-85, red), anti-S100A9 (ET1702-73, green), anti-CD68 (HA601115, cyan), anti-panCK (HA601138, magenta) and anti-CD163 (ET1704-43, yellow) on human cervical cancer. Panel B: anti- CD14 stained on monocyte and MDSCs. Panel C: anti-S100A9 stained on MDSCs. Panel D: anti-CD68 stained on macrophage M1 and macrophage M2. Panel E: anti-panCK stained on tumor cells. Panel F: anti-CD163 stained on macrophage M2. HRP Conjugated UltraPolymer Goat Polyclonal Antibody HA1119/HA1120 was used as a secondary antibody. The immunostaining was performed with the Sequential Immuno-staining Kit (IRISKit™MH010101, www.luminiris.cn). The section was incubated in five rounds of staining: in the order of ET1610-85 (1/1,000 dilution), ET1702-73 (1/1,000 dilution), HA601115 (1/2,000 dilution), HA601138 (1/3,000 dilution), and ET1704-43 (1/2,000 dilution) for 20 mins at room temperature. Each round was followed by a separate fluorescent tyramide signal amplification system. Heat mediated antigen retrieval with Tris-EDTA buffer (pH 9.0) for 30 mins at 95℃. DAPI (blue) was used as a nuclear counter stain. Image acquisition was performed with Olympus VS200 Slide Scanner.
Fluorescence multiplex immunohistochemical analysis of the human pancreatic carcinoma (Formalin/PFA-fixed paraffin-embedded sections). Panel A: the merged image of anti-CD68 (EM1901-95, green), anti-CD163 (ET1704-43, red) and anti-PanCK (HA601094, violet) on human pancreatic carcinoma. Panel B: anti- CD68 stained on M1 macrophages. Panel C: anti-CD163 stained on M2 macrophages cells. Panel D: anti-panCK stained on cancer cells. HRP Conjugated UltraPolymer Goat Polyclonal Antibody HA1119/HA1120 was used as a secondary antibody. The immunostaining was performed with the Sequential Immuno-staining Kit (IRISKitCmTSA Kit 900803). The section was incubated in three rounds of staining: in the order of EM1901-95 (1/3,000 dilution), ET1704-43 (1/3,000 dilution), and HA601094 (1/3,000 dilution) for 20 mins at room temperature. Each round was followed by a separate fluorescent tyramide signal amplification system. Heat mediated antigen retrieval with Tris-EDTA buffer (pH 9.0) for 30 mins at 95℃. DAPI (blue) was used as a nuclear counter stain. Image acquisition was performed with Nikon ECLIPSE Ni-E microscope.
Fluorescence multiplex immunohistochemical analysis of human cervical carcinoma (Formalin/PFA-fixed paraffin-embedded sections). Panel A: the merged image of anti-S100A9 (ET1702-73, White), anti-CD117 (HA721154, Red) and anti-CD163(ET1704-43, Yellow) on human cervical carcinoma. HRP Conjugated UltraPolymer Goat Polyclonal Antibody HA1119/HA1120 was used as a secondary antibody. The immunostaining was performed with the Sequential Immuno-staining Kit (IRISKit™MH010101, www.luminiris.cn). The section was incubated in three rounds of staining: in the order of ET1702-73 (1/1,000 dilution), HA721154 (1/1,000 dilution) and ET1704-43 (1/2,000 dilution) for 20 mins at room temperature. Each round was followed by a separate fluorescent tyramide signal amplification system. Heat mediated antigen retrieval with Tris-EDTA buffer (pH 9.0) for 30 mins at 95℃. DAPI (blue) was used as a nuclear counter stain. Image acquisition was performed with Zeiss Observer 7 Inverted Fluorescence Microscope.
quantity: 100μl
price: 385.00 USD
to the supplier
Human CD163
HUABIO
catalog: HA723566
domestic rabbit monoclonal (PSH13-78)
reactivity:
human
application:
ELISA
Sandwich ELISA analysis of human CD163 matched pair antibodies Capture: HA723566, Human CD163 Rabbit mAb [PSH13-78] Detector: HA723567, Human CD163 Rabbit mAb [PSH13-79] Elisa assay was performed by coating wells of a 96-well plate with 100 µl per well of capture antibody (HA723566) diluted in carbonate/bicarbonate buffer, at a concentration of 2 µg/mL overnight at 4℃. Wells of the plate were washed, blocked with 150 µl 0.05% tween-20 1%BSA blocking buffer, and incubated with serial diluted Recombinant Human CD163 protein (HA211143) starting from 10,000 pg/ml to 0 pg/ml and detect antibody (HA723567, Biotin, 0.2 µg/ml) for 1 hour at 30℃ with shaking. Then the plate was washed and incubated with 100 µl per well of SA-HRP for 0.5 hour at 30℃ with shaking. Detection was performed using an Ultra TMB Substrate for 10 minutes at room temperature in the dark. The reaction was stopped with sulfuric acid and absorbances were read on a spectrophotometer at 450 nm.
Interpolated concentrations of native CD163 in human serum samples. Capture: HA723566, Human CD163 Rabbit mAb [PSH13-78] Detector: HA723567, Human CD163 Rabbit mAb [PSH13-79] The concentrations of CD163 were measured in duplicates, interpolated from the CD163 standard curve and corrected for sample dilution. Undiluted samples are human serum 1%. The interpolated dilution factor corrected values are plotted (mean +/- SD, n=2). The mean CD163 concentration was determined to be 891.6 ng/ml in human serum.
Interpolated concentrations of spiked CD163 in human cell culture media samples. Capture: HA723566, Human CD163 Rabbit mAb [PSH13-78] Detector: HA723567, Human CD163 Rabbit mAb [PSH13-79] The concentrations of CD163 were measured in duplicates, interpolated from the CD163 standard curves and corrected for sample dilution. Undiluted samples are as follows: cell culture media 25%. The interpolated dilution factor corrected values are plotted (mean +/- SD, n=2).
quantity: 100μl
price: 649.00 USD
to the supplier
Human CD163
HUABIO
catalog: HA723567
domestic rabbit monoclonal (PSH13-79)
reactivity:
human
application:
ELISA
Sandwich ELISA analysis of human CD163 matched pair antibodies Capture: HA723566, Human CD163 Rabbit mAb [PSH13-78] Detector: HA723567, Human CD163 Rabbit mAb [PSH13-79] Elisa assay was performed by coating wells of a 96-well plate with 100 µl per well of capture antibody (HA723566) diluted in carbonate/bicarbonate buffer, at a concentration of 2 µg/mL overnight at 4℃. Wells of the plate were washed, blocked with 150 µl 0.05% tween-20 1%BSA blocking buffer, and incubated with serial diluted Recombinant Human CD163 protein (HA211143) starting from 10,000 pg/ml to 0 pg/ml and detect antibody (HA723567, Biotin, 0.2 µg/ml) for 1 hour at 30℃ with shaking. Then the plate was washed and incubated with 100 µl per well of SA-HRP for 0.5 hour at 30℃ with shaking. Detection was performed using an Ultra TMB Substrate for 10 minutes at room temperature in the dark. The reaction was stopped with sulfuric acid and absorbances were read on a spectrophotometer at 450 nm.
Sandwich ELISA analysis of human CD163 matched pair antibodies Capture: HA723569, Human CD163 Rabbit mAb [PSH13-80] Detector: HA723567, Human CD163 Rabbit mAb [PSH13-79] Elisa assay was performed by coating wells of a 96-well plate with 100 µl per well of capture antibody (HA723569) diluted in carbonate/bicarbonate buffer, at a concentration of 2 µg/mL overnight at 4℃. Wells of the plate were washed, blocked with 150 µl 0.05% tween-20 1%BSA blocking buffer, and incubated with serial diluted Recombinant Human CD163 protein (HA211143) starting from 10,000 pg/ml to 0 pg/ml and detect antibody (HA723567, Biotin, 0.2 µg/ml) for 1 hour at 30℃ with shaking. Then the plate was washed and incubated with 100 µl per well of SA-HRP for 0.5 hour at 30℃ with shaking. Detection was performed using an Ultra TMB Substrate for 10 minutes at room temperature in the dark. The reaction was stopped with sulfuric acid and absorbances were read on a spectrophotometer at 450 nm.
Interpolated concentrations of native CD163 in human serum samples. Capture: HA723566, Human CD163 Rabbit mAb [PSH13-78] Detector: HA723567, Human CD163 Rabbit mAb [PSH13-79] The concentrations of CD163 were measured in duplicates, interpolated from the CD163 standard curve and corrected for sample dilution. Undiluted samples are human serum 1%. The interpolated dilution factor corrected values are plotted (mean +/- SD, n=2). The mean CD163 concentration was determined to be 891.6 ng/ml in human serum.
quantity: 100μl
price: 649.00 USD
to the supplier
Human CD163
HUABIO
catalog: HA723568B
domestic rabbit monoclonal (PSH13-79)
reactivity:
human
conjugate: biotin
application:
ELISA
Sandwich ELISA analysis of human CD163 matched pair antibodies Capture: HA723566, Human CD163 Rabbit mAb [PSH13-78] Detector: HA723567, Human CD163 Rabbit mAb [PSH13-79] Elisa assay was performed by coating wells of a 96-well plate with 100 µl per well of capture antibody (HA723566) diluted in carbonate/bicarbonate buffer, at a concentration of 2 µg/mL overnight at 4℃. Wells of the plate were washed, blocked with 150 µl 0.05% tween-20 1%BSA blocking buffer, and incubated with serial diluted Recombinant Human CD163 protein (HA211143) starting from 10,000 pg/ml to 0 pg/ml and detect antibody (HA723567, Biotin, 0.2 µg/ml) for 1 hour at 30℃ with shaking. Then the plate was washed and incubated with 100 µl per well of SA-HRP for 0.5 hour at 30℃ with shaking. Detection was performed using an Ultra TMB Substrate for 10 minutes at room temperature in the dark. The reaction was stopped with sulfuric acid and absorbances were read on a spectrophotometer at 450 nm.
Sandwich ELISA analysis of human CD163 matched pair antibodies Capture: HA723569, Human CD163 Rabbit mAb [PSH13-80] Detector: HA723567, Human CD163 Rabbit mAb [PSH13-79] Elisa assay was performed by coating wells of a 96-well plate with 100 µl per well of capture antibody (HA723569) diluted in carbonate/bicarbonate buffer, at a concentration of 2 µg/mL overnight at 4℃. Wells of the plate were washed, blocked with 150 µl 0.05% tween-20 1%BSA blocking buffer, and incubated with serial diluted Recombinant Human CD163 protein (HA211143) starting from 10,000 pg/ml to 0 pg/ml and detect antibody (HA723567, Biotin, 0.2 µg/ml) for 1 hour at 30℃ with shaking. Then the plate was washed and incubated with 100 µl per well of SA-HRP for 0.5 hour at 30℃ with shaking. Detection was performed using an Ultra TMB Substrate for 10 minutes at room temperature in the dark. The reaction was stopped with sulfuric acid and absorbances were read on a spectrophotometer at 450 nm.
Interpolated concentrations of native CD163 in human serum samples. Capture: HA723566, Human CD163 Rabbit mAb [PSH13-78] Detector: HA723567, Human CD163 Rabbit mAb [PSH13-79] The concentrations of CD163 were measured in duplicates, interpolated from the CD163 standard curve and corrected for sample dilution. Undiluted samples are human serum 1%. The interpolated dilution factor corrected values are plotted (mean +/- SD, n=2). The mean CD163 concentration was determined to be 891.6 ng/ml in human serum.
quantity: 100μl
price: 409.00 USD
to the supplier
Human CD163
HUABIO
catalog: HA723569
domestic rabbit monoclonal (PSH13-80)
reactivity:
human
application:
ELISA
Sandwich ELISA analysis of human CD163 matched pair antibodies Capture: HA723569, Human CD163 Rabbit mAb [PSH13-80] Detector: HA723567, Human CD163 Rabbit mAb [PSH13-79] Elisa assay was performed by coating wells of a 96-well plate with 100 µl per well of capture antibody (HA723569) diluted in carbonate/bicarbonate buffer, at a concentration of 2 µg/mL overnight at 4℃. Wells of the plate were washed, blocked with 150 µl 0.05% tween-20 1%BSA blocking buffer, and incubated with serial diluted Recombinant Human CD163 protein (HA211143) starting from 10,000 pg/ml to 0 pg/ml and detect antibody (HA723567, Biotin, 0.2 µg/ml) for 1 hour at 30℃ with shaking. Then the plate was washed and incubated with 100 µl per well of SA-HRP for 0.5 hour at 30℃ with shaking. Detection was performed using an Ultra TMB Substrate for 10 minutes at room temperature in the dark. The reaction was stopped with sulfuric acid and absorbances were read on a spectrophotometer at 450 nm.
Interpolated concentrations of native CD163 in human serum samples. Capture: HA723569, Human CD163 Rabbit mAb [PSH13-80] Detector: HA723567, Human CD163 Rabbit mAb [PSH13-79] The concentrations of CD163 were measured in duplicates, interpolated from the CD163 standard curve and corrected for sample dilution. Undiluted samples are human serum 0.5%. The interpolated dilution factor corrected values are plotted (mean +/- SD, n=2). The mean CD163 concentration was determined to be 745.9 ng/ml in human serum.
Interpolated concentrations of spiked CD163 in human cell culture media samples. Capture: HA723569, Human CD163 Rabbit mAb [PSH13-80] Detector: HA723567, Human CD163 Rabbit mAb [PSH13-79] The concentrations of CD163 were measured in duplicates, interpolated from the CD163 standard curves and corrected for sample dilution. Undiluted samples are as follows: cell culture media 25%. The interpolated dilution factor corrected values are plotted (mean +/- SD, n=2).
quantity: 100μl
price: 649.00 USD
to the supplier
CD163
HUABIO
catalog: HA723706
domestic rabbit monoclonal (PSH15-06)
reactivity:
human
application:
western blot
,
immunohistochemistry - paraffin section
Immunohistochemical analysis of paraffin-embedded human appendix tissue with Rabbit anti-CD163 antibody (HA723706) at 1/2,000 dilution. The section was pre-treated using heat mediated antigen retrieval with Tris-EDTA buffer (pH 9.0) for 20 minutes. The tissues were blocked in 1% BSA for 20 minutes at room temperature, washed with ddH2O and PBS, and then probed with the primary antibody (HA723706) at 1/2,000 dilution for 1 hour at room temperature. The detection was performed using an HRP conjugated compact polymer system. DAB was used as the chromogen. Tissues were counterstained with hematoxylin and mounted with DPX.
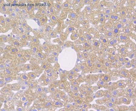
Immunohistochemical analysis of paraffin-embedded human liver tissue with Rabbit anti-CD163 antibody (HA723706) at 1/2,000 dilution. The section was pre-treated using heat mediated antigen retrieval with Tris-EDTA buffer (pH 9.0) for 20 minutes. The tissues were blocked in 1% BSA for 20 minutes at room temperature, washed with ddH2O and PBS, and then probed with the primary antibody (HA723706) at 1/2,000 dilution for 1 hour at room temperature. The detection was performed using an HRP conjugated compact polymer system. DAB was used as the chromogen. Tissues were counterstained with hematoxylin and mounted with DPX.
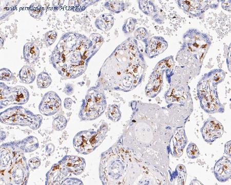
Immunohistochemical analysis of paraffin-embedded human placenta tissue with Rabbit anti-CD163 antibody (HA723706) at 1/2,000 dilution. The section was pre-treated using heat mediated antigen retrieval with Tris-EDTA buffer (pH 9.0) for 20 minutes. The tissues were blocked in 1% BSA for 20 minutes at room temperature, washed with ddH2O and PBS, and then probed with the primary antibody (HA723706) at 1/2,000 dilution for 1 hour at room temperature. The detection was performed using an HRP conjugated compact polymer system. DAB was used as the chromogen. Tissues were counterstained with hematoxylin and mounted with DPX.
quantity: 100μl
price: 385.00 USD
to the supplier
CD163
HUABIO
catalog: HA750412
domestic rabbit monoclonal (JA51-30)
reactivity:
human
application:
western blot
,
immunoprecipitation
,
immunohistochemistry - paraffin section
Western blot analysis of CD163 on different lysates with Rabbit anti-CD163 antibody (HA750412) at 1/1,000 dilution. Lane 1: Human lung tissue lysate Lane 2: Human liver tissue lysate Lysates/proteins at 40 µg/Lane. Predicted band size: 125 kDa Observed band size: 150-170 kDa Exposure time: 1 minute; ECL: K1801; 4-20% SDS-PAGE gel. Proteins were transferred to a PVDF membrane and blocked with 5% NFDM/TBST for 1 hour at room temperature. The primary antibody (HA750412) at 1/1,000 dilution was used in 5% NFDM/TBST at 4℃ overnight. Goat Anti-Rabbit IgG - HRP Secondary Antibody (HA1001) at 1/50,000 dilution was used for 1 hour at room temperature.
Immunohistochemical analysis of paraffin-embedded human liver tissue with Rabbit anti-CD163 antibody (HA750412) at 1/10,000 dilution. The section was pre-treated using heat mediated antigen retrieval with Tris-EDTA buffer (pH 9.0) for 20 minutes. The tissues were blocked in 1% BSA for 20 minutes at room temperature, washed with ddH2O and PBS, and then probed with the primary antibody (HA750412) at 1/10,000 dilution for 1 hour at room temperature. The detection was performed using an HRP conjugated compact polymer system. DAB was used as the chromogen. Tissues were counterstained with hematoxylin and mounted with DPX.
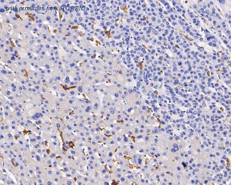
Immunohistochemical analysis of paraffin-embedded human spleen tissue with Rabbit anti-CD163 antibody (HA750412) at 1/10,000 dilution. The section was pre-treated using heat mediated antigen retrieval with Tris-EDTA buffer (pH 9.0) for 20 minutes. The tissues were blocked in 1% BSA for 20 minutes at room temperature, washed with ddH2O and PBS, and then probed with the primary antibody (HA750412) at 1/10,000 dilution for 1 hour at room temperature. The detection was performed using an HRP conjugated compact polymer system. DAB was used as the chromogen. Tissues were counterstained with hematoxylin and mounted with DPX.
quantity: 100μl
price: 649.00 USD
to the supplier
CD163
HUABIO
catalog: IRS002
domestic rabbit monoclonal
reactivity:
human
mIHC analysis of human tonsil tissue (Formalin/PFA-fixed paraffin-embedded sections) with CD8, CD4 (IRS005), FOXP3, CD68 (IRS004), CD38 (IRS006), CD11c (IRS001), PD-L1, CD163 (IRS002) and CD20 (IRS003) antibody at 1/100 dilution. The immunostaining was performed with the IRISKitCmTSA Kit (900802). Heat mediated antigen retrieval with Tris-EDTA buffer (pH 9.0) for 30 mins at 95℃. DAPI (blue) was used as a nuclear counter stain. Image acquisition was performed with Olympus VS200 Slide Scanner.
mIHC analysis of human cervical cancer tissue (Formalin/PFA-fixed paraffin-embedded sections) with CD8, CD20 (IRS003), FOXP3, CK19 (IRS011), PD-L1, CD4 (IRS005), CD163 (IRS002) and CD68 (IRS004) antibody at 1/100 dilution. The immunostaining was performed with the IRISKitCmTSA Kit (900802). Heat mediated antigen retrieval with Tris-EDTA buffer (pH 9.0) for 30 mins at 95℃. DAPI (blue) was used as a nuclear counter stain. Image acquisition was performed with Olympus VS200 Slide Scanner.
mIHC analysis of human tonsil tissue (Formalin/PFA-fixed paraffin-embedded sections) with CD56 (IRS026), CD68 (IRS004), CD163 (IRS002), panCK (IRS010) and CD20 (IRS003) antibody at 1/100 dilution. The immunostaining was performed with the IRISKitCmTSA Kit (900802). Heat mediated antigen retrieval with Tris-EDTA buffer (pH 9.0) for 30 mins at 95℃. DAPI (blue) was used as a nuclear counter stain. Image acquisition was performed with Olympus VS200 Slide Scanner.
quantity: 100μl
price: 385.00 USD
to the supplier
CD163
HUABIO
catalog: HA601549
domestic rabbit polyclonal (JA51-30)
reactivity:
human
application:
immunohistochemistry - paraffin section
Immunohistochemical analysis of paraffin-embedded human liver tissue with Rat anti-CD163 antibody (HA601549) at 1/1,000 dilution. The section was pre-treated using heat mediated antigen retrieval with Tris-EDTA buffer (pH 9.0) for 20 minutes. The tissues were blocked in 1% BSA for 20 minutes at room temperature, washed with ddH2O and PBS, and then probed with the primary antibody (HA601549) at 1/1,000 dilution for 1 hour at room temperature. The detection was performed using an HRP conjugated compact polymer system. DAB was used as the chromogen. Tissues were counterstained with hematoxylin and mounted with DPX.
Immunohistochemical analysis of paraffin-embedded human placenta tissue with Rat anti-CD163 antibody (HA601549) at 1/1,000 dilution. The section was pre-treated using heat mediated antigen retrieval with Tris-EDTA buffer (pH 9.0) for 20 minutes. The tissues were blocked in 1% BSA for 20 minutes at room temperature, washed with ddH2O and PBS, and then probed with the primary antibody (HA601549) at 1/1,000 dilution for 1 hour at room temperature. The detection was performed using an HRP conjugated compact polymer system. DAB was used as the chromogen. Tissues were counterstained with hematoxylin and mounted with DPX.
Immunohistochemical analysis of paraffin-embedded human spleen tissue with Rat anti-CD163 antibody (HA601549) at 1/1,000 dilution. The section was pre-treated using heat mediated antigen retrieval with Tris-EDTA buffer (pH 9.0) for 20 minutes. The tissues were blocked in 1% BSA for 20 minutes at room temperature, washed with ddH2O and PBS, and then probed with the primary antibody (HA601549) at 1/1,000 dilution for 1 hour at room temperature. The detection was performed using an HRP conjugated compact polymer system. DAB was used as the chromogen. Tissues were counterstained with hematoxylin and mounted with DPX.
quantity: 100μl
price: 385.00 USD
to the supplier
CD163
HUABIO
catalog: HA610364
domestic rabbit polyclonal (JA51-30)
reactivity:
human
application:
immunohistochemistry - paraffin section
Immunohistochemical analysis of paraffin-embedded human liver tissue with Rat anti-CD163 antibody (HA610364) at 1/1,000 dilution. The section was pre-treated using heat mediated antigen retrieval with Tris-EDTA buffer (pH 9.0) for 20 minutes. The tissues were blocked in 1% BSA for 20 minutes at room temperature, washed with ddH2O and PBS, and then probed with the primary antibody (HA610364) at 1/1,000 dilution for 1 hour at room temperature. The detection was performed using an HRP conjugated compact polymer system. DAB was used as the chromogen. Tissues were counterstained with hematoxylin and mounted with DPX.
Immunohistochemical analysis of paraffin-embedded human placenta tissue with Rat anti-CD163 antibody (HA610364) at 1/1,000 dilution. The section was pre-treated using heat mediated antigen retrieval with Tris-EDTA buffer (pH 9.0) for 20 minutes. The tissues were blocked in 1% BSA for 20 minutes at room temperature, washed with ddH2O and PBS, and then probed with the primary antibody (HA610364) at 1/1,000 dilution for 1 hour at room temperature. The detection was performed using an HRP conjugated compact polymer system. DAB was used as the chromogen. Tissues were counterstained with hematoxylin and mounted with DPX.
Immunohistochemical analysis of paraffin-embedded human spleen tissue with Rat anti-CD163 antibody (HA610364) at 1/1,000 dilution. The section was pre-treated using heat mediated antigen retrieval with Tris-EDTA buffer (pH 9.0) for 20 minutes. The tissues were blocked in 1% BSA for 20 minutes at room temperature, washed with ddH2O and PBS, and then probed with the primary antibody (HA610364) at 1/1,000 dilution for 1 hour at room temperature. The detection was performed using an HRP conjugated compact polymer system. DAB was used as the chromogen. Tissues were counterstained with hematoxylin and mounted with DPX.
quantity: 100μl
price: 385.00 USD
to the supplier
CD163
HUABIO
catalog: IRS276RT
domestic rabbit polyclonal
reactivity:
human
mIHC analysis of human tonsil tissue (Formalin/PFA-fixed paraffin-embedded sections) with Rat anti-CD163 antibody (IRS276RT) at 1/100 dilution. The immunostaining was performed with the IRISKitCmTSA Kit (900810). Heat mediated antigen retrieval with Tris-EDTA buffer (pH 9.0) for 30 mins at 95℃. DAPI (blue) was used as a nuclear counter stain. Image acquisition was performed with Olympus VS200 Slide Scanner.
quantity: 100μl
price: 279.00 USD
to the supplier